牙齿有缝,十分影响美观。
五六十岁以上人群
牙缝逐渐变宽还算“情有可原”

牙缝宽千万不要置之不理!
要学会及时求医!

该补的牙齿没有及时补上,很可能会造成相邻的牙齿移动倾斜,原本排列整齐的牙齿就会出现缝隙。
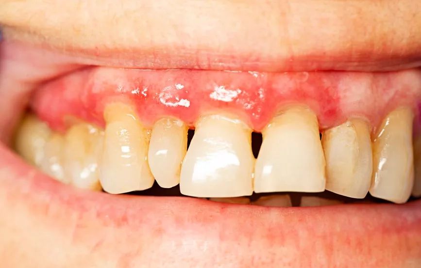
典型症状为长期牙龈出血、牙石、牙齿松动或口臭等。临床上此原因所造成的牙缝现象较为多见。
青少年时期就可能表现出牙齿排列不好。
牙齿龋坏细菌腐蚀牙齿后所形成的缝隙
除了牙周病导致细菌破坏牙槽骨,需补的牙齿不补等使牙周支持变得较差出现移位。
不仅影响人的形象美观和社会交际,造成心理负担,而且吃东西容易塞牙缝,造成食物残留,引起牙龈疾病和牙周疾病。(重点)
01 牙齿矫正
传统金属托槽矫治器:也叫普通金属托槽牙齿矫正器,是一种相对传统,价格相对便宜的牙齿矫正技术,材料为不锈钢托槽,应用比较广泛。 无托槽隐形矫治器:隐形矫正技术由弹性透明的高分子材料制成,不需要托槽和钢丝,同时方便摘戴,不妨碍患者的日常生活。口腔卫生易于维护。
02 贴面或者全瓷牙
这种方式的矫正原理是把原来不齐的牙齿进行适当的磨除,然后再带上整齐的牙冠及贴面实现矫正的目的。
这种方式可以迅速收获一口整齐亮白的牙齿,效果非常好,是很多明星白领美牙常用方式。
03 解决楔状缺损的牙齿缝隙
如果横沟明显,要用牙科材料填充上或者瓷嵌体修复 如果横沟不明显却有冷热刺激疼的症状,做个脱敏治疗就可以了。要强调的是一定要避免横刷,并选用较软的牙刷和较细的牙膏。
如果发现自己的牙齿缝隙在变大,一定要及时去医院找医生对症下药哦。
来源: 银川艾齿口腔医院
科普中国公众号
科普中国微博

帮助
银川互动口腔健康科普馆