年龄过了三、四十岁,经常感觉自己牙齿莫名其妙地松动了,难不成牙齿接下来几十年都得凑合着用?
还有朋友会来咨询,牙齿松了必须得拔牙吗?梦见自己的牙齿松掉了是不是一种暗示?需不需要治疗?
不妨来看看,牙齿松动,到底该怎么办?如何治疗?又该如何预防?
牙周病是一种慢性的疾病,主要是牙周围组织的慢性炎症,在疾病的早期并不会引起牙齿松动。
(牙周病发展过程)
但随着炎症的加深,支撑牙齿的牙槽骨会被破坏,牙周病也进入了中期阶段。
这时牙龈会萎缩,开始松软,牙齿开始松动。
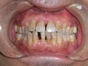
到了牙周病重期,牙槽骨几乎全部消失,牙根会露出大部分,牙齿会异常松动,甚至脱落。此时疼痛感强烈,难以咀嚼食物。
(重度牙周炎后期,牙根几乎暴露,牙齿变得异常松动)
其它问题导致的牙齿松动
1、咬合问题引起:如伴有牙周炎,首先要进行牙周治疗,然后再调磨牙齿以恢复正常咬合关系。
2、夜里磨牙导致:患者需佩戴专门的磨牙垫来减轻对牙齿的损伤。
3、意外创伤造成的牙齿松动:比如说走路不小心摔了个跤磕到牙、吃饭时不小心猛地咬到骨头,都可能把你的牙搞松了。
牙齿松动后,无法承受正常的咀嚼力,唾液分泌减少,胃肠蠕动减慢,未嚼碎的食物进入胃肠,胃肠系统的负担随之加重,从而导致胃肠功能紊乱,影响人体对营养成分的吸收。
2、危害邻牙
牙齿承受的咀嚼力是有一定限度的,当个别牙齿缺失后,咀嚼力集中在余留牙上,由于咀嚼力超过了余留牙的承受限度,致使余留牙齿造成创伤而产生牙周膜水肿、牙龈萎缩、牙槽骨吸收、牙齿松动等牙周疾患。
(缺牙的危害不容小觑)
3、加深牙周病,恶性循环
牙齿松动导致牙空隙相应变大,咬合关系和牙齿排列出现错乱,致使剩余牙齿失去正常的邻接关系,造成食物嵌塞,进一步导致牙周病,形成恶性循环。
牙齿松动的治疗方式
1、早期牙齿松动治疗
早期牙齿松动,主要是进行牙齿洁治(洗牙)、龈下刮治去除牙齿周围的牙石、菌斑等引起炎症的东西,以减轻牙齿周围的炎症。
(龈下刮治可有效去除牙菌斑,缓解牙周病)
2、晚期牙齿松动治疗
我们通常跟患者说,不到万不得已,不要轻易拔掉松动的牙齿:
恒牙是不可再生的,拔掉了就永远离开你了。
但如果遇到松动程度过于严重的,也只能采取拔牙措施了。之后根据患者详细情况可以进行活动义齿、牙冠和种植牙修复。
牙齿松动是一个不可逆的过程,因此前期的预防才是重中之重!
如何预防牙齿松动?
1、掌握刷牙力度
如果刷牙太用力,一段时间后,会破坏珐琅质,软组织退缩后,就会在牙齿和牙龈间产生像袋子一般的缝隙。
这就像自找麻烦,邀请细菌“住”进这个袋子,导致牙周组织感染。
为了更好地清洁,推荐使用软毛小头牙刷。
2、日常更换牙刷
大部分牙医建议一个月换一支牙刷。
因为只需几个星期,原本柔软圆滑的刷毛就会炸成一团。
当刷毛像外翻的钢毛时,代表你跟它说再见的时候到了。
3、用牙线辅助清洁
光刷牙其实还不能深层清洁口腔,我们还可以适当使用牙线来辅助深层清洁牙齿,每天早晚或者吃完食物之后,用牙线刮掉牙缝里的残渣,再漱口。
4、少吃太硬的东西
偶尔吃吃还是不错的,经常吃小心把牙“嘣”掉哦。
5、按摩牙龈
用手指按摩牙龈,可以促进牙龈血液循环,有效防止牙龈萎缩和牙齿松动。手指是很软的,完全不会对牙龈造成伤害。
方法:漱口后将干净的右手食指置于牙龈粘膜上,由牙根向牙冠作上下和沿牙龈水平作前后方向的揉按,依次按摩上下、左右的内外侧牙龈约数分钟。
6、定期洗牙
有人会觉得自己牙齿蛮健康的,也有好好刷牙,就没有洗牙的必要了吧。
其实不是,洗牙更像是一种保健,洗掉牙结石和牙菌斑,能预防牙龈萎缩,定期洗牙能有效减少牙周病的发生几率。
所以洗牙还是蛮有必要的,大概半年到一年洗一次牙,大家可以根据自己的情况决定。
口腔健康小贴士:
要做到以上几点并不难,关键在于要持之以恒。
愿大家都拥有一副健康而美丽的牙齿!
科普中国公众号
科普中国微博

帮助
苏州口腔医院