作者:徐颖,孙强,周星彤,沈松杰,赵佳琳,陈畅
单位:北京协和医院乳腺外科
通信作者:孙强
文章来源:协和医学杂志,2019,10(6):692-697.
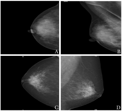
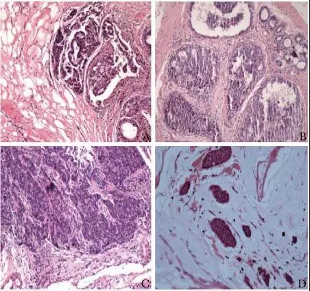
乳头溢液是乳腺疾病的常见症状,其发病率仅次于乳房肿块及乳房疼痛,占门诊患者主诉症状的4.8%~7.4%[1]。 乳头溢液又分为生理性和病理性两种。病理性乳头溢液的病因包括导管内乳头状瘤、乳腺腺病、导管扩张、乳腺癌等[2]。其中,导管内病变是造成乳头溢液的主要病因,溢液性状可分为血性和非血性,后者又包括浆液性、混浊黏液样等。 本文通过回顾性分析173例病理性乳头溢液患者的临床、病理特点及其诊治情况,以期发现病理性乳头溢液,特别是血性溢液是否存在特殊的临床病理特点,临床诊断方法能否为治疗提供充分依据,治疗及术后随访是否合理,从而为该病临床诊治提供依据。 1 资料与方法 1.1 临床资料 回顾性收集北京协和医院2015年1月至12月间住院并手术的病理性乳头溢液(血性溢液、黄色浆液性或混浊黏液样溢液)患者的临床、病理以及术后随访资料。 纳入标准: (1)非妊娠期、非哺乳期女性; (2)首发症状为自发性乳头溢液; (3)乳头溢液为血性溢液、黄色浆液性或混浊黏液样溢液; (4)术前体格检查,乳腺超声、钼靶等影像学检查,术后石蜡病理等资料齐全。 排除标准: (1)男性; (2)首发症状为乳房肿物; (3)乳汁样或无色透明样乳头溢液; (4)术前评估不完善; (5)于外院行手术治疗。 1.2 术前检查 所有患者术前均进行体格、超声及钼靶检查。体格检查主要记录乳头溢液单侧、双侧、单孔或多孔及是否合并可触及肿块。超声检查均于我院超声科进行,采用PHILIPS HD11XE超声机,探头采用L12-5,频率为5~12 MHz。患者仰卧位接受检查,主要记录乳房内是否存在低回声病变或导管内低/高回声。乳腺钼靶检查均于我院放射科进行,患者取立位,行常规乳腺头尾位及内外侧斜位检查。根据美国放射学乳腺影像报告和资料系统(BI-RADS)进行诊断,主要记录是否存在钙化及肿块。 1.3 手术方式 所有患者术中先采用美兰进行切口定位(图1A),然后行乳腺病变导管及相关腺叶切除术(图1B)。术中冰冻或石蜡病理结果回报为恶性病变的患者,进一步行保乳手术或乳房切除术,腋窝行前哨淋巴结切除术或腋窝淋巴结清扫术。 图1 乳腺病变导管及相关腺叶切除术 A.手术切口;B.切除的病变标本 1.4 病理检测 术后病理均采用HE染色。HE染色石蜡病理切片均由病理科医师根据2012版世界卫生组织乳腺肿瘤诊断标准进行诊断[3]。 1.5 术后其他治疗及随访 术后根据手术方式及病理结果,部分患者行化疗、放疗及内分泌治疗,所有患者均未行曲妥珠单克隆抗体靶向治疗。所有患者均采用电话随访方式进行术后随访。 1.6 统计学处理 采用SPSS 22.0统计学软件进行统计分析,符合正态分布的计量资料采用均数±标准差表示,非正态分布的计量资料以中位数(四分位数)表示,组间比较采用t检验或Mann-Whitney U检验;计数资料采用频数(率)表示,组间比较采用χ2检验或Fisher精确概率检验。以P<0.05为差异具有统计学意义。 2 结果 2.1 一般临床资料 共173例符合纳入和排除标准的患者入选本研究,均为女性,平均年龄(45.65±13.48)岁,中位病程3(1, 12)个月。其中血性溢液119例(68.8%,119/173),非血性浆液性溢液54例(31.2%,54/173);仅2例(1.2%,2/173)为多孔溢液,其余均为单孔溢液;168例(97.1%,168/173)为单侧乳头溢液,5例(2.9%,5/173)为双侧乳头溢液。 173例患者中,23例术前触诊可触及乳腺肿块,150例未及乳腺肿块;超声检查发现111例(64.2%,111/173)患者显示乳房低回声或导管内低/高回声(图2),62例未见异常;钼靶检查中,仅35例患者发现乳腺肿块影或钙化灶(图3),138例患者钼靶无异常。 图2 乳腺超声提示乳房内低回声(A)及导管扩张(B) 图3 乳腺钼靶提示合并钙化及肿块 A、C. 乳腺头尾位;B、D. 乳腺内外侧斜位 173例患者中,160例先行乳腺病变导管及相关腺叶切除,9例患者行乳腺肿物切除术+病变导管及相关腺叶切除术,4例患者仅行乳腺肿物切除术。根据术中冰冻或石蜡结果,27例患者诊断为乳腺癌,其中4例行包括乳头乳晕的中心象限局部扩大切除术,3例行中心象限局部扩大切除术+前哨淋巴结活检术,14例行乳腺单纯切除+前哨淋巴结活检术,1例仅行乳腺单纯切除术,5例行乳腺改良根治术。 术后石蜡病理回报:乳腺癌27例,其中浸润性癌6例,导管内癌19例,其他类型癌(黏液癌及神经内分泌癌)2例,行前哨淋巴结活检或腋窝淋巴结清扫术的患者,术后病理均未见淋巴结转移;不典型增生15例;良性病变以导管内乳头状瘤为主,共92例;其他良性病变包括乳腺腺病21例、纤维腺瘤4例、导管扩张14例(图4)。 图4 乳头溢液患者术后病理切片(HE,×100倍) A.乳腺导管扩张及导管内乳头状瘤;B.乳腺导管内乳头状癌;C.乳腺浸润性导管癌;D.特殊类型乳腺癌(黏液癌) 术后共23例患者接受内分泌治疗,12例应用三苯氧胺类药物,11例应用芳香化酶抑制剂类药物。4例患者术后行放疗,1例因乳头血性溢液伴多发肿块且年龄小于30岁,术后予含蒽环类及紫衫药物方案化疗,均未行靶向治疗。 2.2 亚组分析 2.2.1 血性溢液和非血性溢液患者的临床、病理特点比较 两组患者在年龄、病程、术前体格和钼靶检查结果、术后病理分型等方面差异无统计学意义(P均>0.05);在术前超声检查(是否发现病变)及术后病理诊断(是否为乳腺癌)方面差异存在统计学意义(P=0.012和P=0.045)(表1)。 表1 血性溢液和非血性溢液患者临床/病理特点比较 2.2.2 血性溢液患者中良恶性病变的临床特点比较 在血性溢液患者中,除乳腺癌组患者年龄显著高于良性病变组(P=0.014)外,两组其他临床特征差异均无统计学意义(P均>0.05)(表2)。 表2 血性溢液患者中良恶性病变组临床资料比较 2.3 随访情况 患者术后中位随访17(14,20)个月。病理诊断为乳腺癌者均无复发转移或死亡。病理诊断为良性病变者中,5例术后出现新发乳腺肿物,表现为超声可见乳腺内低回声结节,均予继续随访观察;1例术后出现该侧乳房的炎性病变,予手术切除;1例术后5个月出现对侧乳头非血性溢液,予手术治疗。 3 讨论 病理性乳头溢液常常提示乳腺疾病,特别是乳腺恶性疾病的发病风险升高。本研究中,乳腺癌及不典型增生占病理性乳头溢液的24.28%,导管内乳头状瘤占病理性乳头溢液的53.18%。与文献报道基本一致[4]。故临床上,一旦患者出现病理性溢液症状,包括血性溢液、黄色浆液性溢液或混浊黏液样溢液等,需提高警惕,及时手术治疗。 Zervoudis等[5]报道,由乳腺病变导致的病理性乳头溢液多为单孔单侧。本研究中,病理性乳头溢液中171例为单孔溢液,仅2例为多孔溢液;168例为单侧乳头溢液,5例为双侧乳头溢液,与文献报道一致。但在血性/非血性溢液组,血性溢液的良/恶性病变组中,病变是否单孔、单侧并无明显差异,可能与多发多孔乳头溢液多考虑为良性病变,未收治手术,导致多孔及双侧乳头溢液患者样本量较少有关。 多数学者认为血性溢液是乳腺癌相关的高危因素之一。Chen等[4]通过Meta分析得出结论,血性溢液患者患乳腺癌的风险较其他性状溢液患者高。王富文等[6]的研究认为,血性溢液组癌前病变/恶性率明显高于非血性溢液组。但也有部分学者认为两者之间并无绝对对应关系。Morrogh等[7]报道,血性溢液并不预示着恶性病变或高危风险,而非血性溢液亦不能排除恶性肿瘤的可能。 本研究中,血性溢液中乳腺癌的发病率与非血性溢液中乳腺癌的发病率存在显著差异,血性溢液提示乳腺癌的高风险。但在非血性溢液组,乳腺癌的发病率为7.4%,不典型增生为7.4%。故在出现非血性病理性溢液时,亦不可放松警惕。从病理类型看,非血性溢液组乳腺癌均为导管内癌,而血性溢液组则有近1/3为浸润性癌。本研究认为血性溢液更值得临床上予以重视。 临床检查方面,Lippa等[8]报道,“可疑”的病理性溢液如血性溢液比“良性”病理性溢液有更多的临床检查及影像学发现。本研究中,血性溢液组合并更多超声检查阳性所见,与非血性溢液组存在显著差异,与文献报道一致。而临床体格检查是否合并肿块和钼靶检查则并未表现出差异,可能与亚洲女性乳房较致密,钼靶发现病灶困难等有关。在血性溢液的良恶性病变中,3种检查均无明显差异。故是否合并肿块及超声、钼靶检查在血性溢液是否为恶性病变的鉴别诊断中,无法提供有效的临床证据,与文献报道[9-10]基本一致。 由于超声和钼靶诊断乳头溢液敏感度低,传统的导管碘油造影及溢液涂片误诊率高。 Teboul[11]在20世纪90年代首先应用乳管镜检查,试图解决乳头溢液病因诊断及病变定位这两个难题。但由于导管内病变以多发病变最为常见,乳管镜检查通常只检查1~2个导管,故无法了解乳腺的整体情况;其次,乳腺癌大多起源于终末导管,乳管镜检查到达较困难;再次,乳管镜检查仅从形态学进行诊断,准确率低,如取活检组织进行病理检查,往往病理标本量少,无法进行有效评估[12]。 徐海滨等[13]在血性乳头溢液的患者中进行乳管镜检查,对恶性病变的检出率仅为53.3%。 华盛顿大学医学院对2006至2010年的121例乳头溢液患者进行乳管镜检查,检查结果阴性的患者中,仍有44%的患者检出乳腺导管内癌或浸润性癌[14]。因此对乳管镜检查的阴性结果不应放松警惕。 此外,乳管镜检查常会造成乳腺导管壁的损伤,乳头溢液停止,这样反而会掩盖病情[15]。乳管镜检查亦无法为乳头溢液的诊断提供有效证据。 血性溢液良恶性病变两组中,年龄存在显著差异,年龄较大者出现血性溢液较年轻患者更提示恶性病变可能[(54.04±18.57)岁比(43.64±12.56)岁,P=0.014],这与乳腺癌发病高峰值基本一致[16]。 本研究中,术后病理恶性者多为导管内癌,仅有0.03%为浸润性癌,均未见腋窝淋巴结转移。术后随访未见恶性病变复发及转移,良性病变患者中仅有1例出现炎症病变并行手术治疗,余术后随访出现乳腺结节均考虑良性病变可能性大,继续予以观察。 综上,本研究认为血性溢液提示高乳腺恶性病变风险,年龄较大者则风险更高。但非血性病理性溢液亦不容忽视。大部分患者术前超声检查均有阳性发现,血性溢液者更甚,但术前体格、超声及钼靶检查并不能为良恶性病变的鉴别提供有效依据。及时手术治疗是明确诊断同时达到治疗目的的重要手段,且及时进行手术治疗的乳头溢液患者术后预后较好。 参考文献 [1]Tang SS,Twelves DJ,Isacke CM,et al.Mammary ductoscopy in the current management of breast disease[J].Surg Endosc,2011,25:1712-1722. [2]Park CJ, Kim EK, Moon HJ,et al.Reliability of breast ultrasound BI-RADS final assessment in mammographically negative patients with nipple discharge and radiologic predictors of malignancy[J].J Breast Cancer, 2016,19:308-315. [3]Lakhani SR,Ellis IO,Schnitt SJ,et al.WHO classification of tumours of the breast. World Health Organization classification of tumours [M].4th ed.Lyon:IARC Press,2012. [4]Chen L,Zhou WB,Zhao Y,et al.Bloody nipple discharge is a predictor of breast cancer risk:a meta-analysis[J].Breast Cancer Res Treat,2012,132:9-14. [5]Zervoudis S, Iatrakis G, Economides P, et al. Nipple discharge screening[J]. Womens Health(Lond Engl), 2010, 6:135-151. [6]王富文,林燕苹,何萍青.106例病理性乳头溢液(PND)临床分析[J].复旦学报,2013, 40:714-717. [7]Morrogh M, Park A, Elkin EB, et al. Lessons learned from 416 cases of nipple discharge of the breast[J]. Am J Surg, 2010, 200:73-80. [8]Lippa N,Hurtevent-Labrot G,Ferron S,et al.Nipple discharge:The role of imaging[J].Diagn Interv Imaging,2015,96:1017-1032. [9]Ouldamer L,Kellal I,Legendre G,et al.Management of breast nipple discharge[J].J Gynecol Obstet Blol Reprod,2015,44:927-937. [10]Sabel MS.Helvie MA,Breslin T,et al.Is duct excision still necessary for all cases of suspicious nipple discharge? [J].Breast J,2013,18:157-162. [11]Teboul M.A new concept in breast investigation:echo-histological acino-ductal analysis or analytic echography[J].Biomed Pharmacother,1988,42:289-295. [12]Dooley WC.Routine operative breast endoscopy for bloody nipple discharge[J].Ann Surg Oncol,2002,9:920-923. [13]徐海滨,苏昆仑,胡祖健,等.乳头血性溢液的临床病理特点及治疗[J].实用肿瘤杂志,2008,23:155-157. [14]Fisher CS,Margenthaler JA.A look into the ductoscope:its role in pathologic nipple discharge[J].Ann Surg Oncol,2011,18:3187-3191. [15]Tang SS,Twelves DJ,Isacke CM,et al.Mammary ductoscopy in the current management of breat disease[J].Surg Endosc,2011,25:1712-1722. [16]Lee H, Li JY,Fan JH,et al.Risk factors for Breast Cancer Among Chinese Women:A 10-year NationWide Multicenter Cross-Sectional Study[J].J Epidemil,2014,24:67-76. 第一作者简介 北京协和医院乳腺外科住院医师。 主要擅长乳腺肿物穿刺手术、乳腺外科手术,基因检测、放化疗及内分泌治疗等乳腺癌个体化治疗方案的制定。 任乳腺病防治学会青年专业委员会委员,参与国家十一五、十二五乳腺癌筛查课题。发表多篇学术论文。 通信作者简介 教授,北京协和医院乳腺外科主任,主任医师,博士研究生导师 中国研究型医院乳腺专业委员会主任委员 北京乳腺病防治学会学术工作委员会主任及外科专业委员会主任委员 中国老年肿瘤学会乳腺癌分委会主任委员 北京医师协会乳腺疾病专家委员会候任主任委员 中国微循环学会常务理事 中国抗癌协会乳腺癌专业委员会常务委员 版权声明: 协和医学杂志倡导尊重和保护知识产权。欢迎转载、引用,但需取得本平台授权。如您对文章内容版权存疑,请发送邮件medj@pumch.cn,我们会与您及时沟通处理。本站内容及图片仅供参考、学习使用,不为盈利且不作为诊断、医疗根据。






科普中国公众号
科普中国微博

帮助