本文由公众号 “把科学带回家” 提供
给孩子最好的科学教育

作者 七君
《阿甘正传》是大家耳熟能详的经典电影了。

可是很少有人知道,阿甘原型的人生,要比阿甘本人传奇数百倍。

1958年7月28日,一个叫做 Terry Fox 的普通男孩出生于加拿大的温尼伯。

青少年时期,他就非常喜欢运动。但是命运却偏偏要捉弄这个爱跑爱跳的阳光男孩。

18岁的时候,在加拿大西蒙弗雷泽大学(Simon Fraser University)的第一年末,他突然感到膝盖疼痛异常,一天早上他甚至疼得都不能站起来。
医生非常直白地告诉他,他得了骨肉瘤(osteogenic sarcoma),他的右腿在4天后要被截掉。

还记得纪录片《人间世》第二季第一集里的那些令见者流泪的孩子们吗,他们中的不少人患的就是骨肉瘤。

骨肉瘤是在儿童和青少年中最常见的骨肿瘤。美国15岁以下的儿童里,每一百万人中就有5.6人会患上这种病。
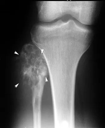
在X光片中,骨肉瘤有阳光四射一样的形态(sunburst)。梅奥医学中心的肿瘤血液学家 Carola Arndt 介绍,骨肉瘤是最恶性的骨癌之一。

骨肉瘤有阳光四射一样的形态
图片来源:芝加哥大学医学院
和身体其他部位的骨头相比,骨肉瘤喜欢长在长骨的生长板(或称骺板)上面。患者的肢端常常感觉疼痛,夜晚更痛,并且会长出一个鼓包。

骨肉瘤的传统治疗方法包括,先进行10周左右的诱导化疗(induction chemotherapy),然后进行手术,摘除肿瘤,最后再进行重建。手术后的2周,患者通常还要再进行一次化疗。

这套治疗方案通常被业内人士称为三明治式手术(surgery sandwich),术后5年生存率约为65%。
手术的痛苦可想而知。在纪录片《人间世》第二季中,许多观众看着患了骨瘤孩子们的惨状止不住地掉泪。

因为这个恶疾,1977年,Terry 右腿膝盖以上15厘米处的骨头被切掉了。

尼采曾说,杀不死我们的会让我们更强。
当同龄人正在大学校园里接受教育,开开心心地享受最美好的头20年人生的时候,在医院里做复健的 Terry 每天面对的,却是和他一样因为肿瘤而变得残缺不全的童真。一些孩子因为疼痛而撕心裂肺地呼号,一些孩子则被医生告知自己只有15%的生存几率。

医生告诉他,手术后他的存活几率是50-70%,而这存活几率还是依靠这2年里的科学进步才换来的。如果他早2年生骨肉瘤,他的存活几率就只有15%。这件事,以及儿童病房的经历给了他很大的触动。
手术后,Terry 并不想回到校园,也不想在家好好修养。见识了地狱后,他决定要横跨整个加拿大,为癌症研究筹款,帮助现在的,以及未来的癌症受害者们,让癌症研究早日跨入下一个2年。

“伤痛必须停止…我决心为了这个目标而挑战自己的极限。”在一封请求赞助的信函中他这样写道。

现在,他的身体就像差了一块的拼图。虽然他的左腿很强壮,但是他的右腿是用玻璃钢制的,而且当时的义肢只能用来走路,还没有先进到允许佩戴者奔跑的程度,所以断肢处常常会因为跑步而流血。

但是就凭借着这样的残躯,Terry 在1980年4月12日开启了他的奥德赛之旅。他把自己的堂吉柯德式的行为叫做希望的马拉松( the Marathon of Hope)。

每天凌晨4点,Terry 就起床了,然后每天他要跑42千米,相当于一个马拉松全程。

就像电影阿甘正传描述的那样,一开始残疾人 Terry 并没有得到重视。但是很快他的勇气就得到了全加拿大的瞩目。


旅程开始的2个月后,他来到了安大略省,并被邀请为一场加拿大加式足球联盟球赛开球。

甚至有人和他并肩奔跑。这一幕在阿甘正传里得到了还原。
科普中国公众号
科普中国微博

帮助