
1. 流感和普通感冒到底怎么区分?
流感:由流感病毒引起。一般突发高烧(常超39℃)、头痛、全身肌肉酸痛、乏力感明显,咳嗽、喉咙痛相对较轻(初期)。孩子精神会相对差。
普通感冒:鼻病毒最常见,大约30%-50%的普通感冒都是它引起的,还有普通冠状病毒、副流感病毒、呼吸道合胞病毒、腺病毒等。一般不发烧或低烧,症状以鼻塞、流涕、打喷嚏、喉咙痛等局部症状为主,全身症状轻,孩子精神尚可。

2.孩子发烧,什么时候该吃退烧药?什么时候要去医院?
用药时机:38.5℃是一个参考值,不是必须等到38.5°C才能药物退热。是否使用退热药应主要依据患儿是否因发热感到不适,而非单纯追求体温数值的下降。
核心原则是改善舒适度:退热治疗的主要目标是减轻发热所致的不适,即改善舒适度,而非单纯恢复正常体温。因此,即使体温未超过38.5°C,但患儿出现精神不振、肌肉酸痛等明显不适表现时,也可以使用药物退热
去医院就医的“警报”症状:
1.持续高烧超过3天不退;
2.呼吸困难、喘息、口唇发紫;
3.精神极度萎靡、嗜睡或烦躁不安、惊厥。
4. 严重呕吐、腹泻,有脱水迹象(小便少、哭时泪少);
5. 有不明原因皮疹;
6.流感症状好转后,突然再次发烧、咳嗽加重(警惕肺炎等并发症)。
3.流感需要用抗生素(如头孢、阿莫西林)吗?
不需要,且切勿自行使用! 流感是由病毒引起的,抗生素只对细菌感染有效。滥用抗生素不仅无效,还会引起肠道菌群紊乱和耐药性。只有医生诊断合并了细菌感染(如中耳炎、肺炎)时,才会使用。
4.孩子反复发烧,是不是病情加重了?
流感发烧通常持续2-5天,且多为反复高热,这是流感病毒感染病程特点。只要每次用退烧药后孩子精神好转,体温下降期拉长,体温峰值较前有下降,总体趋势向好,就无需过度恐慌。关键是观察孩子的精神状态,而不是只看体温数字。
5.妈妈得了流感,还可以哺乳吗?
乳汁本身不会传播病毒(如感冒病毒),反而含有抗体,能帮宝宝增强免疫力。
人体是个不断循环代谢的复杂整体,处在乳腺中的乳汁是在不断经历分泌、排出、重吸收等过程,可以说每一刻的乳汁都是在不断循环变化的,即使人体体温升高也不会出现变质的现象。
注意:哺乳前后洗手、戴口罩,避免飞沫传播即可。
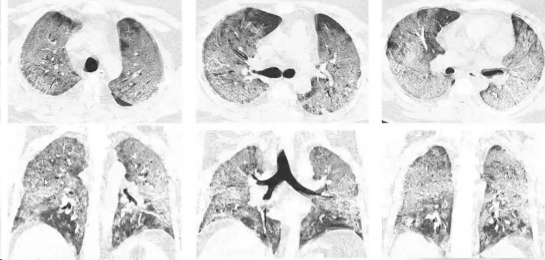
6.什么是“白肺”?
“白肺”并不是一个专业的医学术语,是肺部影像学表现的一个口语化描述,因而并没有一个严格的医学定义。临床上,“白肺”一般指肺部大面积炎症所产生的影像学表现。医务人员之间说白肺,是说患者肺部炎症比较重,只有当肺部双侧病变达到75%以上,才叫白肺。一般达到这个程度会出现会感到呼吸急促、费力,呼吸频率明显加快,即使在安静状态下也会有明显气短。咳嗽比较剧烈,高热、口唇发紫,乏力、肌肉酸痛、食欲不振、精神萎靡等症状。

7.孩子得了流感,会引发严重的并发症吗?
可能的并发症包括:
1. 肺炎(最常见且最需警惕);
2. 心肌炎、脑炎;
3. 中耳炎、喉炎;
对于5岁以下儿童,尤其是2岁以下婴幼儿,以及患有哮喘、心脏病、免疫力低下等基础病的孩子,风险更高。因此密切观察上述“就医警报”至关重要。
来源: 全科田久鹏医生
科普中国公众号
科普中国微博

帮助
全科田久鹏医生 