根据国家癌症中心最新数据,肺癌的发病率与死亡率仍居我国恶性肿瘤首位,是威胁居民健康的“头号杀手”。每年11月17日的“国际肺癌日”,正是为了提升公众对这一高发疾病的防治意识。
在肺癌的综合治疗版图中,放射治疗(简称“放疗”)作为核心手段之一,已贯穿于疾病管理的各个阶段,成为一把不可或缺的“隐形利刃”。
认识肺癌:小细胞与非小细胞
1.肺癌主要分为两大类:
非小细胞肺癌(NSCLC):约占所有肺癌的85%,常见类型包括腺癌、鳞癌等。其生长相对缓慢,转移较晚。
小细胞肺癌(SCLC):约占15%,其恶性程度更高,生长快且易早期转移。
2.发病原因
肺癌最主要的危险因素是吸烟,其次还包括慢性阻塞性肺疾病等病史、癌症史、肺癌家族史,以及接触其他致癌物等。相较于NSCLC,SCLC的发生与吸烟更密切,90%以上的SCLC患者曾经有吸烟史或正在吸烟。
放疗在肺癌中的精准应用
1.早期患者:根治新选择
对于因高龄、心肺功能差等原因无法手术或拒绝手术的早期(如I期)患者,立体定向放疗(SBRT)已成为标准的根治性手段。其局部控制率可达90%以上,疗效与手术相当,且具有无创、恢复快的优势。
2.局部晚期患者:协同作战创奇迹
对于不可手术的肺癌患者,同步放化疗是经典治疗方案,为患者带来了显著的生存获益。
3.预防性脑放疗:防患于未然
小细胞肺癌脑转移风险高,对于经初始治疗有效的患者,进行预防性脑放疗(PCI)可以显著降低脑转移的发生概率,从而改善预后。
案例分享
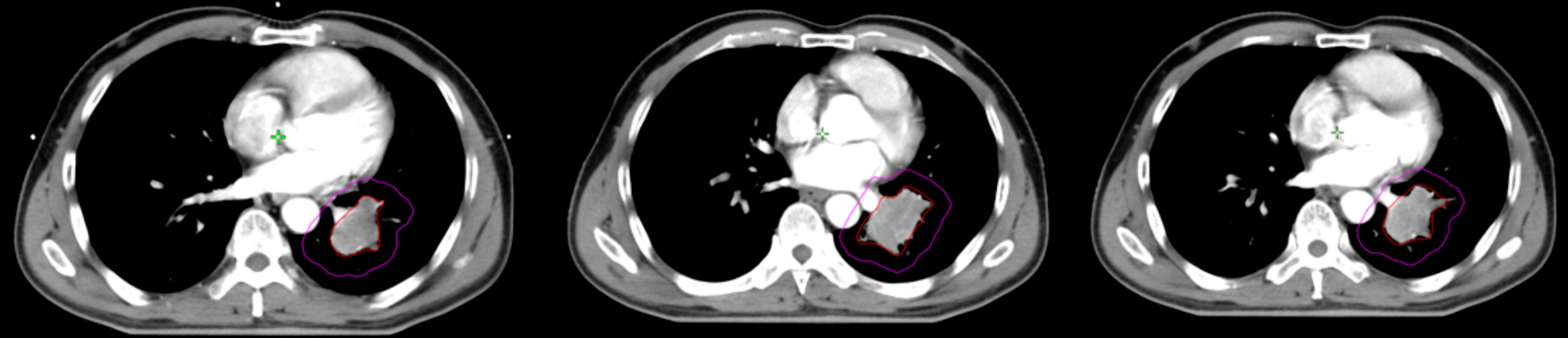
患者,60岁男性,确诊左肺期鳞癌(III期)。在接受化疗后,2025年9月复查显示左肺门肿块较前明显增大,并出现咳嗽、痰中带血的症状,疾病出现局部进展。为控制肿瘤、缓解症状,邵东市人民医院放疗团队为其制定了精准的放射治疗计划。
下图CT影像中,红色线条范围代表需要高剂量照射的核心肿瘤靶区,紫色区域则为保证治疗效果而扩大的安全边界,确保了放疗的精准性和安全性。

(▲患者放疗照射部位影像(部分)(放疗前))

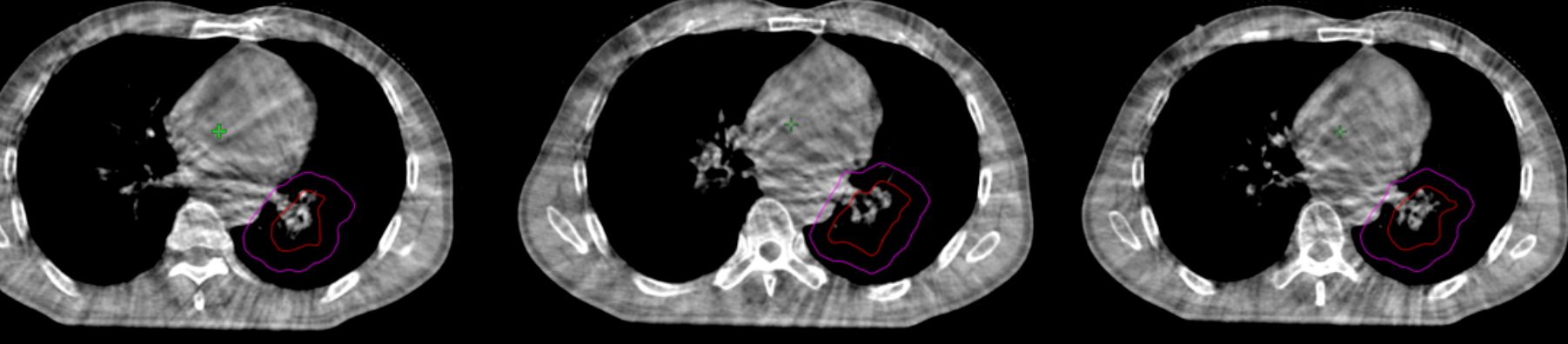
(▲患者最后一次放疗CBCT影像图(放疗后))
经过一个疗程的放射治疗后,最后一次放疗CBCT(下图)显示患者左肺门的肿块明显缩小,肿瘤对支气管的压迫得到有效解除。其咳嗽、咯血的症状基本消失,生活质量获得显著提升。
结语
从早期到晚期,从小细胞肺癌到非小细胞肺癌,现代放疗技术凭借其精准、微创的优势,已深度融入肺癌治疗的全局策略。这把“隐形利刃”正不断突破疗效瓶颈,为各分期患者带来新的希望。
参考资料:
1.2022年中国恶性肿瘤流行情况分析[J].中华肿瘤杂志,2024
2.非小细胞肺癌放疗联合免疫治疗中国专家共识(2024版)
3.中国临床肿瘤学会(CSCO)CSCO小细胞肺癌诊疗指南(2024版)
湖南医聊特约作者:邵东市人民医院 周斌
关注@湖南医聊,获取更多健康科普资讯!
(编辑92)
来源: 邵东市人民医院 周斌
科普中国公众号
科普中国微博

帮助
湖南医聊