你以为只有早高峰会堵车?错!你的心脏血管—冠状动脉,也可能因为“车流”(血液)太堵,导致“交通事故”(心肌缺血、心绞痛,甚至心梗)。这就是冠状动脉疾病(CAD),一种让心脏“喘不过气”的常见病。
更可怕的是,它常常悄无声息地来,等你发现时,可能已经“堵成停车场”了。
一、怎么知道心脏血管堵了?
别等胸口像被大象踩了才去医院。现代医学早就安排了一堆“侦探工具”,专门帮你查清楚心脏血管有没有“塞车”。
下面,我们就来认识一下这些“心脏侦探”:
1. 心电图(ECG)——心脏的“情绪日记”
原理:记录心脏电活动,看看有没有“短路”或“跳闸”。
优点:便宜、快速、无创,像测体温一样简单。
缺点:只能看到“当时”的情况,错过就查不到。
适合:初步筛查、体检、胸痛急诊。
2. 运动负荷试验(跑步机测试)——让心脏“跑个步”
原理:让你在跑步机上“狂奔”,看看心脏在“加班”时会不会“罢工”。
优点:能诱发潜在缺血,适合“平时没事,一动就痛”的人。
缺点:不适合腿脚不便或心脏已经“半残”的人。
提示:跑不动没关系,医生会让你“假装在跑”—用药物模拟运动状态。
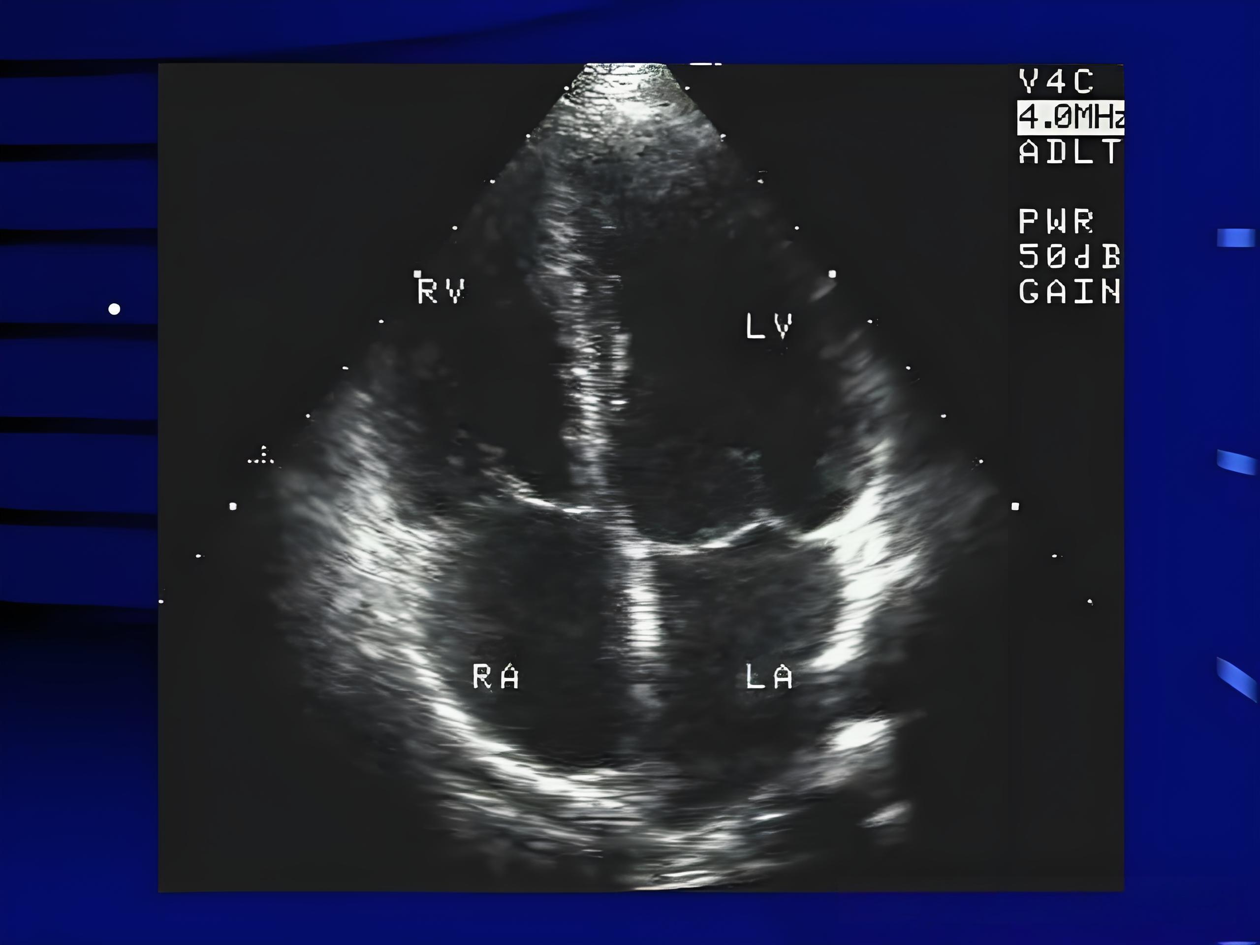
3. 心脏彩超(超声心动图)——给心脏拍个“写真”
原理:用超声波看看心脏结构和泵血功能。
优点:无创、无辐射,孕妇都能做。
缺点:看不到血管内部堵没堵,只能看“房子”有没有塌,不能看“水管”有没有堵。
4. 冠脉CTA(CT血管成像)——“高清摄像头”直击血管内部
原理:打碘造影剂+高速CT扫描,三维重建你的冠状动脉。
优点:无创、图像清晰,能看到血管堵了多少、堵在哪。
缺点:部分设备对心率要求高(心律不齐可能“糊片”),碘过敏者慎用。
适合:有症状但不想做造影的人,或体检发现“可疑堵点”者。
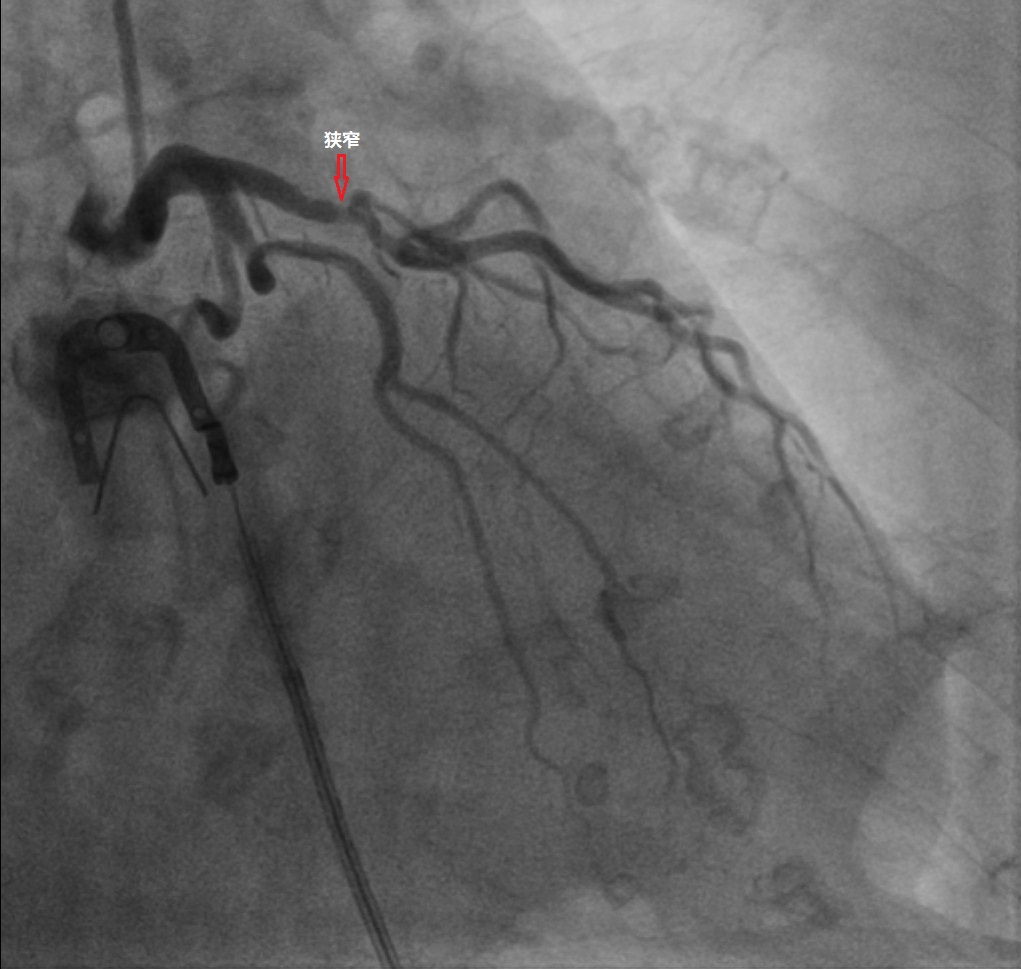
5. 冠状动脉造影(金标准)——“开灯查户口”
原理:导管从手腕/大腿插进去,直接把造影剂打进冠状动脉,实时拍片。
优点:最准确,能看到堵了多少、要不要放支架。
缺点:有创,需要住院,有少量风险(比如出血、造影剂肾病)。
适合:症状明显、CTA提示重度狭窄、准备做介入治疗的人。
6. 冠脉MRCA(磁共振冠脉成像)——“无辐射补位选手”
原理:用磁场+心电门控“拍照”,不打药也能看清冠脉走形和明显狭窄。
优点:无辐射、无碘、可反复查,对年轻人、孕妇、碘过敏或肾功能差的人很友好。
缺点:时间长、对心律/呼吸要求高,图像质量略逊CTA,目前多用于补充或特殊情况。
适合:想避开辐射/碘剂、术后随访、或CTA钙化太重看不清时,拿来“补个位”。
二、我该做哪个检查?
症状 | |
体检/轻微胸闷 | 心电图+心脏彩超或MRCA |
一动就胸痛 | 运动负荷试验 |
怀疑血管堵了 | 冠脉CTA或MRCA补位 |
症状明显/准备治疗 | 冠脉造影 |
注意:别自己乱点“检查菜单”,让医生根据你的症状、年龄、风险因素来决定。
三、哪些人该提前“查车”?
以下人群建议提前筛查,别等“心梗”来敲门:
- 男性 ≥ 45岁,女性 ≥ 55岁
- 有高血压、糖尿病、高血脂
- 吸烟、肥胖、久坐、压力大
- 家族里有“早早心梗”病史(<55岁)
四、结语:别让心脏“堵”了你的未来
冠状动脉疾病不是“老年专属”,它越来越年轻化、沉默化、致命化。但好消息是:只要早点查、早点治,它并不可怕。
所以,别再“心痛才后悔”,也别“百度看病吓个半死”。找个心内科医生,科学检查,理性对待,才是对自己心脏最大的温柔。
来源: 幽微之光
科普中国公众号
科普中国微博

帮助
幽微之光 