今天就带大家深入了解一下这个“令人烦恼的种子——多生牙”。
多生牙,又称额外牙,是指超出正常牙齿数目(乳牙20颗,恒牙28-32颗)以外的牙齿或者牙源性结构,属于牙齿发育异常中的数目异常。

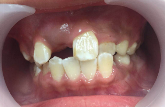
多生牙可在牙列中多生一颗或几颗牙,多见于混合牙列和恒牙列,发生率在1%-3%,最好发于两颗上颌中切牙之间。男性多于女性。多生牙可萌出于口腔内,也可埋伏于颌骨内,也可发生于牙弓外的唇颊侧和舌腭侧,有的甚至位于鼻腔、上颌窦内。

多生牙常导致正常恒牙迟萌或阻生、牙根弯曲、牙齿移位或萌出方向改变,乳牙滞留、邻牙扭转、牙间隙的出现等;还可造成邻牙异常的牙根吸收,形成滤泡或牙源性囊肿;或出现含牙囊肿,或萌出于鼻腔、上颌窦内,出现相应部位的症状。怀疑有多生牙时,需拍摄全景片及CBCT明确诊断。

总院医生提醒您:治疗应早发现,早处理。已萌出的多生牙应及时拔除。埋伏的多生牙影响恒牙的发育、萌出及排列,应尽早拔。如果不影响恒牙发育和萌出,则可等恒牙发育完成后再拔除,记得定期复查哦。

来源: 宁夏回族自治区科学技术协会
内容资源由项目单位提供
科普中国公众号
科普中国微博

帮助
宁夏回族自治区科学技术协会 