
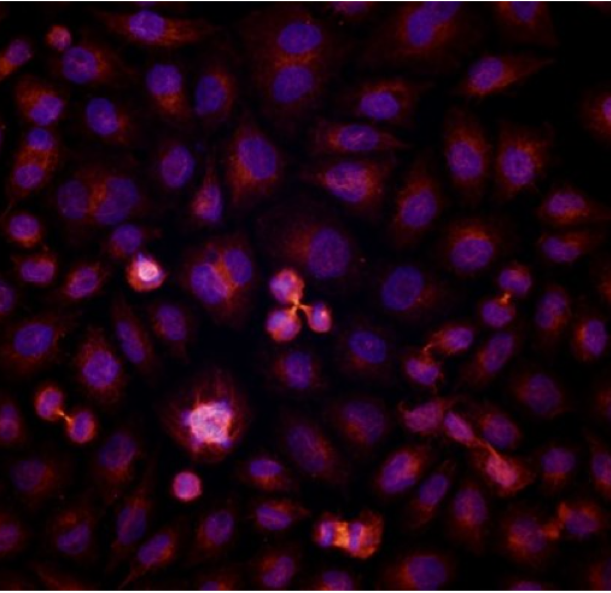
癌细胞会不受控制地无限分裂。|来源:cancerquest
漫威系列电影大家应该都至少看过几部,里面超级英雄的命名基本都很能反映人物自身能力特点:一身铁壳子叫钢铁侠,浑身冒绿光叫绿灯侠,目光咄咄逼人就叫镭射眼。但有一个人的名字似乎并不直白——死侍,这位老哥并非刀枪不入,也没啥高科技,其实是靠着一身生物医学的本事——“可控式肿瘤细胞分裂”,在超级英雄队伍中占了一席之地。死侍堪称打不死的小强,三五个持枪硬汉突突不死,身体被钢力士撕成两半也能重新长出一个下半身,因为没了对象多次抑郁到自寻短路,最后都以满血复活告终。说句不好听的,按照超能力来命名,死侍其实应该叫“肿瘤侠”。关于他的超能力是咋回事,这一切还要从女娲无限造人(误)可以无限分裂的肿瘤细胞讲起。二十世纪早期,诺贝尔奖获得者Alexis Carrel一直是细胞研究领域的权威,他声称自己做了一个长达34年的实验,证明从鸡身上提取出来的细胞,在体外可以连续培养的时间,比鸡本身活的还长。换而言之,细胞分裂是永恒的、不受限的。这个细胞无限分裂的理论一度风靡全球,使得当时主流生物学界认为,在适宜条件下,细胞是“永生”的。可是,如果构成生物体的细胞可以永生,每个人不都成了活神仙?生物本身怎么还会有寿命限制?其实,我们体内的大多数细胞,无论是来自皮肤、血液或肝脏,确实会不断分裂,更新换代。不过,负责更新换代的“干细胞”通常只能分裂几十次,之后就会逐渐衰老、凋亡,当人体内大部分具有分裂能力的细胞都发生这种变化时,就表现为器官功能的下降,以及整个人体的衰老。那么,真的有能够无限分裂的细胞吗?还真有,肿瘤细胞就是这样的终极存在。在衰老过程中,如果基因突变的积累导致细胞遗传物质的改变,一些“老不死”的细胞——肿瘤细胞,就会产生,它们不再遵循正常细胞分裂分化的规律,自己想怎么整就怎么整,要是在早期没被发现,就会形成癌症,危及生命。事实上,“不老不死”只是肿瘤细胞最容易观察到的特点之一。不同来源的肿瘤细胞,还拥有很多其他共性,比如“不听指挥”——不受人体正常生长信号的调控;“乔装打扮”——逃脱人体内免疫细胞的追杀;“东逃西窜”——在人体侵袭和转移的能力;“食欲旺盛”——大量消耗葡萄糖,等等。正常细胞在分裂时一分为二,而肿瘤细胞由于基因调控异常,常常表现为一个分裂成多个,比如图中所示的“三足鼎立”,每个子细胞都会疯狂抢夺母细胞的物质。|来源:作者自己养的细胞不知道大家有没有听说过曾经风靡一时的“饿死癌细胞”的说法?非蠢即坏的营销号和低智媒体声称,可以通过控制饮食饿死肿瘤细胞而不损伤正常细胞,从而治愈癌症。这实际上正是基于肿瘤细胞“食欲旺盛”的特点造出来的谣。相比于正常细胞,肿瘤细胞由于能量代谢通路改变,对葡萄糖的需求量会大大提升。但仅凭这一特点,完全无法单纯通过控制饮食对肿瘤细胞造成任何影响,在它们被饿死之前,更加脆弱的正常细胞,怕不是已经被饿死十遍了。尽管如此,肿瘤细胞“吃得多”的特性确有用武之处。临床上常用的PET-CT检查,正是利用了肿瘤细胞的这种特点,把带有放射性同位素标记的葡萄糖注射到人体内,显示出代谢速率明显提升的肿瘤所在位置。PET-CT可以显示疑似肿瘤的高代谢病灶。|来源:PhysicsWorld多年以来,人们很自然地认为,宏观上整个肿瘤的糖消耗提升,是因为内部每一个肿瘤细胞消耗了更多的糖。虽然肿瘤内除了肿瘤细胞还有很多种免疫细胞,比如髓细胞和淋巴细胞,但它们的“胃口”似乎不如肿瘤细胞大。一些研究表明,也许正是肿瘤细胞大量消耗了周围环境中的葡萄糖,导致肿瘤内部的免疫细胞营养供给不足,代谢受到影响,没办法发挥正常的免疫清除功能,杀死肿瘤细胞。俗话说,“兵马未动,粮草先行”,粮食不够,肯定打不赢。然而,4月7日,在《自然》杂志发表的一项最新研究中,科学家使用包括结直肠癌、肾癌、乳腺癌在内的六种不同肿瘤模型,反复进行体内与体外实验,结果发现了一个颠覆传统认知的有趣现象:在这些肿瘤中,消耗糖最多的并不是肿瘤细胞,而是免疫细胞。他们把小鼠身上长出来的肿瘤分成一个个细胞,再把所有细胞分门别类,分别测定每种细胞的平均耗糖量,发现肿瘤内部的免疫细胞其实比肿瘤细胞还“贪婪”,吃糖吃的最多,而肿瘤细胞更喜欢一种叫“谷氨酰胺”的物质(一种氨基酸,蛋白质的基本组成单位之一),吃了之后,还能反过来抑制糖的代谢通路。这一发现,让人不禁直呼“好家伙”,原来肿瘤细胞也不傻,知道糖吃多了不行,要多摄入蛋白质!(一个不严谨的玩笑)肿瘤细胞更喜欢吃一种叫“谷氨酰胺”(Glutamine)的氨基酸。|来源:mskcc.org不过,这样的营养分配机制到底对肿瘤的生长有啥用?是不是所有肿瘤都有这样的共性?这对肿瘤的治疗有啥指示意义?目前我们还不是很清楚。在类似的问题得到科学证据回答之前,只希望不会有一篇名为《震惊!科学家发现肿瘤细胞新特性,乏氨基酸饮食或可治愈肿瘤》的文章出现在大众视野里。如果列举本世纪人类最大的愿望清单,“治愈肿瘤”一定是其中之一。想治愈肿瘤,势必要足够了解肿瘤。之前说了,人类的生长和衰老过程中,细胞多次分裂导致的基因突变累积,是肿瘤产生的根本原因,这也是为什么人一到五六十岁,各种肿瘤的发生率会直线上升。当人类了解了天花的致病机理,就发明出方法消除了天花,那现在人类也了解了肿瘤的产生原因,有没有希望完全消除肿瘤呢?在《癌症:进化的遗产》一书中,作者写到,基因突变是生物进化的原动力,同时也是肿瘤细胞产生的根本原因。只要有细胞分裂,就会发生基因突变,就会有肿瘤细胞生成。换句话说,肿瘤细胞是进化过程中不可避免的副产物,从这个角度来讲,根除肿瘤细胞似乎是不可能的。然而,不能根除肿瘤细胞,并不意味着不能治愈肿瘤,只要人类能找到方法,在肿瘤细胞大肆增殖繁衍、形成肉眼可见的肿瘤之前发现它们,并予以恰当的治疗,肿瘤也许就能像感冒一样,吃点药就能控制了。脑洞更大一点,如果人类真的在足够了解了肿瘤细胞之后,能设法操纵其分裂,那电影中死侍跟金刚狼“瞬间愈合”的超能力,也许将不再是无稽之谈。
[1] https://www.nature.com/articles/s41586-021-03442-1#Sec2
[2] The Biology of Cancer, 2nd edition
文章由“科普研习社”(ID:cspbooks)公众号发布,转载请注明出处。
来源: 科普研习社
内容资源由项目单位提供