40岁的李女士近来日子过得格外煎熬。原本因肺结核在湖南省胸科医院内六科接受治疗的她,意外查出了子宫肌瘤。
这一病症带来的折磨远超想象:长期贫血让她面色苍白、浑身乏力,多个肌瘤对膀胱的压迫更让她频繁跑向厕所,尿频尿急的尴尬时刻打乱了她的生活节奏,连正常休息都成了奢望,生活质量一落千丈。
顽疾缠身盼生机,保宫诉求遇难题
对于治疗,李女士却满心顾虑。传统开刀手术的创口和风险让她望而却步,更重要的是,她始终怀揣着保留子宫的愿望。了解到李女士的困境与诉求后,内六科医生团队没有丝毫迟疑,第一时间联系了介入中心主任雷胜,希望能为她找到更合适的治疗方案。
当雷胜主任详细了解李女士的病情,并将成熟的子宫肌瘤介入栓塞治疗技术摆在她面前时,李女士的眼中瞬间燃起了希望的光芒。“不用开刀还能保住子宫?” 她反复确认,在得到肯定答复后,毫不犹豫地选择了这项治疗。

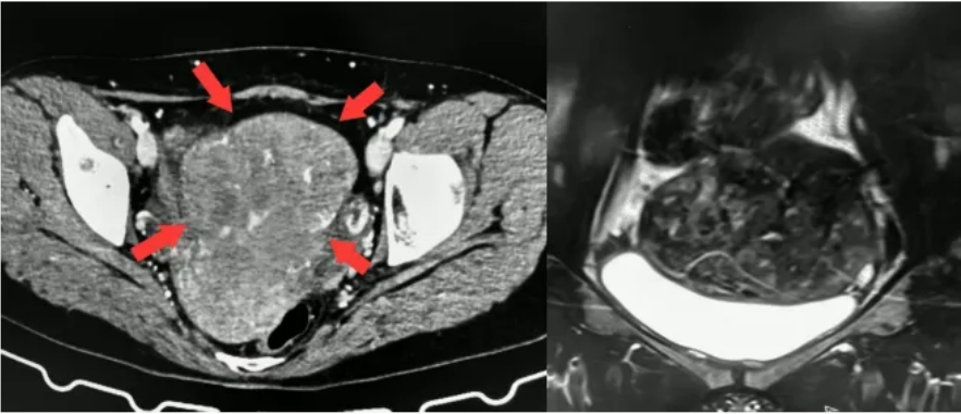
(▲盆腔CT及MRI,患者多发子宫肌瘤,膀胱压迫明显)
个性化治疗方案, 疗效立竿见影
为了确保治疗万无一失,介入科结合李女士的身体状况,量身定制了个性化的介入栓塞治疗方案。考虑到术后疼痛问题,他们还特意联系麻醉手术科张辉主任团队,为李女士制定了细致的围术期镇痛方案。
更贴心的是,得知李女士家人无法到场陪护,雷胜主任为了最大限度减少术后护理的不便、提升她的手术体验感,决定采用经右桡动脉穿刺入路 —— 这种方式术后无需卧床和下肢制动,李女士能自主完成日常活动,无需依赖他人照料。

(▲术中造影)
手术当天,一切都在有条不紊地进行。介入团队凭借精湛的技术,通过细细的导管,将特制的栓塞材料精准送入李女士的子宫肌瘤供血动脉,成功阻断了肌瘤的 “营养通道”。整个手术过程耗时不到一个小时。而在镇痛泵的保驾护航下,李女士全程没有感受到丝毫不适,术后更是立马就能自行下床活动,行动力丝毫未受影响。
术后第二天,雷胜主任来到病房查看恢复情况,李女士脸上洋溢着难以掩饰的喜悦,拉着雷胜主任的手激动地说:“真没想到,就从手上‘穿了一针’,困扰我这么久的大问题就解决了!太感谢你们了!”
介入栓塞巧治肌瘤,保宫护巢守护生机
谈及这项技术,雷胜主任介绍,介入栓塞治疗不仅能有效缩小肌瘤体积,帮助患者缓解症状,更关键的是能为女性保留子宫,守护住有生育意愿者的 “生命摇篮”。
即便对于后续仍需手术的患者,介入栓塞也能为其创造更好的手术条件,显著减少术中出血量。而经桡动脉入路的应用,更是大大提升了患者术后的舒适度,避免了长期卧床的不便。
同时,雷胜主任也贴心提醒广大女性朋友:子宫肌瘤是妇科常见疾病,并非 “洪水猛兽”。只要做到及时发现,并根据自身情况选择合适的治疗方法,大多数患者都能收获良好的治疗效果。
他建议女性朋友们在日常生活中,要保持健康的生活习惯和积极乐观的心态,定期进行妇科检查,让潜在的妇科疾病无处遁形,为自身健康筑起坚实的 “防护墙”。
湖南医聊特约作者:湖南省胸科医院 谢幸芷 陈亚男
关注@湖南医聊,获取更多健康科普资讯!
(编辑YT)
来源: 湖南省胸科医院 谢幸芷 陈亚男
科普中国公众号
科普中国微博

帮助
湖南医聊