肺出血-肾炎综合征又称抗基膜性肾小球肾炎、Goodpasture综合征或Goodpasture病。它是由抗基膜抗体导致的肾小球和肺泡壁基膜的严重损伤,临床表现为肺出血、急进性肾小球肾炎和血清抗肾小球基膜(GBM)抗体阳性三联征。多数患者病情进展迅速,预后凶险。Goodpasture于1919年首先作了在一次暴发性流感中的肾小球损伤合并肺出血的报道。疾病概述

肺出血一肾炎综合征(Goodpasturesyndrome),在1919年由G00dpasture首先描述而得名。为病因不明的少见的自身免疫性疾病,其表现为抗肾小球基膜抗体所致的肺出血和进行性的肾小球肾炎。本病在欧洲和美国肾穿刺患者中仅占1%~2%、在英国为百万分之一,中国的发病率明显低于欧美国家。其特征为血内有循环抗肾小球基膜抗体及肾小球基膜有IgG和补体呈线样沉积。本病的特征为咯血、肺部浸润、肾小球肾炎、血和累及的组织中有抗基底膜抗体。

肺出血-肾炎综合征是一种少见的自身免疫性疾病。以肺泡内出血和肾小球局灶性增生及球囊上皮新月体形成为主要病理变化。免疫荧光检查:在肺泡和肾小管基底膜上可见到IgG和C3呈线样沉积。血清中存在高滴度的与肺泡和肾小球基底膜反应的抗基底膜抗体。本病属于第Ⅱ型变态反应。

病因学

肺出血-肾炎综合征(Goodpasturessyndrome)可能系病毒感染和/或吸入某些化学性物质引起原发性肺损害。由于肺泡壁毛细血管基膜和肾小球基底膜存在交叉反应抗原,故可以引起继发性肾损伤。本病的特征为咯血、肺部浸润、肾小球肾炎、血和累及的组织中有抗基底膜抗体。

明确的病因尚未证实但多推测与感染特别是病毒感染有关。另有报告得病前曾有接触汽油、碳氢(烃)化合物史故认为这些化学物质和/或病毒可能是致病因子。

公认肾脏发病原理为抗基底膜抗体型肾炎的免疫反应过程由于某些发病因素原发性损伤肺泡间隔和肺毛细血管基膜,后者刺激机体产生抗肺基膜抗体,在补体等作用下引起肺泡一系列免疫反应由于肺泡壁基膜和肾小球基底膜间存在交叉抗原,故内源性抗肺基膜抗体又能与肾小球基底膜起免疫反应,损伤肾小球

肺表面弥漫性出血切面可见水肿和陈旧的出血。镜检见肺泡内出血,肺泡腔内常有吞噬含铁血黄素的吞噬细胞局灶性肺泡纤维组织增殖。免疫荧光检查显示肺泡间隔和肺毛细血管基膜有免疫球蛋白和C3呈线状沉积,肾脏病理改变似急进性肾小球肾炎此外,早期肾小球毛细血管呈局灶和节段性坏死,后期肾小球周围有淋巴细胞浸润为一特点。

疾病检查

1、一般检查

通常应包括血常规,血液生化,肾功能,动脉血气分析,尿常规等。2、血清学检查 初选试验可包括抗核抗体(ANA)谱,抗双链(ds)DNA,抗中性粒细胞胞浆抗体(ANCA),抗基底膜(GBM)抗体和抗磷脂抗体。SLE患者可有高滴度ANA和dsDNA,而补体水平降低。Goodpasture综合征的循环抗GBM抗体阳性。ANCA包括核周型(P-ANCA)和细胞浆型两种,前者为针对髓过氧化物酶(MPO),弹力酶和乳铁蛋白的抗体,后者针对的抗原为分布在细胞浆的丝氨酸蛋白3(PR3),即C-ANCA。显微镜下多动脉炎、Churg-Strauss血管炎和寡免疫性肾小球肾炎(PIGN)可出现P-ANCA阳性。

3、组织学检查活检部位的选择取决于具体疾病,如诊断韦氏肉芽肿,可进行鼻或鼻窦活检,侵入性小诊断价值又高。

4、肾活检 除了常规光镜检查外,通常需要进行直接免疫荧光染色。免疫介导的肺泡出血综合征同时有肾受累时,则肾病理为坏死性肾小球肾炎,组织学改变的程度不同,从轻的系膜增厚至严重的新月体性肾小球肾炎,肾动脉血管炎则很少。各种疾病的免疫荧光染色有不同表现,抗基底膜抗体(ABMA)病沿肾小球基底膜有线样沉积,胶原血管病及特发性免疫复合物介导的肾小球肾炎呈颗粒状沉积,而PIGN的免疫荧光检测为阴性,联合血清学ANCA、ABMA、ANA等检测能够提高对诊断、治疗和预后的判断意义。

5、气管镜检查肺泡出血患者可能没有明显咯血。气管镜和肺泡灌洗(BAL)检查有助确诊肺泡出血,排除感染和气道局部病变引起的出血,从而帮助鉴别诊断和寻找病因。根据BAL的回收液血性程度逐渐增加,可肯定为活动性出血,此外,显微镜检查发现含铁血黄素细胞也具有肯定肺泡出血的价值。

6、肺活检经支气管肺活检对于DAH的诊断价值有限,为明确病因需开胸肺活检。肺活检仅适用于经常规检查仍未明确病因,且病情相对稳定,能够耐受单侧肺萎陷的患者。严重肺出血和呼衰病人不适宜开胸肺活检。肺活检术后可伴发感染和气胸。

疾病诊断

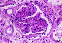
肺出血-肾炎综合征--切片

⒈肺出血-肾炎综合征的诊断关键是,确定机体有无抗GBM-肺泡基膜自身体液免疫过程,存在该过程的特征性表现:

⑴血清抗GBM抗体阳性。⑵肺泡及肾脏基膜有IgG呈线样沉积

⒉典型患者的诊断完全符合下列三联征

⑴肺出血,肺泡基膜IgG呈线样沉积。

⑵急进性肾炎综合征肾脏大量新月体形成(毛细血管外增生性肾炎)可伴毛细血管坏死GBM有IgG呈线样沉积

⑶血清抗GBM抗体阳性

⒊肺出血-肾炎综合征诊断的注意事项

⑴有些患者肺和(或)肾脏的表现轻微或者两个脏器不同步发生病变。有时抗基膜自身免疫过程只发生于肺或肾脏中的任一脏器。

⑵抗GBM肾炎与其他类型的肾小球疾病(主要是膜性肾病)之间有时可相互转变(见临床表现)。

⑶偶尔自身免疫功能紊乱会产生非特异性基膜抗体,还可引起肺肾以外的器官损害

⑷个别情况下如自身免疫高度活动期,大量抗GBM抗体沉积可发生一过性血清抗GBM抗体阴性。有报道1例有典型的肺出血-肾炎综合征肾脏临床与病理表现的患者同时伴有肺部损害血清抗GBM抗体阴性,他认为这可能是由于高度活动期间抗体在靶器官内大量沉积所致。

⑸肺出血-肾炎综合征与血管炎并存。Rydel等报道1例18岁的男性肺出血-肾炎综合征患者,在进行血浆置换及使用细胞毒性药物过程中发生难治性癫痫MRI显示多发性腔隙性脑梗死(MultipleLacunarInfarcts),脑脊髓膜活检显示血管炎但血清ANCA持续阴性。给予大剂量皮质激素及细胞毒性药物后再使用抗癫痫药可症状控制。Kalluri等报道1例结节性肺部浸润与急性肾衰竭患者c-ANCA阳性肾脏组织检查显示新月体性及坏死性肾炎IgG及C3在肾小球内线样沉积,血清有高滴度抗GBM-IgG。

疾病鉴别

肺出血-肾炎综合征的主要表现是肺肾综合征及急进性肾炎,所以本病需与以这两种表现为主的多种疾病相鉴别。

⒈肺肾综合征可引起肺肾综合征的疾病除了肺出血-肾炎综合征之外还有多种如ANCA相关性系统性血管炎、SLE及感染引起的肾炎此外肾静脉血栓所致的肺栓塞、终末期肾衰所致的充血性心力衰竭也可发生咯血。Ent等报道2例儿童患者,免疫复合物沉积同时引起肺出血与肾小球肾炎Hernandez报道1例特发性细支气管闭塞(IdiopathicBronchiolitisObliterans)患者发生了急进性肾炎组织学检查在肺和肾内都发生了大量IgA沉积。

免疫复合物肾炎时肾小球毛细血管有颗粒样沉积,电镜检查可见电子致密物,血清抗GBM抗体阴性而循环免疫复合物可阳性与肺出血-肾炎综合征区别不难。

⒉狼疮性肾炎此病患者表现急进性肾炎时可出现急性肾功能衰竭伴肺出血症状易与肺出血-肾炎综合征混淆。但该病多见年青女性,一般有皮肤、关节等全身多系统损害血清免疫学检查可助诊断

⒊小血管炎肾炎此类疾病可有肺出血表现而近似肺出血-肾炎综合征。但该病多见于50~70岁中老年人,有乏力低热体重下降等全身症状明显血抗中性粒细胞胞质抗体(antibodiestoneutrophileytoplasmicantigensANCA)阳性。其中韦格纳肉芽肿者可呈间质性炎症,两者偶可同时存在。

在许多血管炎中,小血管炎有两种即Wegener肉芽肿及镜下多血管炎这两种小血管炎其靶抗原分别为蛋白酶3(Proteinase3)及髓过氧化酶(Myeloperoxidase,相应的抗体是引起小血管损害的原罪抗原,对小血管炎具有重要诊断价值。在Wegener肉芽肿及镜下多血管炎时,上下呼吸道及肾脏最常受累Wegener肉芽肿的形态学改变多种多样,在口咽鼻旁窦气管等处主要表现为溃疡性变化,而肉芽肿样变可有可无所以,组织学检查尤其是小块活组织检查时,不能轻易排除Wegener肉芽肿之诊断Wegener肉芽肿及镜下多血管炎在肾脏可表现为局灶性节段性坏死性肾小球肾炎,常伴有新月体形成肾小球内免疫沉积罕见。

⒋急性肾炎伴左心衰竭此病可有血痰及呼吸困难表现与肺出血-肾炎综合征类似,但该病多见于青少年患者。多有链球菌感染史常因严重高血压水钠潴留而产生水肿、充血性心力衰竭肾活体病理检查可资鉴别。

⒌急进性肾炎急进性肾炎(新月体性肾炎)的免疫发病机制除了抗GBM肾炎外,免疫复合物肾炎及细胞免疫性血管炎也可引起典型的新月体肾炎及急进性肾衰竭临床鉴别要点(表1)。6.特发性肺含铁血黄素沉着症此病的咯血痰中含铁血黄素细胞及肺部X线表现都极似肺出血-肾炎综合征。但此病多发生于16岁以下的青少年,病情进展缓慢,预后好肺及肾活检可助鉴别

疾病表现

发病前不少患者有呼吸道感染,以后有反复咯血,大多数出现在肾脏病变之前,长者数年(最长可达12年),短者数月,少数则在肾炎后发生。X线检查见两肺有弥漫性或结节状阴影,自肺门向周围扩散,肺尖及近膈肌处清晰,常一侧较重,有的无咯血史,但经痰含铁血黄素及胸片检查证实有出血。在咯血时肺弥散功能减退,出现低氧血症,贫血常见。

肾脏表现:每例均有蛋白尿、红细胞及管型,可有肉眼血尿。肾功能减退,然而进展速度不一,有的患者可在1~2日内呈现急性肾功能衰竭,大多数在数周至数月内发展至尿毒症,少数演变较慢,有稳定在原水平或缓解以后又复发者。血清学检查:抗肾小球基膜抗体效价均增高而其他自身抗体均阴性,个别病例有免疫球蛋白增高,抗基膜抗体浓度不一定和肺、肾病变的严重度成比例。

根据反复咯血、血尿、X线征象及痰中含铁血黄素细胞阳性即可作出诊断,单纯有肺部表现则要和特发性肺含铁血黄素沉着症鉴别。候肾脏症状出现后诊断较易,但要和坏死性血管炎有肺及肾表现者、尿毒症伴咯血者鉴别。

本病可发生于任何年龄但多为20~30岁的男性青年患者一般表现除非合并感冒多无发热常有疲乏无力体重下降等其临床特征性表现为三联征:肺出血、急进性肾小球肾炎和血清抗GBM抗体阳性。

1.肺出血

典型患者除非合并感染一般无发热肺部最重要的表现为咯血约49%的患者咯血为首发症状从咯血丝至大咯血不等,重症(尤其吸烟者)大咯血不止甚至窒息死亡患者多伴气促咳嗽气喘呼吸困难,有时有胸痛症状,肺部叩诊呈浊音,听诊可闻湿啰音肺CO摄取率(Kco)为早期而敏感的肺功能改变指示,在肾衰及肺水肿患者该值下降,而肺出血时此值上升。

一般肺部症状可先于肾脏表现数天数周、或数年出现肺部出血可轻可重,也可严重至危及生命。大量或持续出血可发生缺铁性贫血。一旦出现胸痛应注意排除系统性红斑狼疮血管炎或肺栓塞等病变肺部X线显示弥散性点状浸润阴影从肺门向外周散射,肺尖常清晰。咯血和肺部浸润是肺部病变的特征。

2.肾脏病变

肾脏病变的临床表现多样轻度肾小球损害者尿液分析和肾功能可正常,临床主要表现为反复咯血肾活检仍然可显示典型的抗基膜抗体线状沉积的免疫学特征。典型患者肾功能损害发展较快。有少尿或无尿者血清肌酐浓度逐日升高于3~4天内达到尿毒症水平;无少尿者肾脏损害常为急进性发展血清肌酐浓度每周升高数月内发展至尿毒症。大多数患者其特征性表现是进行性肾功能损害据统计,81%患者于1年内发展为肾功能衰竭血压正常或轻度升高尿液分析呈现血尿和蛋白尿,常有红细胞管型少数患者有大量蛋白尿及肾病综合征。

3.特殊表现

⑴肺出血-肾炎综合征向其它病理类型的肾小球疾病转化:Elder等报道1例患者有典型的肺-肾脏病理表现与临床表现,肾功能保持良好,血清与组织抗GBM抗体呈阳性,显著缺铁性贫血,免疫抑制治疗后贫血改善血清抗GBM抗体消失9个月后发生了肾病综合征肾活检复查显示膜性肾病不伴抗GBM抗体肾内沉积。

⑵其他病理类型的肾小球疾病向肺出血-肾炎综合征转化:Thitiarchakul报道1例特发性膜性肾病患者病程中肾功能急性恶化伴有咯血严重高血压及血清抗GBM抗体阳性肾组织检查显示典型抗GBM免疫病理表现使用大剂量激素、CTX及血浆置换无效

⑶肺出血-肾炎综合征只局限于肺或肾一个器官:Patron等报道1例单纯性肺出血-肾炎综合征Perez等报道1例可卡因诱发的肺出血-肾炎综合征,只有典型肾脏改变,肺泡基膜没有IgG及C3呈线样沉积。其他如抗基底膜抗体结合于脉络膜眼、耳偶可引起相应的表现如眼底出血及渗出,其发生率可高达11%可能是急剧发展的高血压所至。并发症:主要并发肺出血重者可危及生命大量或持续出血可发生缺铁性贫血。肾脏受损可出现少尿或无尿血清肌酐浓度急速升高肾脏损害呈急进性发展,数月内发展至尿毒症。个别病例可转化为其他类型肾脏疾病。

疾病治疗

同新月体肾炎采取综合疗法。血浆置换与皮质激素和环磷酰胺等合并使用,即可清除和降低血清抗肾基膜抗体浓度同时可清除对体内组织有损伤的物质α、β补体等,从而减轻和改善肾和肺的病变血浆置换和激素免疫抑制剂无效病例,可考虑双肾切除。肺出血明显者以腹膜透析为宜透析过渡几个月或半年以上,一但血液内抗肾基膜抗体消失后可施行肾移植,可避免移植肾复发肾炎发生。

治疗的关键在于早期确诊,及时去除诱因和有效的治疗。1.一般治疗要加强护理注意保暖,防治感冒,戒除吸烟,减少和避免各种可能的致病诱因如合并感染,常使肺部病变反复加重须及早积极有效地使用抗菌药物治疗,防治继发感染加重病情,临床显示广谱第三代头孢菌素,头孢他啶(头孢噻甲羧肟)商品名复达欣(Fortum)疗效满意,可2~6g/d分2~3次静脉注射给药。

本病严重而持久的咯血可致严重的缺铁性贫血应注意纠正可1次/d补充铁剂常用硫酸亚铁(FerrosiiSufute)0.3g,叶酸(AcidFolic)20mg3次/d,维生素B12(VitamineB12)500μg肌内注射,1次/d;必要时输新鲜血。

⒉肾上腺皮质激素和免疫抑制剂肾上腺皮质激素和免疫抑制剂两者联合应用,能有效地抑制抗基膜抗体形成,可迅速减轻肺出血的严重性和控制威胁生命的大咯血。一般可选用甲泼尼龙(甲基强的松龙)冲击治疗,静脉滴注1.0~1.5g/d,于数小时内滴完(不得少于15min),3次为一疗程,可以重复2~3个疗程,在强化治疗2个月后逐渐减少剂量,并维持治疗至少3~6个月。本疗法尚可防止血浆置换后反馈性抗GBM抗体合成亢进如同时加用免疫抑制剂方法为环磷酰胺2~3mg/(kg·d)或硫唑嘌呤(Imuran)1mg/(kg·d)疗效更佳。亦可一开始既口服泼尼松(强的松)(prednison)1~1.5mg/(kg?d)再加用免疫抑制剂病情控制后停用免疫抑制剂泼尼松(强的松)缓慢减至维持量5~15mg/d继续口服治疗,全疗程0.5~1年

⒊血浆置换与免疫吸附疗法血浆置换或免疫吸附可去除抗GBM抗体积极的血浆置换治疗,联合应用免疫抑制剂和中等剂量的皮质激素疗法,可有效地制止肺出血和改善肾功能置换血浆2~4L/d,血浆置换的持续时间和频度可根据循环抗基膜抗体的水平而定,一般每天或隔天1次病情稳定可延至每周2~3次,结合口服泼尼松(强的松)60mg/d和使用大剂量细胞毒药物(主要是环磷酰胺)。一般情况下,血浆置换配以免疫抑制治疗必须持续至循环抗体水平显著下降或阴转(通常约7~14天)在以后的数周到数月内逐渐撤除免疫抑制治疗经以上治疗80%的患者有肾功能的改善。

治疗方法

每日置换血浆2~4L,时间和频度可根据循环抗基膜抗体水平而定; 再加上口服剂量的强的松(60mg/d)和免疫抑制剂,80%的病人肾功能改善;

对曾予冲击治疗而难于控制的肺出血,经血浆置换后,均有不同程度的缓解。

该疗法只有在疾病的早期,新月体处在细胞型或细胞纤维型,病人尚未进入不可逆性终末期肾衰竭时,才有治疗价值对于急进性发病的患者在尚未发生少尿ScrL之前进行血浆置换疗效较佳;而已进入终末期肾脏病期、Scr>530μmol/L或需要透析治疗维持生命者,疗效欠佳。

抗凝与纤溶治疗的问题因为纤维蛋白相关抗原在受损部位出现从理论上讲抗凝血药配以皮质激素和细胞毒性药物对本病的治疗是有益的但是,研究未能证明肝素常规剂量对肾功能或兔抗GBM肾炎肾组织学改变有改善作用大剂量华法林在实验性研究中只有在使用能引起较频繁消化道出血的大剂量情况下才会对本病有效尿毒症期凝血功能紊乱使用抗凝血药十分危险,对于抗GBM抗体疾病的危险性更高。肾脏活组织检查引起严重出血的危险性也较大

肾脏替代治疗对于常规治疗无效或治疗较迟而进入终末期肾脏病,以血液透析或腹透维持生命的患者如病情稳定血中循环抗基膜抗体降低至测不出,可考虑肾移植治疗。本病在肾移植后的复发率为10%~30%,未经免疫抑制治疗的同卵双生兄妹之间,肾移植在发病后不久做肾移植或血清抗GBM抗体滴度较高的情况下接受肾移植复发的可能性较高。当移植延迟至数月,血清抗GBM抗体滴度下降或阴转后,或在使用免疫治疗后临床复发率,可下降至10%,以下复发可发生于数月甚至数年之后,在抗GBM抗体不升高的情况下也可复发。相反血清学改变复发不一定伴有临床症状的复发,Daly等报道10例患者进行了尸体肾移植7例功能肾脏维持达8.2年。

其他确诊为本病的患者,如肾活检证明为不可逆性损害大剂量激素冲击疗法和血浆置换术难以控制肺出血,可考虑作双侧肾切除,以透析治疗替代肾功能,在治疗过程中有加重肺出血的危险者不宜采用抗凝和抗聚集治疗另外应加强支持疗法和防止继发感染。

几个值得注意的问题:

⑴早期治疗至关重要:对高度怀疑为本病患者不必等待肾脏组织检查只要抗GBM抗体阳性就应及早开始强化治疗。(2)少数患者对早期强化治疗也无效应:Hidaka等报道1例50岁的女性患者于发病1周后开始使用大剂量皮质激素细胞毒性药物及血浆置换,但临床表现无明显好转2次肾脏组织检查显示病理改变无改善。

⑶有时双肾切除可以改善治疗效果:Pai等报道1例49岁的女性,患严重的肺出血-肾炎综合征,使用大剂量的肾上腺皮质激素环磷酰胺(CTX)硫唑嘌呤及血浆置换,血清抗GBM抗体滴度及疾病的活动无显著改善当双侧肾切除后随着血清抗GBM抗体滴度下降,肺出血-肾炎综合征才逐渐静止。

⑷研究发现:免疫抑制剂Deoxyspergualin白介素-1受体拮抗剂抗细胞间黏附因子Ⅰ单克隆抗体、淋巴细胞功能相关抗原Ⅰ单克隆抗体及抗巨噬细胞移动抑制因子抗体有可能成为治疗抗GBM肾炎的有效药物

⑸本病缓解后可反复发作:Levy等报道1例患者在12年内反复发作且抗GBM抗滴度的变化与复发有一定的关系Guillen等对11例肺出血-肾炎综合征患者进行了分析后发现8例发生了11次复发9次与细菌感染有比较明确的因果关系。复发时都有肺出血主要发生于确诊后的数月内他们认为,预防感染、早期发现及时治疗感染对于防止本病复发殊为重要。