许多去看牙的小伙伴都有拍牙片的经历
经牙医初步观察后指示你:先去拍个片吧
当时一脸懵,但也还是默默听从安排~
心中不免疑惑:
“只是想拔个牙,为什么还得拍片?”
其实,看牙拍牙片对口腔治疗前、中、后
都很有必要!有必要!必要!
重要的事情强调三遍~
所谓的牙片指哪些?
曲面断层片( 全景片 )、小牙片、头颅正侧位片、全头颅 CT、锥形束 CT( CBCT )等
今天要给大家介绍:曲面断层片( 即全景片 )
什么是曲面断层片( 全景片 )?
主要用于检查、分析、判断病情,帮助医生及时、正确的诊断,进而指导治疗工作。通常呈现:全口牙齿、牙周、牙槽骨、颅骨、颌骨、上颌窦、鼻腔、双侧颞颌关节、下颌神经管等形态、位置、软组织侧貌等图像。
也就是说,医生可通过全景片可观察到牙齿健康状况:是否有隐形龋齿、埋伏阻生牙、多生牙、牙槽骨吸收、牙龈萎缩、口腔内是否长有瘤体等,更好地为患者设计治疗方案。
牙医建议:
每个人一生至少为自己的牙齿拍一张全景片。尤其是做牙齿种植、牙齿矫正、牙齿修复、智齿拔除等之前,均需拍摄口腔全景片。
阅读延展:为什么看牙需要拍片?
牙齿、牙槽骨的内部情况,邻牙之间、牙颈部、牙根等,医生无法通过肉眼观察到;因此拍片是牙齿治疗进程中必不可少的重要检查方式。对口腔医生诊断牙病、设计治疗方案,采用治疗措施,判断预后有重要意义。
换而言之,拍全景片的目的:
提高牙医诊断治疗牙齿的准确性和成功率
例举几个口腔全景片常见的应用场景
辅助大家更好理解全景片的应用范围
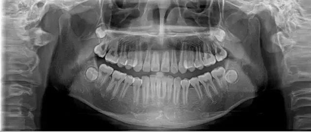
01、小牙片+口腔全景片
牙根部和牙颈部的龋齿、邻面龋
邻面龋一般发生在两颗邻牙之间
特别是早期邻面龋表面很难看出来
只是吃冷的食物过敏或牙缝变暗
医生检查时探查无头绪
通过拍全景片才能发现
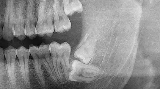
02、口腔全景片
确定是否长智齿
智齿埋在牙槽骨里
部分萌出或完全不萌出
生长方向:前、后、左、右?
拔智齿拍全景片
医生可观察到
牙齿长势、牙根位置和面部神经的距离
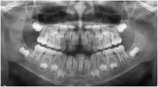
03、口腔全景片
检查儿童多生牙
正常人会长28-32颗恒牙
超过了32颗多长出来的恒牙叫“多生牙”
“多生牙”不仅会占不属于它的位置
有时还赖在“窝”里不肯出来
让其他恒牙无法正常萌出、造成牙列不齐等
有时多生牙隐蔽得很好,表面看不出来
因此一定要带孩子拍片检查
04、口腔全景片+口腔CT+头颅侧位片
为牙齿矫正提供全面的检查
牙齿矫正前
医生必须通过
口腔CT、口腔全景片、头颅侧位片
看清牙齿全貌、牙槽骨健康状况
牙槽骨高度、密度等
再去设计矫牙方案
让矫正后的牙齿达到最理想的位置
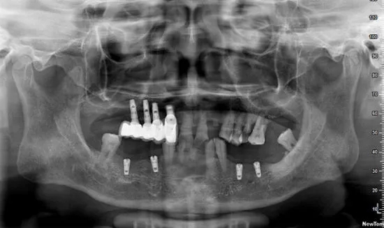
05、口腔全景片+口腔CT
检查缺牙后是否满足种植牙条件
种植牙是目前缺牙修复的最好方式
但种植牙对牙槽骨、口腔健康等有相应要求
因此缺牙拍全景片+口腔CT
可检查牙槽骨是否萎缩、口腔健康状况是否良好
利于种植前对牙槽骨的质量评价、种植体大小及长短的确定
方便医生根据实际情况,量身定制种植牙方案
最后强调
牙片有助于牙医直接观察到
普通口腔检查难以发现的牙齿和牙周组织问题
是早发现、早治疗口腔问题的关键
希望大家要认识到牙片的重要性
消除看牙的误解
来源: 东莞健力口腔医院
        
                
                    科普中国公众号
                
                    科普中国微博
                
 帮助