免疫系统每天都在保护人体,持续抵御数十亿病原体的侵袭,让我们免受其害。如果没有免疫系统,光是刷牙这一日常行为,就可能让足以致命的细菌数量入侵身体。然而,并非每个人的免疫系统都能够正常运作。有时,原本用于保护身体的细胞会受到误导,转向攻击自身组织。这种现象被称为自身免疫反应,会引发多种症状和疾病。
虽然医学界已发现80余种自身免疫疾病,但诊断这些疾病的过程往往耗时费力。医生需要进行多种检测,逐一排除其他可能性才能确诊。虽然现有的治疗手段无法治愈这些疾病,但可减缓机体的自身免疫反应,改善患者生活质量。即在免疫系统发动攻击时,将痛苦和炎症反应控制在最低程度。此外,养成健康的生活习惯(如规律运动、均衡饮食)也有助于缓解症状和减轻自身免疫疾病对患者的影响。
虽然这些疾病都是免疫系统的异常反应导致的,但是影响范围各不相同。有些病症只影响身体特定部位,有些则可能波及全身。部分自身免疫疾病可能导致更严重的健康问题。最常见的是1型糖尿病,该病患者的免疫系统会攻击胰脏中分泌胰岛素的细胞。胰岛素至关重要,它能帮助人体利用食物中的糖分以获取能量,并将血糖维持在安全水平。由于患者体内无法自行产生胰岛素,1型糖尿病患者需通过注射补充。
某些罕见自身免疫疾病的诊断尤为困难。以抗磷脂综合征为例,患者常出现反复的血栓形成,包括静脉和动脉血栓。在病情最严重时,患者可能在数小时内出现多发性血栓,增加全身器官衰竭的风险。由于影响范围广泛,该病症状多样且与其他疾病相似,使得诊断极具挑战性。据统计,自1992年首次报道以来,全球仅确诊约300例。至今,研究人员仍在探索其发病机制,特别是为何受攻击的细胞会触发血栓形成。
在健康成年人体内,每毫升血液中含有4000个~10000个白细胞,当细菌等病原体入侵时,其抗原与人体自身抗原不同,白细胞会识别并攻击它们,同时产生抗体。这种Y形蛋白质结构的抗体在正常免疫和自身免疫反应中都会大量产生。通过与特定抗原结合(如细胞表面的白细胞抗原有助于机体识别自身细胞),抗体能够标记需要清除的外来或异常细胞,从而帮助机体应对潜在威胁。
在健康人体内,组织细胞处于健康状态,白细胞能够准确识别这些细胞并保持免疫耐受,所以不会引发不必要的免疫反应。当发生自身免疫疾病时,白细胞的识别功能出现障碍,无法区分有害细胞的抗原和身体本身的抗原,会不分敌我地制造抗体。在自身免疫疾病中,抗体错误地附着在自身组织的抗原上,此时细胞毒性T细胞(又称杀伤性T细胞)会攻击这些被标记的细胞,并释放如穿孔素、颗粒酶等杀死细胞的分子。虽然此反应在正常情况下有利于清除被感染的有害细胞,但对自身免疫疾病患者而言,这种抗体反应不再是保护机制,反而导致正常细胞受损,进而造成组织损伤,最终引发持续的自身免疫反应。
自身免疫疾病可攻击不同部位,最常影响关节、皮肤和内脏器官。部分疾病的损害范围更广,可影响全身多个系统。
虽然自身免疫疾病种类众多,但许多患者都出现了这些早期症状
疲惫
这是最常见的首发症状之一。由于多数自身免疫疾病会累及中枢神经系统,患者往往表现出持续性的疲倦感,休息后也难以缓解。

关节痛
在类风湿性关节炎、系统性红斑狼疮等疾病中,免疫系统错误攻击关节滑膜,引发炎症反应,导致关节肿胀、晨僵和活动受限。

皮肤问题
皮肤是重要的疾病观察窗口。例如,跨越鼻梁和双颊的蝶形红斑是系统性红斑狼疮的典型表现。

腹痛
胃部和腹部肌肉都可能衰退,也包括胃部不适、腹胀、腹泻或便秘等。这些症状可能源于消化道黏膜炎症或肌肉功能异常,常伴有食物不耐受现象。

发炎
发炎也是最初的症状之一表现为局部红肿热痛,这是免疫系统过度激活的标志。长期慢性炎症可导致组织损伤,因此抗感染治疗是重要的干预手段。

自身免疫疾病会发生在哪些部位?
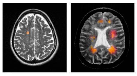
多发性硬化症
多发性硬化症(简称MS)会影响中枢神经系统(脑和脊髓),导致行动不便等问题。 MS随时可能发生,病因是免疫系统攻击神经的髓鞘。在较严重的病例中,神经纤维会严重受损,影响神经信号的传导速度。

从磁振造影扫描可见多发性硬化症造成的脑萎缩程度
湿疹
湿疹是常见的皮肤症状,会导致皮肤干燥瘙痒,现被视为自身免疫疾病的一种。当患者皮肤接触致敏物质时,免疫系统便会引发过度反应,引起皮肤发疹。湿疹患者通常会避免已知的过敏原,以防免疫系统对这类刺激物造成这类伤害。
红斑狼疮图片来源:《How it works》杂志
在不同人身上,红斑狼疮攻击的身体部位也各异,但通常会引起关节、皮肤和心脏等器官发炎。由于红斑狼疮的临床表现各异,且这种疾病会表现出其他自身免疫疾病的症状,可能要花上数年才能诊断出来。
葛瑞夫兹氏病
甲状腺是位于脖子前方的蝶状腺体,腺体分泌的激素调节机体代谢。葛瑞夫兹氏病发作时,免疫系统会刺激甲状腺,导致甲状腺分泌过多的激素,造成患者心悸、疲惫和怕热。
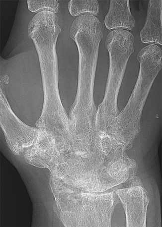
类风湿性关节炎
类风湿性关节炎是免疫系统攻击关节滑膜引起的。当关节发炎时,免疫系统通常会采取此应对方式。但就类风湿性关节炎而言,这会导致本该活动自如的部位产生剧痛,并变僵硬。

从患者的 X 光片可看出患者的腕骨融合在一起。若长期罹患类风湿性关节炎就可能出现此症状。
克隆氏症
患者常会感到严重程度不一的腹部不适,伴有腹泻、疲惫和体重减轻的症状。克隆氏症是发炎性肠道疾病,会令消化道出问题,通常是小肠或结肠。炎症反应会引发腹痛和消化道损伤。
当医生发现患者身上出现自身免疫疾病的症状,可能会先检测患者的血液中是否有抗核抗体(简称ANA)。抗体是免疫系统所制造的蛋白质,负责抵御病毒和细菌等威胁。ANA则是抗体的次类别,专门对付细胞核(即细胞的核心)。若血液样本中出现ANA,此人可能会患有自身免疫疾病。
ANA检测有助于诊断疾病,通过观察荧光标记的抗体在细胞核中的分布模式可推断出患者罹患哪种疾病。检测时,抗体会以荧光染料标记,实验室人员便能借此观察其形态和分布密度。有些人即便身体健康,ANA检测结果也可能呈阳性,需要更进一步的检测。

均质型
表现为细胞核均匀着色,提示ANA靶向整个核染色质。这通常代表患者得了全身性狼疮、混合性结缔组织疾病或儿童关节炎。

斑点型
特征为核内颗粒状荧光,ANA稀疏分布在细胞核中,专门攻击特定的细胞核蛋白质。常见于狼疮、皮肌炎和硬皮症等皮肤病。

核周型
荧光出现在细胞核边缘。抗体附着在外层的蛋白质上,出现上述检测结果的患者绝大部分被诊断为全身性狼疮。

核仁型
核仁是ANA的核心标靶。聚在一块的抗体为多发性肌炎(会令上臂和腿肌发炎)患者的常见检测结果。

着丝点型
更为复杂的着丝点型,其荧光分布视细胞所处的阶段而异。若细胞未分裂,荧光呈零星分散。当细胞要分裂时,抗体则和去氧核糖核酸(简称DNA)分子一起聚在细胞的中心和其两端。
自身免疫疾病的发生机制与免疫系统的自身耐受原则相违背,这让患者每天都得与自己的身体搏斗。虽然任何人都有可能罹病,但在女性中较常见,有些病例为家族遗传。全球有数百万人深受免疫系统失常所苦,且人数持续攀升,这些复杂多元的疾病仍有不少谜团待厘清。
文中图片均来源于《How it works》杂志
本文为科普中国·创作培育计划扶持作品
出品丨科普中国科普部
监制丨中国科学技术出版社有限公司、北京中科星河文化传媒有限公司
作者:《how it works》科普团队
审核:孙轶飞 河北医科大学医学教育史研究室主任 中华医学会医史分会委员
来源: 科普中国创作培育计划
内容资源由项目单位提供
科普中国公众号
科普中国微博

帮助
科普中国创作培育计划 