摔一跤,年轻人可能没事,但老人可能要注意了,除了骨折,还要警惕一种名为“慢性硬膜下血肿”的颅内出血。
在长沙市第四医院神经外科,近期就收治了多位这样的老人:77岁的陈爷爷(化名)摔倒后头晕就诊发现血肿;86岁的王奶奶(化名)摔跤后拿不稳筷子、走路像踩棉花;76岁的李奶奶(化名)撞到头后,逐渐出现头痛、乏力、记忆和言语混乱。
为什么老人头部轻微受伤,却可能引发如此严重的后果?
原来,脑组织会随年龄增加逐渐缩小,它和颅骨的间隙(硬膜下腔)增大,脑血管也会变脆,碰撞时容易造成脑血管破裂,形成出血。
如果老年人服用各种抗凝、抗血小板药物(如阿司匹林),就会增加这类疾病发病率。当家中老人出现不思饮食、头痛头昏、行走不稳、小便失禁时,就要考虑老人是否摔倒过,或者头脑受过外伤。
当老人确诊颅内出血,该怎么办?
面对慢性硬膜下血肿,治疗方案需根据其大小、发展阶段及症状严重程度个体化制定。
对于不大的早期血肿,可以通过服用他汀类降脂药争取控制其发展。当血肿扩大或者复发时,需做微创手术用栓塞剂闭塞肇事动脉,如果血肿已经严重压迫脑组织,还需考虑进行钻孔引流。
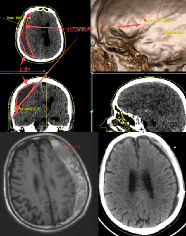
长沙市第四医院神经外科一病区通过术前高精度CT等影像进行三维重建与手术路径规划,可以在一次手术中,既完成血肿的充分引流,又将肇事的脑膜中动脉电凝闭塞减少复发。

(▲手术患者术前术后的影像学对比,显示血肿基本清除)
神经外科一病区主任张凌云温馨提示:慢性硬膜下血肿常起病隐匿,进展缓慢,早期常容易忽略。如老人摔倒或剧烈改变体位时出现头痛、恶心、呕吐和视乳头水肿、轻度偏瘫、失语、反应迟钝、智力障碍、精神失常和记忆力减退等症状,请及时就医。
湖南医聊特约作者:长沙市第四医院 文擘彬 何佳欣
关注@湖南医聊,获取更多健康科普资讯!
(编辑92)
来源: 长沙市第四医院 文擘彬 何佳欣
科普中国公众号
科普中国微博

帮助
湖南医聊