49岁的傅叔叔(化名)被强直性脊柱炎困扰了37年,更让他揪心的是眼部的反复不适。5天前,他的左眼突然出现眼红、眼痛、畏光症状,视力也明显下降,这让有过葡萄膜炎病史的他立刻警觉。
3年前,傅叔叔曾因左眼葡萄膜炎在乡村医生处治疗无果,转诊岳阳爱尔眼科医院后病情才得到有效控制。此次症状复发,他第一时间前往岳阳爱尔眼科医院就诊。

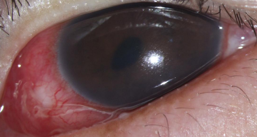
(▲傅叔叔左眼急性虹膜睫状体炎眼前段照相如图所示)
经详细检查,傅叔叔被诊断为“左眼急性虹膜睫状体炎、右眼陈旧性虹膜睫状体炎”。检查显示,其左眼球结膜混合充血,角膜雾状水肿,房水混浊并伴有絮状渗出,虹膜纹理不清且瞳孔后粘连,呈横水滴状移位,直接对光反射迟钝,晶状体已出现混浊。
据傅叔叔回忆,10年前右眼也曾患葡萄膜炎,左眼则有反复发作的病史,此次发作与既往症状高度相似。
针对傅叔叔的病情,岳阳爱尔眼科医院眼底病科主任刘祥明及其团队为其制定了个性化治疗方案:左眼球后注射治疗性药物,配合全身抗炎及对症治疗。目前,其眼部炎症已得到有效控制,视力逐渐恢复。
急性虹膜睫状体炎,这些知识要牢记
1.疾病本质与核心症状
急性虹膜睫状体炎是葡萄膜炎的常见类型,属于前葡萄膜炎范畴,病程通常小于3个月,好发于20-50岁青壮年。核心症状为突发眼红、眼痛、畏光、视力下降,部分患者还可能伴有头痛,若不及时治疗,可能引发青光眼、白内障、视网膜脱离等严重并发症,甚至导致永久性失明。

(▲王文仁副主任为傅叔叔检查眼睛中)
2.五大致病因素,自身免疫是关键
自身免疫异常:这是傅叔叔发病的主要原因。强直性脊柱炎、类风湿关节炎等自身免疫性疾病患者,免疫系统易错误攻击眼部组织,诱发炎症,约20%-30%的强直患者会合并葡萄膜炎。
感染因素:细菌、病毒、真菌等病原体感染,或结核、梅毒等全身性感染,可能引发炎症反应,常伴随眼睑肿胀、分泌物增多等症状。
外伤刺激:眼球挫伤、穿孔伤或化学烧伤等直接损伤眼部组织,可诱发炎症,多有明确外伤史。
遗传易感性:HLA-B27基因阳性人群发病风险更高,常表现为双眼交替复发,可能合并银屑病等疾病。
特发性原因:部分患者病因不明,可能与环境因素、应激状态相关。
3.治疗与防护要点
治疗的核心是消除炎症、缓解症状、预防并发症。急性期需及时散瞳,避免虹膜后粘连,同时结合糖皮质激素、免疫抑制剂等药物治疗,严重者需全身用药或局部注射治疗。
日常防护需注意:避免揉眼和过度用眼,外出佩戴墨镜减少光线刺激;饮食清淡,多摄入富含维生素A的食物;避免劳累和情绪波动,降低复发风险。若出现视力骤降、剧烈眼痛等症状,需立即就诊,切勿拖延。
专家提醒:强直患者需定期查眼
岳阳爱尔眼科医院眼底病科主任刘祥明强调,强直性脊柱炎患者是葡萄膜炎的高发人群,且病情易反复发作,双眼可能交替受累。
建议此类患者除了管理好关节症状,还应定期进行眼部检查,一旦出现眼红、眼痛、畏光等不适,需及时到专业眼科医疗机构就诊,避免因延误治疗导致视力不可逆损伤。
湖南医聊特约作者:岳阳爱尔眼科医院 余倩
关注@湖南医聊,获取更多健康科普资讯!
(编辑92)
来源: 岳阳爱尔眼科医院 余倩
科普中国公众号
科普中国微博

帮助
湖南医聊