对于结直肠癌,肝脏作为最常见的转移部位,其病灶能否得到有效控制,直接关系到患者的生存期与生活质量。立体定向放疗凭借其精准靶向的技术优势,在肝脏转移灶的治疗中展现出显著疗效。
病例详情:晚期转移困境下的治疗探索
患者刘某,确诊为直肠癌,进一步检查发现肝内转移,在经历系统性的化疗及靶向药物维持治疗后,患者肝脏肿瘤缩小不明显,且拒绝手术。
为攻克肝脏这一重点病灶,邵东市人民医院放疗团队经过严谨评估,为其量身定制了以精准放疗为核心的综合治疗计划。启用瓦里安VitalBeam直线加速器,对肝部单一转移灶施行了立体定向放疗。
治疗方案:SBRT立体定向放疗的精准出击
医疗团队经综合评估,针对患者晚期转移的病情特点及前期治疗情况,决定采用SBRT立体定向放疗这一先进技术。
同时针对肝脏立体定向放射治疗(SBRT)中呼吸运动导致的定位误差问题,采用科莱瑞迪SBRT固定板进行精准固定,为肝脏肿瘤的高精度放射治疗提供可靠保障。
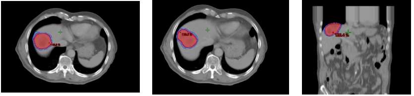
本次治疗为患者制定了科学的剂量方案:总剂量49Gy,分7次照射,单次剂量7Gy,在精准锁定肝内转移病灶的同时,最大程度减少对周围正常肝组织及邻近器官的损伤,实现“精准打击、高效杀伤”的治疗目标。

(▲放疗剂量图)
疗效见证:病灶显著缩小,重燃康复希望
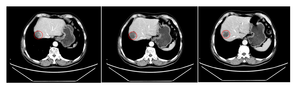
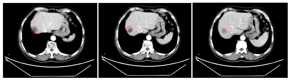
历经规范的SBRT立体定向放疗后,刘某复查CT结果传来捷报:与放疗前相比,肝内转移肿瘤病灶出现明显缩小,治疗效果确切,病情得到有效控制!

(▲放疗前CT图像)

(▲放疗后CT图像)
不良反应:几乎没有
患者在放疗期间及治疗后,除原有轻微手足麻木外,精神状态、饮食睡眠、二便情况均保持良好,生活质量得到充分保障。
总之,对于肝转移等晚期肿瘤患者而言,SBRT立体定向放疗凭借精准定位、高效杀伤、安全低毒的特点,不仅能有效缩小肿瘤病灶、控制病情进展,更能为患者争取更长生存周期、更高生活质量!
湖南医聊特约作者:邵东市人民医院 周斌 刘庆
关注@湖南医聊,获取更多健康科普资讯!
(编辑YT)
来源: 邵东市人民医院 周斌 刘庆
科普中国公众号
科普中国微博

帮助
湖南医聊