很多人爱吃海鲜,清蒸、白灼、红烧等,光是想想就让人流口水。
可是在这些“鲜香背后”,也藏着不少被忽视的危险。尤其是清洗、剖开、处理海鲜和河鲜时——不经意的刺伤,没擦干的案板,就可能给细菌可乘之机。比如,我们最近经常吃的大闸蟹就面临这个风险。

图库版权图片,转载使用可能引发版权纠纷
很多人觉得“小口子而已,用水冲冲继续干活”,但真正危险的,是那些肉眼看不见的微生物。来看两个典型案例:


滑动查看更多
处理海鲜或河鲜时被刺伤或扎伤,看似伤口较小,实则可能因其携带的特殊污染物而引发感染的风险。今天我们就来好好聊聊,常见的海鲜河鲜感染有哪些?我们又该如何在享受美味的同时,保护好自己。
海洋创伤弧菌
海产品中隐藏的“致命威胁”
海鲜(尤其是活鲜、冰鲜)体表、黏液或体内常携带副溶血性弧菌、创伤弧菌、大肠杆菌、葡萄球菌等致病菌,这些在海水环境中生活的细菌多为“嗜盐菌”,适应潮湿环境,一旦通过伤口侵入人体,易快速繁殖引发感染。
轻者引发局部伤口的红肿、疼痛、发热,重者可出现发热、寒战、淋巴结肿大,少数甚至会引发败血症。
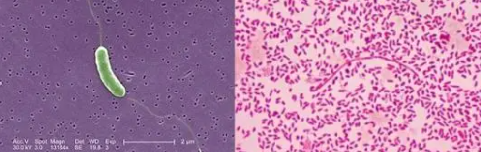
其中我们更要警惕的是海洋创伤弧菌感染!这是海鲜刺伤中最危险的情况之一。

镜下的创伤弧菌图源网络
创伤弧菌是一种海洋嗜盐性弧菌,被称为“海洋中的无声杀手”,多存在于温暖海域的贝类、虾蟹、海鱼等体表,在不慎被感染后,感染部位通常迅速恶化,表现为红肿、疼痛、水疱、坏疽和组织坏死。若不及时治疗,伤口感染型创伤弧菌感染可迅速发展为败血症。

图片来源于《中华急诊医学杂志》
创伤弧菌感染后病情进展迅猛,救治困难,全世界范围内死亡率为9.1%~68.0%,在中国其死亡率为18%~56%。
河鲜产品中可能隐藏的感染
在处理河鲜时,如果不慎被鱼刺、虾壳、蟹钳刺伤,或皮肤有破损(如倒刺、划伤),细菌则可通过创口侵入。
1.副溶血性弧菌
虽然该细菌多常见于海水,但淡水环境(如河口、受海水倒灌的江河、养殖水体污染)中也可能存在,尤其河鲜若与海水产品交叉存放或处理,则易被污染。
感染副溶血性弧菌后,常出现腹痛、腹泻、呕吐、失水、畏寒及发热等症状。

图片来源于网络
2.猪丹毒杆菌
虽以“猪”命名,但这种细菌并非只存在于猪身上。它也存在于淡水鱼(如草鱼、鲫鱼、鲈鱼等)、淡水虾、蟹、贝类、螺蛳等水产品的体表、鳃部和黏液中,尤其是水产市场流通的鲜活河鲜,携带率较高。
在感染后的 1~3天,伤口周围出现界限清晰的“紫红色斑疹”,伴灼热感、疼痛,斑疹会逐渐扩大(但不化脓);少数人可能出现高热、关节肿痛,严重者细菌侵入血液引发败血症。

图片来源于《中国临床皮肤病学》
处理海鲜水产时
我们该如何做好预防?
1.做好个人防护
戴防水厚手套,不仅可以避免手部直接接触海鲜黏液,同时还可以防止被虾蟹壳、鱼鳞刺伤或划伤。
2.做好工具消毒
建议处理水产品前后,使用沸水烫洗刀具、砧板、剪刀等。建议设置专用“海鲜砧板”,做到与生肉、蔬果砧板分开,以避免交叉污染。

图库版权图片,转载使用可能引发版权纠纷
如果在处理过程中,我们不慎被刺伤,又该如何处理呢?下面这份刺伤处理小贴士请收好。
1.立即清洁伤口
应立即从近心端向远心端把血挤出,并用流动的清水反复冲洗伤口至少15 秒,尽可能冲掉表面的细菌、黏液或异物;若有明显可见的如虾壳碎片等异物,用消毒后的镊子轻轻取出。
切记!因为海洋中生存的细菌具有“嗜盐性”,如果是被海产品所扎伤,不能使用盐水冲洗。
2.消毒杀菌
用碘伏或75%酒精擦拭伤口及周围皮肤。
3.止血与保护
若伤口出血较多,用干净纱布按压5~10 分钟止血,止血后用无菌纱布或创口贴覆盖(避免伤口暴露在潮湿环境中,减少细菌再次污染)。
出现以下情况时必须就医
1.若伤口出现红肿、疼痛加剧等感染症状,应立即就医治疗,以防止感染进一步恶化。
2.患有肝病、糖尿病等高危人群,即使伤口无明显异常,也建议在刺伤后24小时内就医,排查创伤弧菌感染风险。
海鲜可以吃得鲜、吃得爽,但处理的时候,千万别掉以轻心。那些看似不起眼的小扎伤、小破口,有时恰恰是细菌“趁虚而入”的最佳时机。绝大多数时候问题不大会自己好,但一旦碰上“倒霉的那一次”,可能就会发展得比你想象中更严重。
所以,以后处理大闸蟹、海鱼、贝类的时候——戴个手套、及时清洗伤口、必要时早看医生,真的都是能救自己一命的小事。
愿大家每一次的海鲜大餐,都只有鲜味、没有“风险味”。吃得开心,也吃得安心。
参考文献
[1]中华预防医学会,创伤弧菌感染诊治、预防专家共识[J].中华流行病学杂志,2025,46(7):1142-1149.
[2]贺星星,高婧,童译庆,等.宏基因组二代测序快速诊断鱼刺伤手部感染的创伤弧菌脓毒血症患者4例.中华急诊医学杂志,2023,32(6):811-814.
策划制作
作者丨李沂轩 上海市杨浦区市东医院皮肤科副主任医师
审核丨李侗曾 北京佑安医院感染综合科主任医师北京预防医学会感染病学专业委员会委员
来源: 科普中国新媒体
内容资源由项目单位提供
科普中国公众号
科普中国微博

帮助
科普中国新媒体 