孩子牙齿发黑一般有三种原因:龋齿、色素沉着、牙外伤
许多家长容易混淆龋齿与色素沉着
两者均有统一表现:牙齿上有黑点
其实两者确实有关系,当牙齿出现色素沉着,放任不管
就有可能发展为龋齿,威胁孩子的口腔健康
今天一起聊聊“牙齿色素沉着”问题
一、 什么是牙齿色素沉着?
牙齿色素沉着是一种外源性着色,指进入口腔的外来色素或口腔中细菌产生的色素沉积在牙面。
孩子牙齿表面并不是光滑的,食物的残渣、色素在牙齿不光滑的凹槽处极易沉积,常规刷牙并不能清洁干净(况且多数孩子还不好好刷牙)。长此以往,牙齿上就会产生黑色(或黄色)斑点,残留黑色素。
下图,黄黄的部分是软垢,黑黑的则是色素沉着。


二、龋齿、黑色素沉着很相像,如何区分?
关键看污垢、菌斑是否破坏了牙体,侵蚀到牙齿内部。
● 龋齿:牙菌斑已经侵蚀到牙齿内部,保护层遭受到破坏,牙体受损。
● 黑色素沉着:仅在牙齿表面形成污垢,保护层还没有被破坏。
虽然黑色素沉着不是蛀牙,但二者是递进关系。色素牙垢里存在细菌,如果置之不理,很容易导致龋齿的发生。牙齿出现黑色素时,应及时看牙医,防止情况恶化。
三、黑色素沉着怎么来的?

首先是自身原因:与牙齿本身的钙化不全,发育不良或早期的牙齿被酸蚀有关。
其次是外部原因:
01.饮食:频繁进食含色素食物或饮料
食物色素、糖分和牙齿的接触时间越长,越容易造成色素沉着。对蛋糕、糖果、饮料等甜食不加节制,口腔清洁不到位,极易导致黑色素沉着等问题。

02.习惯:错误的刷牙
进食后,食物中的色素长时间黏附在牙面上,清洁不及时或刷牙不到位,极易滋生细菌、黑色素。

03.药物:进食中药、补铁剂等色素药物
因孩子体质营养原因,摄入色素药物,形成易于色素沉着的菌群环境,导致黑色素。因此,定期带孩子到口腔医院检查牙齿很有必要。

四、如何去掉或远离色素沉着?
01.改善生活习惯
牙齿色素沉着对口腔健康造成影响,还影响美观。
建议家长应帮助孩子改掉一些生活习惯。如少吃色素深的食物、不喝可乐、注意补充富含纤维的食物等。督促养成早晚认真刷牙的好习惯。家长应帮助6岁以下孩子刷牙。

02.儿童洗牙
不要认为只有成人可以洗牙,孩子同样适合。如一些发达国家,约从3岁左右(即可以配合牙医治疗时),孩子开始坚持每半年定期洗牙。儿童洗牙和成人洗牙在手法上有所差异。
2-6岁的儿童很少有牙结石,软垢和色素较多,因此牙医一般会用喷砂、柔和的毛刷,配合轻柔手法,不会伤害稚嫩的牙齿。

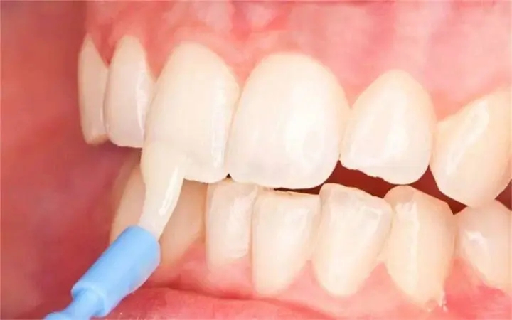
03.窝沟封闭
窝沟封闭的原理是在牙齿窝沟内涂上一种对人体无害的树脂,经固化后如同给牙齿穿上一层保护衣。
由于孩子牙齿表面有许多细小的裂隙和窝沟,容易藏污纳垢,刷牙难以清洁彻底。因此做窝沟封闭可防止黑色素的过度沉着,导致菌斑的不断侵蚀,产生龋齿。


▲乳牙也要做窝沟封闭吗?
答案是肯定的。乳牙从生长到脱落,大概要在口腔内存留 6~10 年,此阶段是儿童生长发育最重要的时期,乳牙的健康对孩子有重要意义。
04.涂氟保护
美国牙医协会(ADA)推荐6岁以下儿童使用氟保护漆来预防龋齿。
乳牙的牙釉质矿化程度低,对黑色素沉着防御能力较弱。建议带孩子到正规的口腔医疗机构给牙齿涂上一层保护漆氟化物,对牙釉质起到保护作用,抵抗“糖衣炮弹”的威胁。

牙医提醒:孩子牙齿色素沉着一旦形成很容易再堆积,即使乳牙替换,恒牙也可能受到影响。定期检查牙齿,发现潜在问题,及时发现并治疗,才能让孩子的牙齿健康赢在起跑线!
来源: 东莞健力口腔医院
科普中国公众号
科普中国微博

帮助