研究发现,人的口腔内有800多种细菌。细菌同唾液、食物残渣共存,就会粘在牙齿表面,形成无色的牙菌斑。

     即便每天刷牙,大概也只能清除70%的牙菌斑。而口腔中剩下的“垃圾”则会在唾液的作用下逐渐钙化,形成刷不掉的牙石,也称为牙结石。


1、牙结石是什么?

     经常有人说自己的牙齿掉了一块,其实往往是指牙齿上的牙结石脱落了。牙结石,也称“牙垢”,由牙菌斑钙化后而形成。

     牙菌斑是牙石形成的矿化核心,而牙结石形成所需的无机盐成分则来源于唾液。

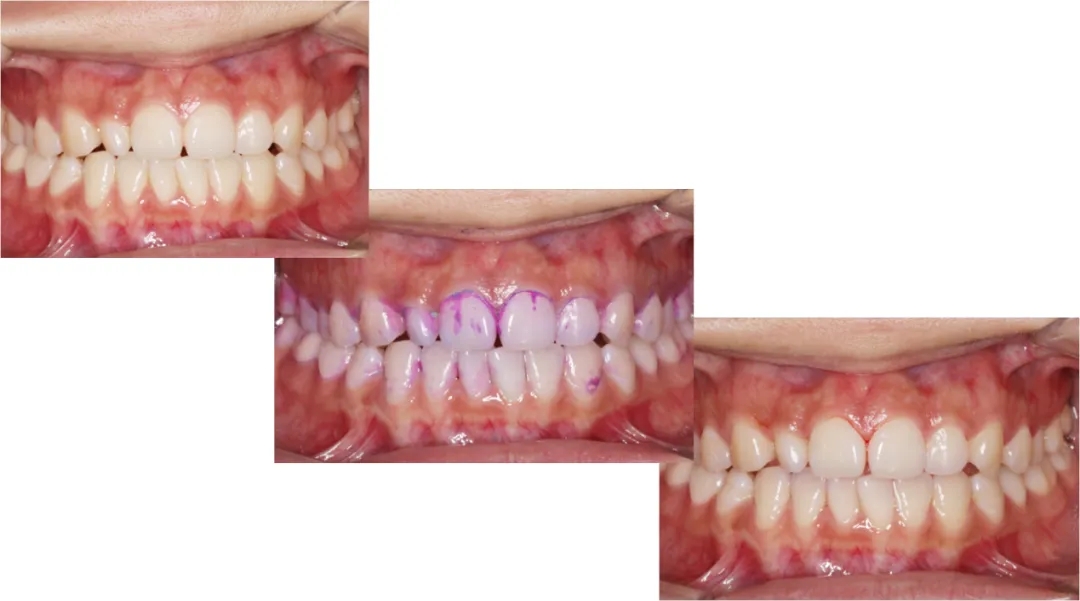
图一、二:肉眼难以看出牙齿清洁情况,需借助牙菌斑测试剂,方可看到牙菌斑

图三:经过牙周治疗后的口腔已恢复到较好的状态


2、牙结石有什么危害?

     坚硬的牙结石的机械压迫能损伤牙龈,压迫牙龈退缩。

     牙结石作为一个新的界面,又可进一步粘附细菌,或吸附毒素等刺激因子,不断地作用于牙周组织,促进牙周炎症。

     牙结石也分为龈上结石和龈下结石,龈下结石还阻碍着牙周组织对牙面的附着,因此龈下刮治或根面平整是牙周病治疗的必要手段。

    牙结石虽不疼不痒,但堆积多了会“跑到”牙龈底下,造成牙龈、牙周组织炎症,导致牙龈出血、萎缩、口腔异味,严重时还会出现牙龈发炎溢脓、牙缝变大、牙齿松动乃至脱落。


3、牙结石的清除方法

     经过钙化的牙结石难以通过刷牙等传统方式清洁,但口腔洁治可以做到,比如手工刮治和超声洁治。

     ● 手工刮治:通过比较精细的龈下刮治器刮除牙齿上附着的牙石和菌斑。

     ● 超声洁治:超声洁牙机通过高频率震荡传导至特制工作尖,将能量集中在工作尖并释放,对顽固坚硬的牙结石产生较大的冲击力,并将其震碎,使其从附着的牙面脱落。同时,超声震荡产生的水雾将环绕在工作尖的周围,将牙结石的碎屑冲洗殆尽。

    两种方法都可以去除牙结石,但相比传统手工洁牙,超声洁治更高效、舒适。 


4、牙结石的日常预防

     ●01. 每半年进行一次全面的口腔健康检查,以便及时发现与定位牙结石,通过专业口腔洁治将其清除。

     ●02. 养成良好的口腔卫生习惯。

     刷牙是预防牙结石形成的一种简便而又行之有效的方法。应做到至少每天两次,每次3-5分钟。经常刷牙可将刚刚开始沉积于牙面的软垢及时刷掉;同时配合使用牙线或者牙间隙刷,清洁牙齿邻面卫生。


牙周粘膜科医生提醒:

      牙结石危害巨大、去除难度较大。洗牙后牙齿表面会变得比较粗糙或敏感(一般指严重牙结石患者刮除了大部分牙结石、菌斑后),若不注意养成良好的口腔卫生习惯,即使彻底洁治后,牙结石仍较容易再次沉积在牙齿表面,卷土重来。因此,我们必须保持打持久战的心态,不可掉以轻心。

来源: 东莞健力口腔医院