色素痣作为人类皮肤最常见的良性肿瘤,其形态、大小、颜色和生长部位千差万别。医学上根据其发生时间、病理结构、外观形态等不同,可分为多种类型,每种类型都有其特点。了解这些分类和特点,能帮助我们更好地认识身上的 “小斑点”。
按发生时间划分:先天性与获得性色素痣
这是最直观的分类方式,主要以出生前后为界限。
出生时即存在的为先天性色素痣,其发生率约为 1%。这类痣较后天获得性痣相对易恶变,将在下期作为一个专题详细介绍。
出生后随着年龄增长逐渐出现的称获得性色素痣,多见于儿童和青少年时期, 30 岁后基本不再出现新的色素痣,上期已较详细地介绍过。
按病理结构划分:交界痣、皮内痣与混合痣
这种分类基于病理切片上黑素细胞在皮肤中的分布层次,是病理诊断中通用的标准名称。
交界痣的黑素细胞聚集在表皮与真皮的交界处(即 皮肤的“基底膜带”之上),因此得名。临床特点为黑色或深褐色的斑点、小斑疹,边界清晰,色素均匀。初始可能针尖大小,渐渐扩大隆起,过渡成下面要讲的混合痣、皮内痣。

交界痣
皮内痣的黑素细胞完全位于真皮层内,是成年人最常见的色素痣类型。其典型特点为半球形隆起的丘疹或结节,颜色多为黑色、褐色、棕色或肤色,表面光滑,常见于头面部和躯干。

皮内痣
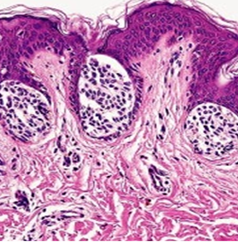
混合痣是交界痣与皮内痣的过渡,兼具交界痣和皮内痣的特点,黑素细胞既分布在表皮与真皮交界处,又深入真皮层内(图3)。其外观多为略微隆起的斑丘疹,颜色介于交界痣和皮内痣之间,可呈褐色至黑色,大小中等。

混合痣
头面部及躯干四肢的交界痣通常小于3mm,一般出于美观的需求可用激光等去除,很少行病理检查。因足底的色素痣不易用激光去除干净,另外有色人种的黑色素瘤以肢端型为主,临床上常手术切除,所以交界痣的病理标本基本上来自足底。一般认为交界痣的位置较浅,易受到摩擦或刺激,相对容易发生恶变。事实上肢端黑色素瘤出现黑斑的时间通常是30岁以后,即一发生即为黑色素瘤,很少由年轻时的色素痣因长期受摩擦恶变形成。
先天性色素痣病理改变与上述获得性色素痣相同,也分为交界痣、皮内痣与混合痣,不同的是交界痣可为大的斑片,另外痣细胞常累及毛囊、汗腺等皮肤附属器。
特殊类型的色素痣
除了上述常见类型,还有一些形态特殊的色素痣,容易引起关注。
晕痣:又称离心性后天性白斑,其特点是中央有一个色素痣,周围环绕着一圈白色的皮肤,如同“痣周围戴了一圈白环” (图4)。晕痣多见于青少年,好发于面颈、躯干,部分患者可能同时伴有白癜风。部分晕痣可能与黑色素瘤相关,将待以后做专题介绍。

晕痣
蓝痣:因颜色呈蓝色或蓝黑色而得名(图5),其黑素细胞位于真皮深层,由于光线折射原理呈现出蓝色。蓝痣多为较小的丘疹或结节,质地较硬,边界清楚,常见于面部、手背和足背。普通蓝痣直径通常小于 1 厘米,恶变概率极低;但少数 “细胞性蓝痣” 体积较大,可能存在一定恶变风险,需谨慎观察。

蓝痣
Spitz 痣(斯皮茨痣):主要见于儿童和青少年,常表现为粉红色、红色或棕黑色的丘疹或结节(图6),表面光滑,生长较快,容易被误认为黑色素瘤。但 Spitz 痣本质上是良性的,多数情况下无需特殊处理,部分与黑色素瘤相关,也将作专题介绍。

Spitz 痣(斯皮茨痣)
总结
色素痣的类型多样,每种类型都有其独特的发生时间、病理基础和外观特点。无论那一型色素痣,大多数都是良性的,不会对健康造成威胁。了解这些类型和特点,有助于我们更科学地看待身上的痣,区分正常与异常,避免不必要的焦虑。当发现色素痣出现异常变化时,不乱处理,及时就医检查才是最稳妥的做法。
文章来源:中国抗癌协会黑色素瘤专委会主任委员、西京医院皮肤科高天文教授
来源: 中国抗癌协会科普平台
科普中国公众号
科普中国微博

帮助
中国抗癌协会科普平台 