55岁的彭阿姨(化名)刚退休不久,一天凌晨在睡梦中被胸口的剧痛惊醒。她形容“像有大石头压着”,冷汗浸透睡衣。自行服药后稍有缓解,但隐痛持续整夜。
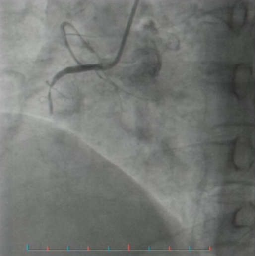
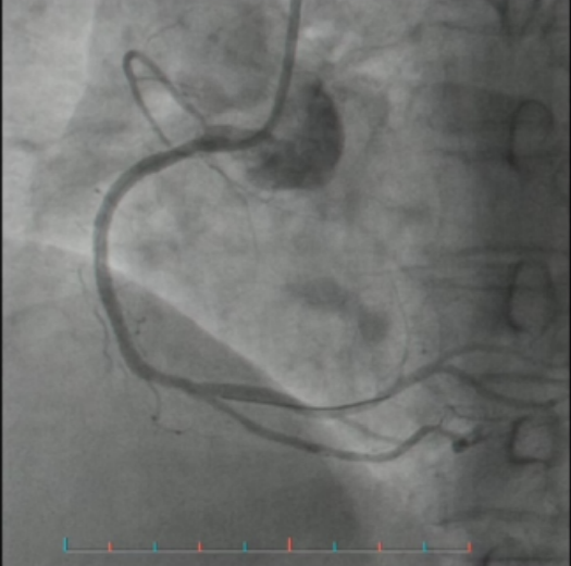
第二天,她前往湖南省中西医结合医院(湖南省中医药研究院附属医院)就诊,心电图结果令人震惊:急性心肌梗死。心血管内三科陆胜主任医师团队迅速为她进行冠脉造影并开通堵塞血管。手术成功,彭阿姨转危为安。

(▲造影示血管闭塞)

(▲支架术后血流恢复)
但她始终不解:“我退休前体检还好好的,怎么会突然心肌梗死?”陆胜医生看着她发黄的牙齿,轻声问:“您抽烟很多年了吧?”彭阿姨愣住了。
确实她抽烟多年,从年轻时在外地工作就开始了。她觉得抽烟“飘逸,潇洒”,也能缓解压力。尽管家人多次劝她戒烟,她却因体检“没大问题”而一直未在意。这一次,她终于决心戒烟。
为什么吸烟会引发心肌梗死?
陆胜主任医师介绍,吸烟是心血管疾病的独立危险因素。长期吸烟会加速动脉粥样硬化、增加血液黏稠度、直接损伤血管内皮,以及升高血脂、血压、心率。这些变化都会显著提高急性心肌梗死的发生风险。
为何女性吸烟,危害远比你想象中更大?
吸烟在某些女性群体中也许被视为“自由”“独立”的象征,但背后隐藏的健康风险不容忽视。
1.风险更高:女性吸烟者比男性更易“受伤”
研究表明,吸烟使女性患冠心病的风险增加2至3倍,而男性约为1.5倍。女性吸烟者发生急性心肌梗死的年龄往往比男性更早,症状也可能更不典型,更容易被忽视或误诊。

(▲AI图)
2.绝经后风险叠加:失去雌激素的“保护盾”
在绝经前,女性体内的雌激素对心血管有一定保护作用。但绝经后,雌激素水平急剧下降,这种天然保护随之消失,心血管疾病风险会自然升高。
吸烟则会猛烈加速这个过程:它不仅直接损伤血管,还会进一步破坏体内剩余的雌激素,使血管更快地硬化、失去弹性。因此,对于绝经后的女性来说,吸烟相当于雪上加霜,导致心肌梗死风险成倍增加,远超过同年龄段的男性。
吸烟对女性的伤害还体现在哪些方面?
1.呼吸系统:肺气肿进展更快,小气道更易受损;
2.生殖健康:影响激素平衡,增加不孕、早产风险;
3.骨骼健康:加速骨质流失,绝经后女性更易骨质疏松;
4.皮肤老化:胶原蛋白被破坏,皱纹、色斑增多,肤色暗沉。

(▲AI图)
专家提醒
在“中国心梗救治日”来临之际,湖南省中西医结合医院(湖南省中医药研究院附属医院)心血管内三科陆胜主任提醒女性朋友,尤其是步入围绝经期和已绝经的女性,戒烟是你在任何年龄段都能为自己做的最好的健康投资,更是你在失去雌激素保护后,为自己重建的一道“生命防线”。
无论你吸烟多久,戒烟都能显著降低心肌梗死、肺癌、骨质疏松等疾病的风险。健康不等人,戒烟要趁早。让我们一起行动,远离烟草,守护心脏!
湖南医聊特约作者:湖南省中西医结合医院(湖南省中医药研究院附属医院) 心血管内三科 夏相宜
关注@湖南医聊,获取更多健康科普资讯!
(编辑92)
来源: 湖南省中西医结合医院 夏相宜
科普中国公众号
科普中国微博

帮助
湖南医聊