近日,桃源县中医医院心血管内科团队凭借精湛医术与高效协作,成功为一名57岁急性前间壁心肌梗死患者实施急诊冠状动脉介入治疗(PCI)。

在多基础疾病叠加的高危情境下,团队争分夺秒打通闭塞血管,为患者赢得宝贵生机,彰显了医院在心血管急危重症救治领域的过硬实力。
突发急病:多重基础病患者遭遇“心”危机
57岁的梁大叔(化名)10小时前无明显诱因突发胸闷胸痛伴出汗,在当地医院做心电图提示“可能急性前间壁心肌梗死”,立即转诊至桃源县中医医院,急查肌钙蛋白达6.7ng/ml,被诊断为“急性心肌梗塞”收入院。
其既往合并高血压病3级(极高危)、2型糖尿病、脑梗死后遗症、高脂血症及慢性胃炎,多重基础病加大了救治难度与并发症风险,情况危急。

(▲心电图提示“急性前间壁心肌梗死”)
入院后,心血管内科团队在科主任带领下迅速启动急诊流程,结合症状、检查及病史,明确急性前间壁心肌梗死等6项诊断,为挽救缺血心肌、降低死亡率,团队当即决定实施“冠状动脉造影+急诊PCI”手术。
精准施救:急诊PCI打通“生命通道”
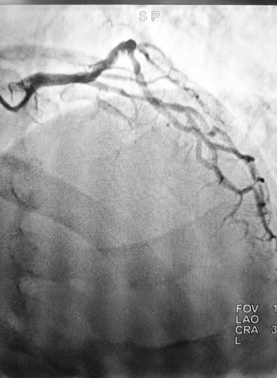
术中冠脉造影结果显示,梁大叔冠状动脉呈右冠优势型,左前降支近段以下完全闭塞,血流TIMI 0级(无血流灌注),左回旋支近段偏心性狭窄60%,右冠状动脉近中段弥漫性狭窄30-60%,后降支近中段狭窄85%,病情远比预想更为严峻。

(▲治疗前)
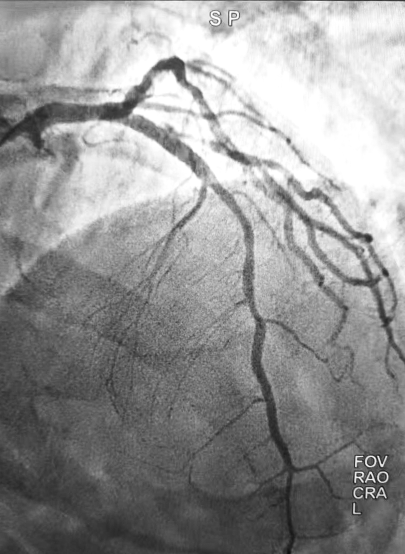
面对复杂的血管病变,手术团队沉着应对,凭借丰富的介入治疗经验,精准操作:先通过球囊扩张技术疏通闭塞血管,再成功植入药物支架。再次造影显示,支架内无残余狭窄,闭塞血管被成功打通,血流恢复至TIMI 3级(正常血流灌注),手术达到预期效果。
整个手术过程顺利,术中及术后患者未诉特殊不适,安返病房接受PCI术后规范化治疗与护理。

(▲治疗后)
守护生命健康心梗症状提示
时间就是生命,时间就是心肌。急性心肌梗死是危及生命的急危重症,抢救成功的关键在于“早识别、早转运、早治疗”。
此次手术的成功,不仅体现了医院心血管内科在急诊PCI技术上的成熟应用和多学科协作的应急救治能力,更彰显了医院在守护当地群众生命健康方面的重要作用,为今后更多胸痛病例的救治积累了宝贵经验。
关于急性心肌梗死:
急性心肌梗死(AMI),又称心肌梗死,是由于冠状动脉急性阻塞导致相应心肌区域供血不足,使心肌坏死的影响生命的疾病。该疾病主要由冠状动脉粥样硬化、心律失常、呼吸衰竭等各种原因导致的血液供应不足、心肌缺氧和心肌过度耗氧等多因素所致。
全球范围内,急性心肌梗死发病率与死亡率较高,且以中老年人及有心脏疾病、吸烟、糖尿病及高血脂等高危人群较为常见。
心梗常见症状包括:胸痛或胸闷,常为压迫性、紧缩感;大汗、恶心、呼吸困难;疼痛可向左肩、背部或下颌放射。
如出现上述症状,应立即停止活动、立即拨打急救电话,切勿自驾就医,以免延误救治!
湖南医聊特约作者:桃源县中医医院 心内科 秦俊
关注@湖南医聊,获取更多健康科普资讯!
(编辑YT)
来源: 桃源县中医医院 心内科 秦俊
科普中国公众号
科普中国微博

帮助
湖南医聊