丢三落四、反应迟钝、性情冷漠,55岁的张女士在半年时间发生了明显变化,然而直到后来突发抽搐倒地才到医院就诊,检查发现颅内竟长有6厘米的巨大肿瘤。
在湖南省第二人民医院(省脑科医院),幸而通过一场精密的“大脑保卫战”,成功解除了危机。医生提醒,大脑精密而脆弱,出现七大“求救信号”,要及时就医排查。早发现、早诊断、早治疗是关键。
从“忘事”到“抽搐”,竟是颅内肿瘤作祟
在亲朋好友眼中,55岁的张女士一直是精明能干的代名词。然而,半年前开始,她变得丢三落四,刚说过的话转眼就忘;反应不如从前敏捷,有时会愣神许久;情感也逐渐变得淡漠,对很多事情都提不起兴趣。
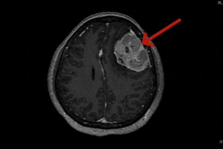
面对这些变化,张女士和家人最初都将其归咎于正常的衰老过程,并未过分在意。直到有一天,张女士的左手突然毫无征兆地、不受控制地抽动起来,持续了大约一两分钟才停止。更可怕的是,这种情况后来愈发频繁,甚至有一次,她突然倒地,全身抽搐,意识丧失。家人这才意识到问题的严重性,立刻将她送往当地医院。头部CT检查结果,张女士脑内长了一个直径达 6 厘米的巨大肿瘤。
这个消息让张女士和家人瞬间懵了,巨大的恐惧和茫然笼罩了他们。在经过多方打听和慎重考虑后,他们怀着一线希望,找到了湖南省第二人民医院(省脑科医院)神经外科三病区的陈小峰主任医师。
抽丝剥茧,揪出癫痫背后的元凶与帮凶
陈小峰医师仔细了解了张女士的病情,并结合影像学检查有了初步的判断。他为张女士办理了入院,并安排了更为精密和详细的检查。

检查结果清晰地揭示了病灶的全貌:一个直径达6厘米的巨大肿瘤,位于掌控着身体感觉和部分运动功能的右侧顶部,更棘手的是,肿瘤已经侵犯了大脑中央最重要的血液回流通道——矢状窦。这无疑大大增加了手术的难度和风险。
然而,一个更隐蔽的细节,引起了陈小峰医师的高度警惕。术前的视频脑电图监测发现,在距离肿瘤边缘大约3厘米的脑组织区域,存在着独立的、异常的癫痫波。
这个发现至关重要。它意味着,导致张女士癫痫发作的,不仅仅是肿瘤本身的物理压迫。肿瘤周围的脑组织,可能因为长期受压、缺血或炎症反应,已经形成了一个独立的“致痫灶”。这就好比一个起火点(肿瘤)引燃了旁边的易燃物(周围脑组织),即使移除了火源,这些被引燃的易燃物依然可能自己燃烧。换言之,即便手术完美地切除了肿瘤,张女士的癫痫也未必能完全根治。
但这个“致痫灶”所在的区域,恰恰是掌管对侧肢体运动的“功能区”。如果为了根治癫痫而强行切除这片区域,极有可能酿成患者左侧肢体瘫痪、感觉麻木甚至语言功能障碍的严重后果,这将是灾难性的。
面对这个两难的困境,在劳模匡卫平主任医师的指导下,神经外科三病区制定了一套周详、精准且个体化的手术方案。手术的目标非常明确:不仅要完整切除肿瘤,还要同步清除致痫灶,同时确保患者宝贵的神经功能丝毫无损。
刀尖上的舞蹈,精密的“大脑保卫战”
一切准备就绪后,陈小峰主任医师带领副主任医师李波、鄢林等团队成员,开启了一场精密的“大脑保卫战”。他们小心翼翼地分离肿瘤与正常脑组织的边界,并成功处理了侵犯矢状窦的部分,最终将这个直径6厘米的“不速之客”完整切除。

关键的第二步随即开始。正如术前预料,术中皮层脑电监测显示,在距离肿瘤边缘约2-3厘米的皮层区域,确实存在独立的异常放电。而与此同时,神经电生理监测也明确提示,这片区域仍保留着部分运动功能。切除,则可能导致瘫痪;不处理,癫痫将卷土重来。
在这千钧一发之际,陈小峰医师展现出了高超的技术与决策力。他对这片“功能性与致病性共存”的脑组织,采取了极为精巧的“低功率热灼术”。这种技术就像用一把微型的“热熨斗”,在异常放电的皮层表面进行轻柔的、可控的热凝处理,能够有效地破坏掉产生异常电流的神经细胞微环路,从而“扑灭”癫痫的火苗,同时又最大限度地保留其下层的正常运动功能传导通路。
手术成功了!术后,最令人欣慰的消息传来:病理切片结果证实,张女士的肿瘤是良性的脑膜瘤。同时,张女士恢复良好,没有出现任何新的神经功能障碍。困扰她许久的癫痫,也没有发作过。
脑膜瘤,常见的颅内良性肿瘤
陈小峰主任医师解释,张女士所患的脑膜瘤,是神经外科最常见的中枢神经系统肿瘤之一,绝大多数为良性。多见于40-70岁的中老年人,且女性发病率约为男性的2倍,提示其发生可能与体内激素水平变化有关。大多数脑膜瘤生长非常缓慢,病程常以年计算。正因为如此,在肿瘤生长的初期,大脑会默默代偿,患者可能长期没有任何症状。
脑膜瘤的症状完全取决于肿瘤的生长位置和大小。常见症状包括:头痛(通常为持续性钝痛,晨起时可能加重)、癫痫发作、肢体无力或麻木、视力视野改变、嗅觉或听力障碍、性格精神改变等。像张女士这样以认知功能下降起病的,也并不少见。
对于有症状的、或持续增大的脑膜瘤,手术全切是首选且可根治的方案。绝大多数良性脑膜瘤在完全切除后,预后良好,无需放化疗。
早发现、早诊治,警惕大脑的七大“求救信号”
我们的大脑,比我们想象中更为精密和脆弱。陈小峰主任医师提醒,要警惕大脑的七大“求救信号”,如果出现,要及时就医排查。早发现、早诊断、早治疗是关键。
第一,不明原因的记忆下降。虽然衰老会伴随认知功能减退,但短期内(如数月内)出现进行性加重的记忆障碍、性格改变、情感淡漠,必须高度警惕,这可能是颅内压力增高或功能区受损的早期表现。及时进行头部影像学检查(如CT或MRI),是排除器质性病变的最直接手段。
第二,首次发生的癫痫发作。据统计,成年后首次癫痫发作,约一半以上是由明确的脑部疾病引起的,如脑肿瘤、脑血管病、脑感染、脑外伤后遗症等。因此,一旦出现无故的肢体抽搐、失神、愣神、感觉异常或意识丧失,绝不能掉以轻心,务必立即就医,查明原因。
第三,持续且加重的头痛。尤其是清晨起床时最严重,活动后可稍缓解,或伴有恶心、呕吐。
第四,进行性的神经功能缺损。如一侧肢体力量逐渐减弱、行走不稳、拿东西不稳、口角歪斜、言语含糊不清、饮水呛咳等。
第五,视力或视野突然出现问题。视力模糊、看东西有重影(复视)、或视野范围内出现缺损(比如看不到左边或右边的东西)。
第六,严重且突如其来的头晕:感觉天旋地转,无法站稳,与体位改变无关。
第七,性格与精神的显著改变:变得易怒、暴躁、多疑,或者反之异常冷漠、抑郁,行为举止与以往大相径庭。
湖南医聊特约作者:湖南省第二人民医院(省脑科医院)神经外科三病区 鄢林 石荣
关注@湖南医聊,获取更多健康科普资讯!
(编辑YT)
来源: 湖南省第二人民医院(省脑科医院)
科普中国公众号
科普中国微博

帮助
湖南医聊