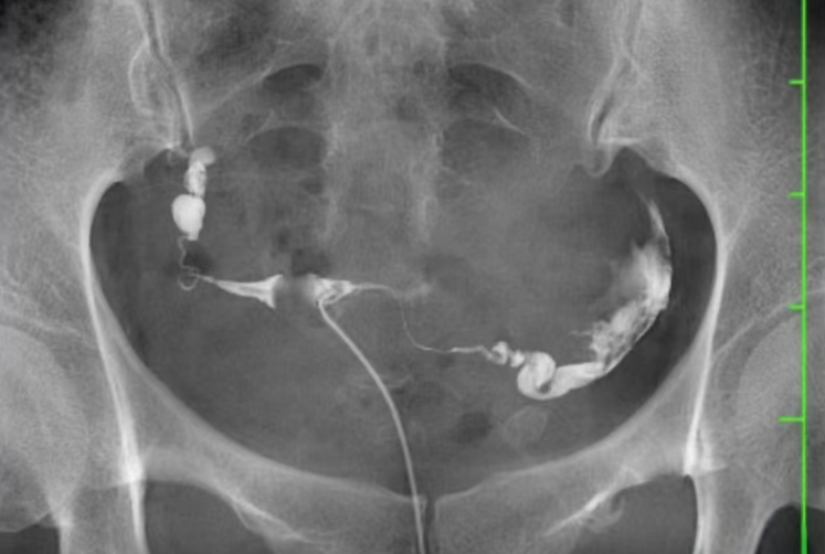
什么是输卵管超声造影?
输卵管超声造影是一种检查女性输卵管通畅情况的医学影像方法。它通过在子宫腔和输卵管内注入超声造影剂,然后在超声实时观察下,看造影剂是否能顺利通过输卵管到达盆腔,从而判断输卵管是否通畅、有无阻塞或积水等问题。
为什么需要做这个检查?
1.评估不孕症原因:输卵管阻塞或通而不畅是常见不孕原因之一。
2.检查输卵管手术后的恢复情况。
3.了解是否存在输卵管积水、畸形等病变。
检查过程
1.准备:一般在月经干净后3~7天进行,检查前避免性生活。
2.体位:和做普通妇科超声类似,患者取仰卧位。
3.置入导管:医生会将一根细小的导管通过阴道、宫颈放入子宫腔。
4.注射造影剂:缓慢注入超声造影剂,同时用B超观察。
5.实时观察与记录:医生会观察造影剂流动情况,并拍下动态影像。
6.结束:检查完成后取出导管,休息片刻即可回家。
整个过程一般只需10~30分钟。
输卵管超声造影与放射造影的区别
1.输卵管超声造影

①核心成像原理——利用超声造影剂(多为微气泡类),通过超声设备实时观察造影剂在子宫、输卵管内的流动轨迹。
②造影剂类型——微气泡超声造影剂(无放射性,代谢快)。
③辐射风险——无辐射,备孕女性可在检查后较短时间(检查后的下一次月经干净即可)尝试怀孕。
④检查优势——无辐射,安全性更高;可实时动态观察造影剂流动,同时评估子宫肌层、卵巢情况;造影剂过敏风险极低;医护人员全程陪同,造影剂缓慢推注,较为轻松。
⑤适用人群——优先推荐备孕女性、对辐射敏感人群,或需多次复查输卵管情况者。
⑥检查后恢复——无辐射残留,术后3-7天避免性生活即可。
2.输卵管放射造影(HSG)

①核心成像原理——利用含碘造影剂,通过X线(放射)设备拍摄影像,观察造影剂分布。
②造影剂类型——含碘溶液(如碘海醇、碘油等,有放射性)。
③辐射风险——有辐射,检查后需严格避孕3-6个月,避免辐射对卵子的潜在影响。
④检查优势——影像分辨率高,对输卵管阻塞部位、形态的显示更清晰;部分含碘造影剂(如碘油)有轻微“疏通输卵管”的辅助作用。
⑤适用人群——适合对辐射无禁忌、对疼痛耐受程度高的患者。
⑥检查后恢复——需严格避孕3-6个月,术后需观察是否有造影剂过敏(如皮疹、恶心)或感染风险。
来自云南的28岁罗女士(化名):没有博主说的那么难受,就像平时来月经一样,稍微有点胀。
来自厦门的33岁蒋女士(化名):消毒的时候稍微有点凉,插管的时候确实有些想上厕所,但就几分钟。
要不要麻醉?
先说结论:不需要麻醉,但疼痛感受因人而异。主要取决于:
1.输卵管是否通畅(不通可能会稍微有点疼)。
2.个人疼痛敏感度。
3.医生操作熟练度。
检查后注意事项
1.当天避免性生活和盆浴。
2.注意休息,避免剧烈运动。
3.做完造影当天,阴道可能有少量咖啡色分泌物,建议备上卫生巾。
4.如出现发热、明显腹痛或大量出血,应及时就医。
输卵管造影没有传说中那么可怕!就像做了一次加强版的妇科检查。建议选择有资质的医院和经验丰富的医生,根据自身情况安排更适合的方案。放轻松,好孕自然来!
湖南医聊特约作者:长沙江湾妇产医院 生殖医学中心 周欢
关注@湖南医聊,获取更多健康科普资讯!
(编辑92)
来源: 长沙江湾妇产医院 生殖医学中心 周欢
科普中国公众号
科普中国微博

帮助
湖南医聊