近日,益阳市第三人民医院多学科团队凭借高效协作与精准微创技术,成功救治一名合并分支血管受累的复杂主动脉夹层患者,再次彰显医院在危急大血管疾病救治领域的综合实力。
47岁的晏女士因突发胸背部“撕裂样”剧痛2小时被紧急送至该院。急诊科立即启动危重症救治流程,经主动脉CTA检查,确诊为Stanford B型主动脉夹层。
该病如同体内的“不定时炸弹”,一旦破裂会导致致命性大出血,抢救窗口极窄。医院迅速开启主动脉夹层绿色通道,将患者转入ICU实施抢救。

【术前影像资料】
ICU与血管外科团队共同制定治疗方案,予以规范镇痛、降压及心率控制。尽管患者疼痛有所缓解,但血压仍难以稳定。发病第三天复查主动脉CTA发现,夹层假腔已累及肠系膜上动脉——该血管一旦压迫或堵塞,会引发急性肠缺血、坏死,严重威胁生命。
面对急剧升级的病情,医院第一时间启动多学科协作(MDT)机制,血管外科、心血管内科、呼吸内科、内分泌科、风湿免疫科、麻醉科、ICU、放射科等多学科专家迅速集结,对患者进行全面会诊评估后一致判定其具备早期手术指征,并确定“全麻下胸主动脉覆膜支架腔内修复术”微创治疗方案。
与家属充分沟通手术的必要性及风险程度后,为其采用微创介入治疗。手术仅历时1小时,体表留下的切口不足1厘米。

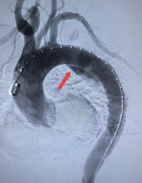
【术中造影】

【放支架后实时】
术后患者血压控制显著改善;一周后复查显示支架定位精准、无移位无内漏,原先受累的肠系膜上动脉血流恢复通畅;术后第八天,患者康复情况良好,顺利出院,并将接受长期随访与血压管理。

【术后复查】
该院血管外科何全斌副主任提醒,高血压是主动脉夹层的首要危险因素,高血压患者需严格遵医嘱服药、控制血压;如突发“胸背部撕裂样剧痛”,务必立即前往具备急危重症救治能力的医院就诊,争取黄金抢救时间。
湖南医聊特约作者:益阳市第三人民医院 何全斌 张佳
关注@湖南医聊,获取更多健康科普资讯!
(编辑YT)
来源: 益阳市第三人民医院 何全斌 张佳
科普中国公众号
科普中国微博

帮助
湖南医聊