关于线粒体的起源,科学家提出了两种不同的假说——内共生起源和非共生起源。顾名思义,内共生是真核细胞的祖先和它吞噬掉的原始细菌一起共生演化。相较于非共生起源,佐证内共生起源的结果更多一些。但是,在内共生起源本身也存在争议。真核细胞的祖先要吞噬细菌需要大量的能量,而此时产生能量的线粒体还没有演化出来。这就成了一个先有鸡还是先有蛋的问题:究竟是吞噬在先,还是先有线粒体?

撰文 | 南枝

我们在中学时代的生物课程里便会了解到线粒体(mitochondrion),它是一种普遍存在于真核细胞中的细胞器(也有很少几种真核细胞没有线粒体,如贾第虫属、毛滴虫属等寄生虫)。因为它是细胞进行有氧呼吸的主要场所,是细胞中的能量制造工厂,所以我们也把它叫作细胞的“动力工厂”。

线粒体起源之谜:真核细胞的能量工厂,究竟是如何建成的?


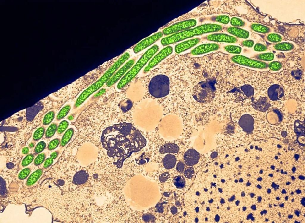
电子显微镜下的线粒体(基质被染色) 丨图片来源:news.mit.edu

真核细胞中的线粒体从何而来,关系着真核生物的起源,是生物进化研究中的重要课题。

有关线粒体的起源,如今有两种假说,一种是内共生起源(endosymbiont hypothesis),另一种是非共生起源。这两种假说,分别能解释一些线粒体的情况,因此一直以来各有支持者。

线粒体的发现

1850年,瑞士-德国生物学家、解剖学家寇里克(Rudolph Kolliker)在实验中观察到了线粒体,并对线粒体进行了分离研究,描述了线粒体的形状和大小,但他当时并不清楚它的功能和内部结构,因此也未对它进行命名。

线粒体起源之谜:真核细胞的能量工厂,究竟是如何建成的?


瑞士-德国生物学家、解剖学家寇里克(Rudolph Kolliker,1817-1905)是显微解剖学的奠基人,也被认为是现代胚胎学创始人。丨图片来源:wiki

到19世纪80年代,随着显微技术的发展,显微镜放大倍数大幅度提高,德国病理学家及组织学家理查德·阿尔特曼(Richard Altmann)在使用高倍显微镜研究细胞的亚显微结构时,在需能细胞(例如肌肉细胞)里发现了大量颗粒。他在1886年发明了鉴别这些颗粒的染色方法,并在显微镜下清楚看到了它们在细胞中的分布,他猜测这些颗粒不是细胞自身组成部分,而是与细胞共生的细菌,因此将这些颗粒命名为“原生粒”(Bioblast)。

1897年,德国生物学家卡尔·本达(Carle Benda)发现原生粒数量众多,且形状有时为线性有时为颗粒,于是将原生粒命名为线粒体(Mitochondrion)。之后,科学界就一直使用线粒体作为这种颗粒的正式名称。

后来对线粒体功能的研究中,科学家发现线粒体是细胞中发生三羧酸循环、电子传递、氧化磷酸化的场所,从而确定线粒体是真核生物细胞进行能量转换的部位。

线粒体从何而来?

内共生起源假说

理查德·阿尔特曼在观察到线粒体时,就提出细胞中的这种结构和细菌类似,是共生于细胞中,能够独立自主生活的有机体,但当时并没有实质的证据来证明这一点。20世纪20年代,美国生物学家伊万·沃林(Ivan E. Wallin)提出线粒体起源于内共生的假说,即线粒体是由被细胞吞入的细菌演化而来,但当时科学界并不认可他的这一假说。

直到20世纪70年代,美国生物学家琳恩·玛格丽丝(Lynn Margulis)提出了较为完善的内共生学说——原始真核生物在某些情况下吞入革兰氏阴性好氧细菌,这些好氧细菌在与原始真核生物共存的情况下逐步演化,互相适应,达成互利共生的关系,逐渐形成了线粒体。这个共生体系中,寄主(好氧细菌)从宿主(原始真核细胞)处获得营养,而宿主则可利用寄主产生的能量,这样增加了这个共生体的竞争力。这一假说,获得了科学界的大力支持,并在之后有很多证据来证明该假说的科学性。

第一,线粒体具有独立的遗传物质——线粒体DNA和RNA,该遗传物质和真核生物细胞核的遗传物质存在差异,而与细菌的更加相似。

第二,细胞在进行自身繁殖时,线粒体也同时进行增殖、分配,具有独立性和连续性,它的分裂增殖是通过缢裂完成,和细菌类似。

第三,线粒体本身具有独立完整的蛋白质合成系统,且这个合成系统的多数特征都与细菌蛋白质合成系统相似,和真核细胞蛋白质合成系统具有差异。

第四,线粒体具有内膜、外膜;内膜与细菌质膜相似,外膜则与真核细胞内膜相似。生物学家猜测,在共生体系形成过程中,宿主吞噬寄生的好氧细菌时,宿主的内膜包裹了寄主而形成了线粒体的外膜。

第五,假说指出在进化过程中,好氧细菌原有的遗传信息大部分已转移合并到寄主细胞中。近期研究发现,真核细胞的细胞核中存在呼吸细菌或蓝细菌的遗传信息,印证了假说的观点。

第六,线粒体的遗传密码与变形菌门细菌的遗传密码更为相似,被认为线粒体来自于α-变形菌(α-Protobacteria)。

第七,现存生命有机体中依然存在类似共生现象,例如草履虫吞噬蓝藻形成共生体。

内共生起源也存在一些无法解释的问题。被吞噬的好氧细菌拥有氧化代谢途径,显然在生存竞争中,这项能力令其比吞噬它的宿主具有更大优势。那为什么这种好氧细菌反而处在下方,既被吞噬作为寄主,还把自己的遗传物质转移到了宿主细胞中,这不符合进化规律。此外,内共生起源假说不能解释细胞核这个细胞的控制中心是如何起源的。

非共生起源假说

内共生起源的假说出现后,支持非共生起源假说的反对派也随之出现了。非共生假说猜想,真核细胞来源于一种好氧细菌,这种细菌在进化过程中,某些具有呼吸作用的细胞膜逐步内陷,包裹住部分遗传物质,形成了既有独立遗传物质又有呼吸功能和膜结构的线粒体。

非共生起源假说也有一些证据。例如,现在某些原始好氧细菌中具有拟线粒体结构,这种结构便是由细胞质膜内陷折叠形成,具有呼吸功能;原核细胞中具有呼吸功能的结构可以看成如今线粒体的雏形,因此推测线粒体是进化而来而不是吞噬共生而成;真核细胞核膜和线粒体膜具有连续性,说明线粒体可能起源于细胞自身内膜系统的内陷,而不是来自于共生细菌。

内共生起源假说中的争论

尽管内共生起源假说有一些无法解释的问题,但相较于非内共生起源,该假说提供了更多的证据,因此它成为线粒体起源的最主流学说。

在内共生起源假说之中,根据线粒体内共生发生的时间不同,产生了两个流派。

一派提出的假说叫晚期线粒体模型(“Mito-late” models),他们认为宿主 吞噬好氧的α-变形菌(如今已有很多证据证明线粒体是由它演化而来)前,已先通过不同途径形成了细胞核,已具有真核细胞的特征(已有细胞核、动态细胞骨架、内膜系统),具有原始吞噬功能。也就是说,线粒体祖先(α-变形菌)进入宿主(原始真核细胞)的时间是较晚的。

另一派提出的假说叫早期线粒体模型(“Mito-early” models),他们认为宿主(原核细胞)先与好氧的α-变形菌内共生形成了带有线粒体的原核细胞,在拥有这个动力工厂后,再演化出了细胞核、内膜系统等真核生物特征。

线粒体起源之谜:真核细胞的能量工厂,究竟是如何建成的?


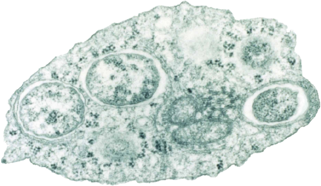
透射电子显微镜下昆虫细胞内的沃尔巴克氏体(Wolbachia),属于α-变形菌(Alphaproteobacteria)纲。丨图片来源:wiki

这两派的争论点集中在线粒体祖先(α-变形菌)进入宿主的时间点上,为什么这个时间点这么重要?

因为这个进入真核细胞祖先的线粒体祖先,到底是怎么进入的,是一个极重要的讨论点。有些科学家认为是通过吞噬作用进入,另一些科学家则认为是细胞拥有了线粒体后,细胞才有了吞噬作用。于是,问题又转到吞噬作用上了。

吞噬作用是某些细胞以变形运动方式吞食微生物或细小物体的作用。这看似很简单的过程,其实需要大量能量,还需要细胞有动态的细胞骨架和膜运输能力。

如果细胞吞噬细菌需要大量能量,要是没有线粒体这个能量工厂为其供能,它根本无法将线粒体的祖先吞噬。可是,这时线粒体祖先还没被吞噬,线粒体又如何成为细胞的能量工厂?如此一来,就像进入了一个时间漩涡,到底先有鸡还是先有蛋?即到底先有线粒体,还是先有吞噬作用?

若是先有吞噬作用,那真核细胞的祖先在吞噬线粒体的祖先时,便已经进化到一定程度了,线粒体的到来不过是在真核细胞的进化上锦上添花而已,这就是晚期线粒体假说。但是,如果是先有线粒体,线粒体为真核细胞祖先提供大量能量,因为有这个能量工厂,真核细胞祖先被它推动进化,形成了之后的真核细胞,那线粒体对真核细胞的进化则是雪中送炭,这就是早期线粒体假说。

线粒体内共生的早期、晚期模型之争,至今并无定论,两个学派各有证据,提出不少假说。

线粒体起源之谜:真核细胞的能量工厂,究竟是如何建成的?


线粒体内共生晚期模型(A)和早期模型(B)丨图片来源:Martin, William F., et al. The physiology of phagocytosis in the context of mitochondrial origin. Microbiology and Molecular Biology Reviews 81.3 (2017): e00008-17.

例如,1998年比尔·马丁(Bill Martin)和米克洛什·米勒(Miklos Muller)[1]提出了“氢假说(Hydrogen Hypothesis)”——一个需氢产甲烷的古细菌作为宿主与一个产氢的α-变形菌融合,二者互相依赖形成稳定共生关系。这个模型说明线粒体祖先内共生后,因拥有产生大量能量的线粒体,触发了真核生物的发生,表明先有线粒体才有真核细胞与吞噬作用。这个假说是最有名的早期线粒体模型。但是,对该假说提出质疑的科学家认为,该模型中产生甲烷的过程非常复杂,需要大量辅酶,而在如今的真核生物中并没有发现这些辅酶。

晚期线粒体假说,则有安东尼·普尔(Anthony M. Poole)和娜佳·纽曼(Nadja Neumann)在2011年[2]、乔安·马丁(Joran Martijn)和泰斯·艾特玛(Thijs J.G. Ettema)[3]在2013年提出的吞噬古生菌模型(phagocytosing archaeon model,PhAT);洛佩斯·加西亚(Lopez Garcia)等人[4]在2006年提出的共生假说,以及皮蒂斯·亚历山德罗斯(Pittis Alexandros)等人[5]在2016年提出的内共生模型。在这些模型里,他们都认为线粒体形成较晚,特别是吞噬古生菌模型,认为吞噬机制是线粒体祖先和真核细胞祖先融合的先决条件。

总体来说,如今早期线粒体假说更为流行。

寻找新证据

今年2月,Molecular Biology and Evolution上刊登的一篇论文[6]通过实验又为晚期线粒体假说增加了一个证据。

这篇论文是由瑞典乌普萨拉大学的进化微生物学家莱昂内尔·盖伊(Lionel Guy)团队发表,他们对军团菌目(Legionellales)的细菌进行了测序,这些细菌是胞内寄生菌,可以在真核细胞内生长。通过对35个军团菌类的基因组分析,他们构建了军团菌的进化历史及其与早期宿主的关系。盖伊的团队通过生物标志物奥克酮(Okenone)来进行追溯,推断第一个适应宿主的军团菌祖先存在于18.9亿年前。也就是说,在18.9亿年这个时间节点时,军团菌的祖先便已经感染了真核生物的祖先,这种感染是通过吞噬作用进行的,也就可以从侧面证明此时已有吞噬机制。而目前许多研究认为,含有线粒体的细胞首次出现是在近15亿年前,这晚于吞噬机制存在的时间。这样看来,线粒体的出现便是在真核细胞祖先具有吞噬作用之后——先有吞噬,后有线粒体,为晚期线粒体假说提供了证据。

线粒体起源之谜:真核细胞的能量工厂,究竟是如何建成的?


军团菌(绿色)通过吞噬作用进入真核宿主细胞丨图片来源:Science Source

但是,又有科学家证明线粒体内共生很早,认为是在12.1亿-20.53亿年间,更甚者认为是在20亿-24亿年之间。如果线粒体内共生的时间这么早的话,那使用盖伊教授他们的证据就不能证明吞噬作用早于线粒体的形成了。

线粒体内共生的早期、晚期争论依然无法定论。关于线粒体的起源里还有很多复杂的细节有待研究和解释,但无论结论如何,事实都证明了真核细胞祖先和线粒体祖先结合产生的巨大生存竞争优势。这强大的竞争力和不断进化,形成了我们如今的多姿多彩的世界,包括这个世界里的我们。

主要参考文献

[1] Martin W, Müller M. 1998. The hydrogen hypothesis for the first eukaryote. Nature 392(6671):37–41.

[2] Poole AM, Neumann N. 2011. Reconciling an archaeal origin of eukaryotes with engulfment: a biologically plausible update of the Eocyte hypothesis. Res Microbiol. 162(1):71–76.

[3] Martijn J, Ettema TJ. 2013. From archaeon to eukaryote: the evolutionary dark ages of the eukaryotic cell. Biochem Soc Trans. 41(1):451–457.

[4] Lopez-Garcia P, Moreira D. 2006. Selective forces for the origin of the eukaryotic nucleus. Bioessays 28(5):525–533.

[5] Pittis AA, Gabaldón T. 2016. Late acquisition of mitochondria by a host with chimaeric prokaryotic ancestry. Nature 531(7592):101–104.

[6] Hugoson E, Guliaev A, Ammunét T, Guy L. Host Adaptation in Legionellales Is 1.9 Ga, Coincident with Eukaryogenesis [J]. Mol Biol Evol. 2022, 39(3):msac037.

特 别 提 示

1. 进入『返朴』微信公众号底部菜单“精品专栏“,可查阅不同主题系列科普文章。

2. 『返朴』提供按月检索文章功能。关注公众号,回复四位数组成的年份+月份,如“1903”,可获取2019年3月的文章索引,以此类推。

版权说明:欢迎个人转发,任何形式的媒体或机构未经授权,不得转载和摘编。转载授权请在「返朴」微信公众号内联系后台。


来源: 返朴