清晨的沩山云雾缭绕,一场突如其来的危机打破了宁静,2025年7月29日,来自株洲的陈大爷突然出现剧烈头痛、左侧肢体瘫痪,随后陷入昏迷、大小便失禁,家人紧急拨打120求助,一场与时间赛跑的生命救援就此展开。
分秒必争!打通生命“堵”路
“时间就是大脑!”宁乡市中医医院卒中中心团队接收到医共体单位信息后,立即启动卒中救治应急响应。线上,通过医院卒中中心信息共享平台,陈大爷的病情实时传输至院内,线下,急诊科、神经外科、放射医学科、手术室等多学科团队提前介入,同步推进院前会诊及救治准备工作。
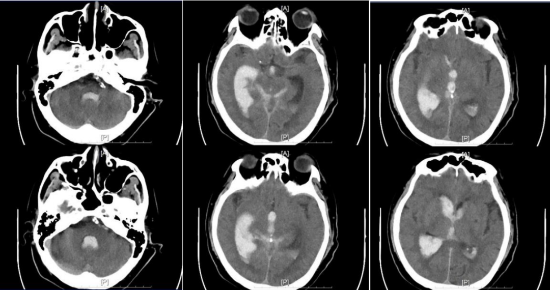
9时37分,救护车呼啸而至。此时,卒中绿色通道已全面开启,医护团队分工协作,同步完成生命体征监测、静脉通路建立、抽血送检等工作;放射科优先安排检查,头部CT快速明确诊断为"脑室系统出血、蛛网膜下腔出血伴梗阻性脑积水";CTA血管造影进一步发现"多发大脑动脉狭窄、闭塞"。整个诊断过程如行云流水,环环相扣。

▲头部CT

▲CTA(血管造影)
诊断明确后,患者被紧急送入手术室。神经外科团队立即行急诊手术清除血肿、解除梗阻。从入院到手术,每一个环节都实现了“零等待”,为患者争取了宝贵的救治时间。
术后康复中心联合脑病科早期介入,采用中西医结合康复方案,促进神经功能恢复。
令人惊喜的是,陈大爷不仅很快能够下床活动,甚至重拾最爱的八段锦锻炼,如今他已康复回家,重新找回了谈笑风生的退休生活。
脑出血,这一夺命的 “无声杀手”到底是什么?
脑出血又称为出血性脑卒中,是一种严重的急性脑血管疾病,是指非外伤性脑实质内血管破裂,血液直接进入脑组织或脑室系统导致脑损伤的急症。
把大脑想成一坨嫩豆腐,里面缠着很多“小水管”(血管),有一天,某根小水管突然“啪”破裂,水(血)直接喷进豆腐里,血一压,豆腐就变形、压坏,这就是:脑出血,也叫“出血性脑卒中”,简单说:脑袋里面“爆血管”了。占所有“中风”里大约1/5~1/4,就算保住生命,很多人也会落下偏瘫、说不清、走不稳等后遗症。
哪些症状是脑出血的危险信号?
脑出血的常见病因主要为高血压和动脉硬化,动脉瘤、血管畸形破裂等,血管病变往往与高血压、糖尿病、高血脂有关,超重、酗酒、吸烟等不良生活方式也可增加脑出血的风险。
突发剧烈头痛 + 一侧肢体无力/说话不清是脑出血典型的“红色警报”,一旦出现这些症状,立刻拨打120,越快送医,越多生机。
如何识别脑卒中?
中风120,帮助快速识别脑卒中。
BE FAST原则,尽快识别脑卒中。
湖南医聊特约作者:宁乡市中医医院 脑病(神经医学科) 刘畅
关注@湖南医聊,获取更多健康科普资讯!
(编辑YT)
来源: 宁乡市中医医院 脑病(神经医学科) 刘畅
科普中国公众号
科普中国微博

帮助
湖南医聊