牙齿美白,向来是人们甚为关注的话题。俗话说得好,一白遮百丑。“唇红齿白”自古以来就是衡量美女的标准之一。
然而,目前流行的各种牙齿美白方式,你真的都了解吗?会不会给牙齿健康带来副作用?如何才能既不损伤牙齿,同时又能让牙齿更美呢?
今天就来聊聊牙齿美白三大神器——全瓷牙冠、冷光美白、贴面。
1、全瓷冠
如果你的牙齿有明显缺损且暗沉,比较推荐的美容方式就是做全瓷冠,相当于把你原来缺损的牙齿用一个美观坚固的外壳“包装”起来。
既保留了原来的牙齿,也不会产生损伤。这也是目前效果最接近天然牙齿的美容方法。
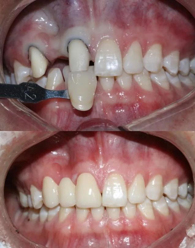
全瓷冠原理——全瓷牙冠将牙齿“套”起来
(上:全瓷冠美容前 下:全瓷冠美容后)
适宜人群:适用于中、重度四环素牙、氟斑牙、釉质发育不全、牙齿有裂纹、残缺、坑洞的人群。
全瓷牙冠优点——即做即白,效果明显,非常持久,爱护得当可保持十几年甚至终生。而且相比起烤瓷冠它不含金属,不会影响以后做核磁。价格方面,全瓷牙冠分为国产和进口,价格大约在2000-6000元左右,可以根据自身情况进行选择。
2、冷光美白
冷光美白也是近几年非常流行的产品了。如果你牙齿情况健康,但是经常喝咖啡、喝茶、抽烟导致满口黄牙,那就比较推荐做冷光美白。
(如图所示,冷光美白灯照射)
(冷光美白治疗后对比图 上:治疗前 下:治疗后)
它的主要原理就是利用美白剂中含的自由基,分解牙齿表面的暗沉物质,从而达到美白的效果。过程十分简单,在牙龈边缘涂上一层保护剂,然后在牙面涂美白剂,用冷光美白灯照射,反复操作几次即可。全程只要躺在牙椅上就可以了。
不过需注意,美白后48小时内不宜食用过冷或过热以及颜色较重的食物或饮料。
但冷光美白不是永久性的,其效果大约可以保持2年左右,可能需要再次进行美白。
适宜人群:外因性色素牙(咖啡、茶渍、烟渍沉积)、中轻度四环素牙、药物性变色牙及遗传性黄牙等。
冷光美白的优势——其采用了低温冷光,避免了操作过程中对牙齿神经的损害;操作过程完全不接触牙龈,对牙齿结构不会造成损害。价格方面从我院来说,大概3000元左右。(需来院照射两次)
3、牙齿贴面
贴面美白是在牙齿表面粘上一层贴面,相当于覆盖你原本的牙齿。但是贴面也有其缺点,因为它需要磨除部分牙齿,对牙体有一定伤害。 只有当你有顽固的氟斑牙、四环素牙、牙齿受损、牙缝宽大等情况时医生一般才会考虑做贴面。
各类牙齿变色、受损、牙列不齐等情况可做贴面修复
适宜人群:四环素牙、变色牙、牙齿断裂受损等。
牙齿贴面的优势——贴面修复色泽自然、形态美观、维护得当可达十几年,是治疗牙体缺损、牙列缺失的主要手段。
一般比较推荐做瓷贴面,效果最好、应用最多,价格大约在3000-6000元左右一颗。
4、美白牙贴(不推荐)
之前网上很火的一些美白牙贴类产品,相信很多朋友也都不陌生了。但其实站在牙医的角度,我个人是非常不推荐的。大家自己也能从很多评价里看到,顾客使用后普遍反映“使用牙贴后牙齿特别酸,使不上力”。没错,美白牙贴确实能在短时间内美白牙齿,但它内含的漂白剂【高度过氧化物】会破坏牙釉质以及牙龈本质,对牙齿健康产生负面影响。
美白牙贴的本质是“漂白”,会损伤牙龈及牙釉质
日常牙齿美白保健,还需自身多注意
在这里提醒大家:正常、健康的牙齿本来就是淡黄色的,确保每天至少刷牙两次、饭后漱口、使用含氟牙膏,就是日常美白牙齿的最好途径。
如果你的黄褐色牙齿单纯是因为浓厚的牙石、烟斑、茶垢,则需要定期(每半年或一年)洗牙,少喝茶、咖啡等深色饮料,饭后勤漱口,最重要的是一定要戒烟。
科普中国公众号
科普中国微博

帮助
苏州口腔医院