当大脑深处的“生命主干道”严重堵塞,命悬一线的脑供血该如何挽救?近日,平江县第一人民医院神经介入团队通过一项精准微创手术,为一名反复头晕、行走不稳的59岁患者成功“疏通”基底动脉,帮助他重获健康生活。
汤先生(化名)近半年来饱受头晕、走路不稳的困扰,近一个多月还反复出现右侧肢体乏力,每次持续十多分钟到半小时。被诊断为“基底动脉重度狭窄”后,虽经规范药物治疗,症状却依然反复。
为寻求进一步治疗,汤先生来到平江县第一人民医院神经内科。赵伟主任团队评估认为,患者血管狭窄严重,药物疗效有限,随时有发生致命性脑梗死的风险。
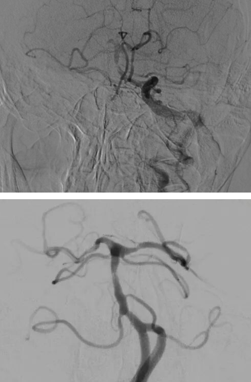
经过充分沟通,神经介入团队决定为他施行“基底动脉球囊扩张成形术”——一种微创介入手术。手术顺利完成后,复查显示血管血流保持稳定,未植入支架。

(▲基底动脉球囊扩张成形术前与术后对比)
术后,汤先生头晕、行走不稳明显好转,肢体乏力未再发作,目前已康复良好。
什么是基底动脉?为何它如此重要?
基底动脉堪称大脑的“血液主干道”,位于脑干前方,由两侧椎动脉汇合而成,负责为大脑后部、脑干及小脑等重要区域输送血液与氧气。这些区域掌管着呼吸、心跳、意识、平衡及肢体运动等关键功能。
一旦基底动脉发生严重狭窄或堵塞,就如同生命主干道出现坍塌,将引起大面积脑供血不足,可能导致头晕、肢体无力、言语障碍,甚至昏迷等严重后果。
哪些情况需要考虑基底动脉成形术或支架植入?
1.症状显著:反复出现头晕、眩晕、视物模糊、行走不稳、吞咽困难或肢体麻木无力等症状,经检查明确为基底动脉狭窄所致。
2.狭窄严重:基底动脉狭窄程度超过70%,且药物治疗效果不佳,脑梗死风险高。
3.急性脑梗死:在急性基底动脉闭塞导致脑梗死时,若符合时间窗等条件,支架植入可迅速开通血管,挽救濒危脑组织。
基底动脉成形术是脑血管疾病治疗的重要进展,为众多狭窄或闭塞患者带来新希望。该手术能显著降低脑梗死风险,改善神经功能与生活质量,帮助患者重返正常生活。
该类手术的成功开展,标志着平江县第一人民医院在脑血管介入诊疗领域迈上新台阶,也体现了县级医院在复杂脑血管病救治方面的能力提升。
平江县第一人民医院神经内科一病室主任赵伟表示,“未来我们将继续精进技术,为更多患者架起‘生命之桥’,让健康留在基层,让希望扎根家乡。”
如果您或身边的人正被脑血管疾病困扰,不要恐慌。及时就医,与医生充分沟通,了解包括基底动脉支架植入术在内的科学治疗方案,积极配合治疗,就能更好地守护大脑健康!
湖南医聊特约作者:平江县第一人民医院 熊刚
关注@湖南医聊,获取更多健康科普资讯!
(编辑92)
来源: 平江县第一人民医院 熊刚
科普中国公众号
科普中国微博

帮助
湖南医聊