3.20,是 “世界口腔健康日”
牙医提醒:健康的口腔在生命的各个阶段都很重要
尤其建议我们要更关注儿童口腔健康问题
▽▽▽

当孩子自理、自觉能力尚未养成
家长应帮助孩子“尽早养成良好的口腔健康习惯”
“均衡低糖的饮食”
然而生活中,却经常看到
孩子爱喝可乐、雪碧等饮料
不少家长却放任不管
直到牙齿出现白色斑点、变黄变透明……
甚至出现龋齿时
才心急火燎地带孩子看牙医
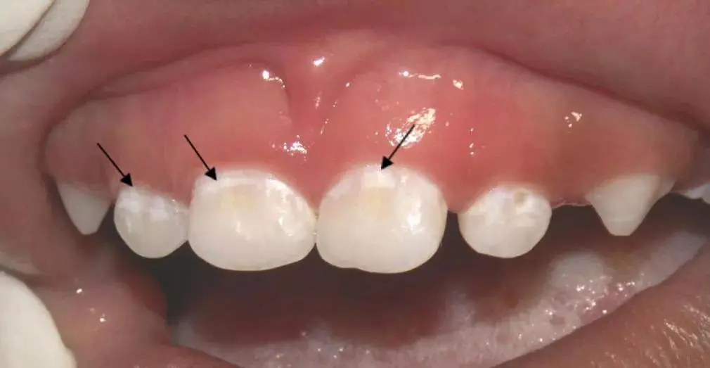
牙齿出现白斑,其实是“牙齿脱矿”的症状
也是蛀牙(龋齿)的前兆!!!
什么是牙齿脱矿?

首先从牙齿的结构说起。牙齿最外面一层是牙釉质,牙釉质表面有一层“钙磷”,起着保护牙齿的作用。
长期不注意口腔卫生,不按时刷牙清洁,口内的细菌不断堆积,和食物残渣、细菌等发生反应,从而产生酸,溶解掉这层“钙磷”。渐渐地,牙齿色泽改变,呈白色或微黄的斑点,这就是脱矿。
牙齿脱矿是什么原因?
除了上面提及长期不注意口腔卫生的原因;另一大原因,就是长期饮用碳酸饮料造成的。
饮料中的“酸”融化牙齿表面的牙釉质,早期的牙面形成小面积的白斑;不加以治疗,矿化会持续不断地加重,进入中期的牙齿透明度会不断下降,白斑会变成灰白色。乳牙釉质矿化程度比恒牙低,故呈乳白色。

牙齿表面就像城墙一样,如果出现破损,细菌大军就能轻易的攻破城门,破坏牙齿的结构。牙齿出现脱矿后,处理不及时,就会发展成龋齿。
牙齿脱矿与蛀牙的关系

牙齿脱矿发展的三个阶段:
1、牙齿表面出现白斑
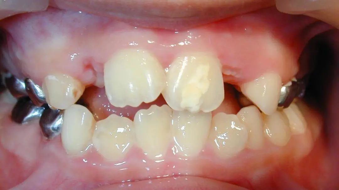
2、牙面逐渐变黄
3、牙齿成块脱落,变短(此阶段,其实就是蛀牙了。)
从牙齿表面看是白斑,只是颜色有变化。但在显微镜下观察,牙齿内部的坚实结构已经被破坏了,这是牙齿发生蛀牙的噩梦起源。
牙齿脱矿怎么办?
值得注意的是:牙齿脱矿,前期可逆,龋齿不可逆。
● 白斑是可逆的,早期脱矿情况可以得到抑制,牙齿也能恢复健康。通过去专业的口腔医疗机构进行涂氟,可以使牙齿再矿化,从而变得坚硬、不容易被酸腐蚀,对早期牙齿脱矿问题进行有效修复。
● 龋齿是不可逆的,一旦牙齿出现龋坏,要及时补牙。建议家长尽早排查孩子的牙齿脱矿问题,尽量做到前期抑制。
怎样预防牙齿脱矿?
01、牙齿涂氟,是治疗方法,也是预防方法
用一种含氟的物质,对牙齿表面进行氟化处理,这就是涂氟,是预防蛀牙非常有效的方法。在国外已经开展多年,是一种常规的儿童牙齿保健方法。
孩子从3~4岁开始,每半年涂氟一次。涂氟过程,不会有疼痛感和不适感。医生根据孩子的年龄、配合程度等情况,选择合适的氟化剂。

02、注意口腔清洁
家长应教会孩子使用正确的刷牙方法;养成“早晚刷牙,饭后漱口”的好习惯。很多孩子一开始可能都不愿意刷牙,父母不要半途而废,利用玩小游戏、读绘本、激励等方式来帮助孩子养成习惯。
建议使用含氟牙膏,原理和牙齿涂氟类似,可以预防龋齿。但注意,幼儿在使用含氟牙膏时,用量要控制在安全范围内,防止吞食。
03、注意饮食
控制摄入甜食,食用完后要漱口;减少饮用碳酸饮料。以减少有机酸对牙齿的侵蚀。
04、定期洁牙、看牙医
定期检查牙齿健康状态(建议每年2-4次口腔检查),若是发现问题可以及时得到解决。

牙医提醒:综上所述,孩子牙齿白斑问题,完全是可以预防的和微创治疗的。家长平时多留意孩子的牙齿变化,每年带孩子检查牙齿。发现问题,及时咨询医生,可帮助孩子提前预防多种口腔疾病。
来源: 东莞健力口腔医院
科普中国公众号
科普中国微博

帮助