编译:高杰
阿尔茨海默病(AD)像一个无形的阴影,悄悄侵蚀着许多老年人的记忆与生活。而一个令人费解的现象是,全球范围内女性患者似乎总是比男性更多,这让性别因素成为AD研究的核心焦点之一。而年龄作为AD最主要的风险因素,自然让人产生疑问——是不是男女大脑的衰老速度不一样,才导致了这种患病率差异?

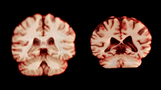
健康的大脑(左)和受阿尔茨海默病影响的大脑。图源:Nature,Anatomical Travelogue/SPL
据《自然》新闻报道,挪威奥斯陆大学的研究团队最近发表在《美国国家科学院院刊》上的一项重磅研究,用超大规模的纵向脑成像数据给出了明确答案:健康大脑衰老的性别差异,不太可能解释女性更高的AD患病率。这一发现,彻底颠覆了我们对AD性别差异的传统猜想。

男女大脑衰老,谁更快?
为了搞清楚男女大脑衰老的差异,研究团队整合了14个研究队列的数据,涵盖4726名年龄在17-95岁的认知健康参与者,累计采集了12638 次纵向脑部磁共振成像(MRI)数据(没人至少两次扫描,平均间隔3年)。
研究人员重点分析了87项大脑结构指标,包括大脑整体体积、脑叶体积、皮层厚度、皮层表面积以及皮层下结构体积等,还专门控制了头围大小带来的影响,避免因生理结构差异干扰结果。
经过细致分析,研究人员发现,男女大脑衰老确实存在差异,但这种差异的方向和程度,完全不足以解释AD的性别患病率差距。

图源:论文截图
总体而言,男性大脑在多个关键脑区的体积缩减幅度大于女性,表明其大脑衰老得更快。具体来说,男性的楔叶、舌回、海马旁回和距状裂周围皮层的皮质厚度下降更快;梭状回和中央后回的表面积缩减更为显著;而在老年人中,尾状核、伏隔核、壳核和苍白球皮质体积下降也更明显。
尤其在负责处理触觉、疼痛、温度以及身体位置和运动信息的中央后回等区域,男性大脑的年均萎缩率达2.0%,显著高于女性的1.2%。
相比之下,女性的大脑衰老表现得更为集中:仅在颞上沟岸的皮层表面积缩小更快;老年女性的脑室扩张更明显(大脑衰老的一个重要标志),但涉及的脑区远少于男性。
更关键的是,与AD密切相关的海马体体积,在老年男女中的衰退速度并没有差异。这意味着,从核心脑区的衰老情况来看,女性并不比男性更“易感”。
AD性别差异的真正原因在哪?
既然男性的大脑衰老更显著,而女性的AD患病率却更高,这就说明我们必须跳出“大脑衰老速度”的思维定式,去寻找其他答案。
研究负责人指出,之前的纵向研究结果之所以不一致,部分原因是样本量有限或未充分控制混杂因素。而这项大样本研究明确表明,健康人群的脑结构衰老性别差异,无法解释AD在女性中更常见的现象。
那么,真正的原因可能是什么?研究团队提出了几个关键方向:
1. 长寿与生存偏倚
女性的预期寿命普遍长于男性,而AD的发病风险会随年龄增长急剧升高。或许不是女性更容易得AD,而是她们活得更久,暴露在AD风险中的时间更长。
2. 诊断与检测偏差
目前的AD诊断标准可能更适用于男性,女性的早期症状可能更隐蔽或表现不同,导致诊断不足或延迟;也有可能女性更倾向于寻求医疗帮助,而男性则可能因忽视症状而未被确诊。
3. 遗传与病理差异
载脂蛋白E(APOE)ε4等位基因是AD的重要风险基因,已有研究表明它对男女的影响不同,可能会导致女性大脑中tau蛋白积累更快,进而增加患病风险。这种病理层面的性别差异,可能比大脑衰老速度更关键。
4. 社会文化因素女性在一生中可能面临更多的健康挑战,比如更年期激素变化、长期护理压力、社会经济地位差异等,这些因素都可能间接影响AD的发病风险。
这项研究的价值不仅在于澄清了一个重要疑问,更在于为AD研究指明了新的方向。未来的研究需要更关注性别特异性的病理机制、诊断标准和预防策略,而不是单纯比较大脑衰老的速度。
对于普通大众来说,这一发现也带来了重要启示:无论男女,关注大脑健康都不能只看“衰老速度”,更要重视遗传背景、生活方式和健康管理。尤其是女性,不必因“患病率更高”而过度焦虑,通过积极防控风险因素、定期进行认知筛查,依然可以有效保护大脑健康。
来源: 上海市科学技术协会
科普中国公众号
科普中国微博

帮助
