牙缝变大,吃东西容易塞牙,牙龈红肿出血,牙齿松动,甚至自行脱落,你可能是患上牙周炎了!有人会说牙齿的问题不是什么大事儿,不用管。口腔医生听了直摇头,看来牙周炎的科普还是任重而道远啊,事实没有大家想的这样简单!

口腔里积存的大量细菌和微生物是造成牙周炎的罪魁祸首,平时口腔清洁不到位,口腔卫生糟糕的人群更容易罹患牙周炎。而这些有害的细菌十分狡猾,不会乖乖地停留在我们的口中,而是随着我们牙龈里流动的血液渗透进我们全身的循环系统,搭乘血液循环这辆“顺风车”入侵全身各个脏器,释放致病的毒素,在我们的身体里到处搞破坏!
01
牙周炎与糖尿病的“相爱相杀”
糖尿病与牙周炎相互促进,互为因果,一方面,糖尿病病人的血液高糖环境会降低自身抵抗力,有利牙周细菌的繁殖,糖尿病患者的牙周炎症较普通人更为糟糕,常常出现牙龈流脓,牙龈反复“长包”,牙周炎治疗难度增加,另一方面,牙周炎引发的全身慢性炎症会加剧胰岛素抵抗,从而升高血糖,在很多高龄患者中,牙周炎和糖尿病往往同时存在。
02
心脑血管疾病的“幕后推手”
口腔中的细菌悄悄从牙龈的破损处入侵血液系统,炎症反应会导致血管内皮损伤,血栓形成和动脉粥样硬化。因此,牙周炎患者发生心肌梗死、脑卒中、感染性心内膜炎的风险显著增加。
03
当心牙周炎症让胎儿“遭罪”
孕妈妈如果在怀孕前未治疗和控制牙周炎症,在怀孕期间,激素变化使牙周炎病情加重,口腔细菌可能通过血液传播至胎盘,将“毒手”伸至胎儿,诱发炎症因子释放,可能导致孩子早产,或增加低体重儿的风险。
04
胃不好,可能是牙周炎的“锅”
口腔作为消化道的开口,是每一口食物的“必经之路”,幽门螺杆菌(Hp)是牙周病病人牙垢里的常驻细菌,在牙周炎病人的牙菌斑里,幽门螺杆菌检出率比健康人高3倍。而幽门螺杆菌又常与胃溃疡、慢性胃炎和胃癌作伴。请想象,每一口食物都混合着幽门螺杆菌,进入胃肠道,吸附在胃黏膜上,当身体抵抗力下降时,胃炎、胃溃疡等病痛就找上门来。
除以上所述,呼吸系统疾病(肺炎,慢性阻塞性肺病),慢性肾病,类风湿关节炎,老年痴呆等也在牙周炎的“射程”范围内。

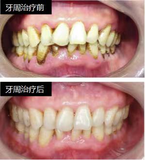
小口腔,大学问。保护牙周健康不仅仅是保护牙齿,更是为全身健康保驾护航。若出现牙龈出血、牙齿松动等症状时,要及时求助口腔医生,进行系统的牙周治疗,不要让局部炎症变成全身疾病的“导火索”。

来源: 泉州一院
科普中国公众号
科普中国微博

帮助