作者:张 扬 新疆医科大学附属肿瘤医院
审核:武峻申 新疆医科大学附属肿瘤医院 副主任医师
我们的膝盖就像身体里的“轴承”,支撑着日常行走、跑跳等各种活动。一旦这个“轴承”出了问题,如遭遇严重损伤、肿瘤或感染,就可能让我们连简单的站立都变得困难。膝关节置换手术,就是为这些“轴承”损坏的患者更换新“零件”的重要手段。近年来,3D打印技术的加入,让这个“换零件”的过程变得更精准、更贴合,为关节疾病患者带来了前所未有的康复希望。
一、为什么需要更先进的膝关节置换技术?
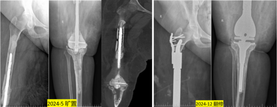
先来看一个真实的例子。39岁的古女士,因为肥胖和右侧股骨远端骨巨细胞瘤,导致下肢活动功能障碍。她曾接受过一次右侧股骨远端巨大肿瘤切除术+膝关节假体置换术,可术后又遭遇了棘手的膝关节假体周围感染这一严重并发症。像古女士这样的情况,在传统治疗中面临诸多挑战。

图1 版权图片 不授权转载
二、3D打印技术**,给膝关节置换带来了哪些改变?**
1. 个性化定制,就像量体裁衣
每个患者的膝关节结构和病情都是独特的。3D打印技术可以通过对患者病变部位的精确扫描和建模,设计出符合患者个体的膝关节假体。例如,在古女士的病例中,肥胖、局部松动且髓针周围伴有多处骨折等复杂情况,使用常规假体无法满足其需求。3D打印技术能够根据她的个体情况,定制出股骨颈稳定性更好的“香蕉柄”,这种个性化的设计就像为患者量身打造了一件专属的“精密装备”,能够更好地适配她的关节结构,提高假体与周围组织的相容性和稳定性。

图2 版权图片 不授权转载
2. 提高手术精准度**,**减少手术操作风险
在传统的膝关节置换手术中,医生主要是依靠经验和术前的影像资料来进行操作。而3D打印可以为手术提供精确的模型,医生可以在术前就对手术过程进行详细的模拟规划。在古女士的手术前,医生通过3D打印模型,能够清楚地了解患者股骨近端的结构,确定截骨的位置和角度等关键参数。这使得手术过程更加精确,减少了手术中误操作的风险。
3. 优化生物力学匹配**,让康复更顺利**
膝关节正常的活动需要良好的生物力学匹配。3D打印的膝关节假体可以根据患者的骨骼密度、关节受力情况等因素进行优化设计。这样患者在置换后,膝关节在活动过程中的受力更加均匀合理,有助于提高患者术后康复效果和远期功能恢复。这对古女士来说尤其重要——她需要重新恢复负重能力,均匀的受力能让她术后更快适应,康复效果更好,也能减少假体松动、磨损等远期问题。
三、从手术实例看3D打印技术的“实战力”
因为古女士的情况复杂,手术难度大,医疗小组进行详细的病情分析和术前准备后,给古女士进行了右侧膝关节假体感染术后翻修术。整个手术历时200分钟,虽然手术过程中步骤不少,但凭借3D打印假体的精确适配等优势,术中操作顺利,患者生命体征平稳。术后在医护人员的照料下,古女士恢复得很好,很快就能活动了。

图3 版权图片 不授权转载
四、3D打印技术能给患者带来什么?
对关节疾病患者来说,3D打印膝关节置换技术就像一道曙光。以前,有些患者因为病情复杂,传统假体不合身,手术效果差,甚至反复出现并发症;还有些人担心术后走路不自然、恢复慢。而3D打印膝关节置换技术的出现,无论是对于初次进行膝关节置换的患者,还是像古女士这种经历术后并发症需要翻修的患者,都提供了更好的治疗选择。它使得患者在接受膝关节置换手术后,能够更迅速地恢复下肢功能,重获稳健的步伐,提高生活质量,真正开启新的生活篇章。
随着科技的不断发展,3D打印技术在膝关节置换领域的应用前景十分广阔,相信在未来会让更多被关节疾病困扰的人摆脱疼痛,重新享受灵活活动的快乐。

来源: 中华医学会
内容资源由项目单位提供
科普中国公众号
科普中国微博

帮助
中华医学会 