深夜,41岁陈先生驾车途中,突发“炸裂般”头痛,伴恶心呕吐。他凭最后一丝清醒艰难地拨通120,一场生命极限接力就此启动。
“医生,我头痛得要炸开,还想吐!”120接到陈先生的求救时,感觉他声音痛苦虚弱。120指挥中心立即调动平江县第一人民医院院前急救,医护人员紧急救援。
抵达现场时,他已呼之不应、四肢强直抽搐,车歪着停在路边,险象环生!同时,医院卒中绿色通道开通.....患者被直接送至急救室。
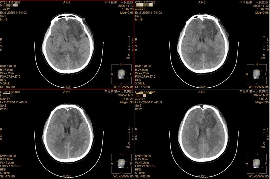
到院首诊:急诊医生同步接收院前急救信息,快速判断病情后,立即安排头颅CT检查,报告显示颅内出血;
紧急会诊:神经外科医生第一时间会诊,随即完善头颅CTA检查,明确诊断——左侧额叶脑出血(出血量约100ml),周围脑组织受压明显,需紧急手术;

(▲图片说明:入院时颅脑CT显示颅内出血)
术前衔接:家属签署知情同意后,急诊护理团队同步完成术前准备,患者被直接送入手术室;
术中配合:麻醉医生与神经外科医生默契协作、同步推进,历时4小时手术顺利完成;
术后监护:患者术后直接转入ICU接受精细化监护,术后第5天各项指标稳定,顺利转入神经外科普通病房。
转入普通病房后,医护人员与家属通力协作、全程守护。陈先生恢复情况远超预期,如今已能自主行走、正常交流,生活基本自理,各项神经功能稳步向好,即将康复出院。

(▲图片说明:术后第9天颅脑CT显示)
这场从驾车途中到病房康复的救援,彰显了急诊绿色通道的高效衔接、多学科协作的救治实力,以及各环节医护人员的专业守护。
医生提醒:即便是青年人,也绝不能忽视身体发出的不适预警!若出现剧烈头痛、恶心呕吐等异常症状,无论身处何种场景(尤其驾车时需立即安全停车),都要第一时间呼救就医,切勿强忍拖延——早排查、早干预,才能避免小症状酿成脑出血等严重后果。日常规律监测血压、摒弃熬夜、过度劳累等不良习惯,更是守护健康的关键。
湖南医聊特约作者:平江县第一人民医院 吴益平
关注@湖南医聊,获取更多健康科普资讯!
(编辑YT)
来源: 平江县第一人民医院 吴益平
科普中国公众号
科普中国微博

帮助
湖南医聊