脑干位于大脑下方,是连接大脑和脊髓的“核心通道”,掌管着我们的呼吸、心跳、血压、吞咽和意识水平等人体基本生命活动,被称为“生命中枢”。一旦这里出血,出血即使量少也可能造成严重的后果。
脑干出血在3ml以下的,死亡率约为70%;出血量在5ml以上,死亡率高达90%,而出血量超过10ml,患者死亡率将高达100%。且在脑干出血幸存者中,约80%会遗留不同程度的神经功能障碍。
近日,长沙泰和医院神经外科团队成功救治一名突发脑干出血的患者,体现了医院高超的危急重症疾病救治能力和多学科联合诊疗水平。

39岁男子突发晕倒,竟查出脑干出血8毫升!
前几日,39岁的吴先生(化名)突发头晕,随后意识丧失,被紧急送往长沙泰和医院就诊。
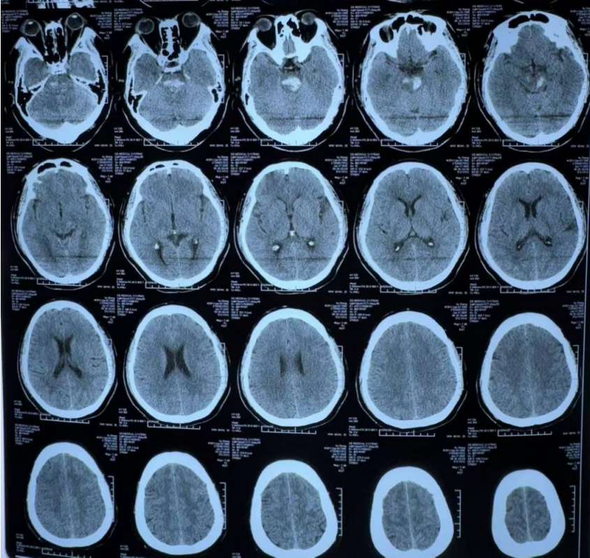
入院时,患者已处于昏迷状态,并丧失自主呼吸,瞳孔缩小光反射消失。为了维持呼吸道通畅,紧急实施了气管插管。随后头部CT扫描显示,吴先生患有脑干出血,出血量大约为8毫升,情况十分凶险。

(术前CT:脑干出血)
勇闯“生命禁区’ 挽救患者生命!
时间就是生命!医院立即启动卒中救治绿色通道,神经外科医疗团队为吴先生进行了详细周密评估后,迅速制定精细的救治方案。
众所周知,普通的开颅手术已经复杂危险,而要在脑干这个“生命中枢”上动刀子,更是难上加难。一旦重要的脑神经、血管受到损伤,患者随时会在手术中死亡。
在详细说明手术治疗可能出现的风险和后果,取得家属的信任和同意后,由神经外科、麻醉科、放射科等科室通力协作,急诊全麻下行“立体定向颅内血肿穿刺引流术+脑室钻孔引流术”。手术顺利,术后患者逐渐恢复意识,右侧肢体可遵嘱活动,病情逐步平稳。

(术后复查CT:脑干血肿全部清除)
在积极治疗和精心的护理下,现吴先生已康复出院。
此次吴先生的成功救治,是他个人顽强意志与家人不言放弃的胜利,更是该院神经外科团队凭借精湛技术、多学科协作、先进平台和人文关怀创造的医学奇迹。这一成功案例极大地提振了广大脑干出血及类似重症患者的康复信心。
未来,我们将继续以精湛技术、专业团队和人文关怀,秉持“生命至上、精益求精”的信念,为更多患者驱散病痛阴霾,守护每一个宝贵的生命。
相关科普:
一、脑干出血有哪些症状?
脑干出血的症状因出血量、出血部位的不同,而有着较大的差异,主要症状有头疼、恶心、呕吐、意识障碍(昏迷)、肢体麻木、言语障碍、吞咽困难等。若出现这些症状,需立即就医,脑出血发病后6小时内干预可大幅提升生存率。
谨记:对于任何疑似脑干出血的症状,时间就是生命,立即就医最重要!
二、哪些人容易得脑干出血?
1、高血压患者
脑干出血的主要病因是高血压,尤其是长期血压控制不佳的患者。高血压会使脑内的小动脉变脆、形成微小的动脉瘤,在血压突然升高时极易破裂出血。
2、抗凝药物服用者
长期服用抗凝药(华法林等)或抗血小板药(阿司匹林等)的人,一旦出血不易凝固。
3、血液病患者
如白血病、血友病等。
4、不良生活习惯
长期吸烟、酗酒、熬夜、高盐饮食、情绪激动、过度劳累等。
5、其他危险因素
脑血管畸形如动脉瘤、动静脉畸形等,血管结构天生异常,容易破裂。
三、遇上脑干出血怎么办?
脑干大量出血(>5ml)时,患者很快进入意识障碍,甚至死亡,要尽早识别并在病发时给予相应处理。
●保持冷静,第一时间拨打120急救电话。
●尽量减少不必要的搬动,尤其避免头部剧烈晃动。让患者保持平卧、头部稍抬高,头偏向一侧,防止呕吐物堵塞呼吸道。
●若在等待120到来的过程中,患者出现心脏骤停,可进行心肺复苏。
●120急救医生到场后,简要的把患者的病史及发病情况进行告知,以便急救医生做好充足的准备,可以第一时间进行急救治疗。
湖南医聊特约作者:长沙泰和医院 神经外科 吕星
关注@湖南医聊,获取更多健康科普资讯!
(编辑YT)
来源: 长沙泰和医院 神经外科 吕星
科普中国公众号
科普中国微博

帮助
湖南医聊