最近,一种名为“骨02”的骨胶水在互联网上迅速走红。“骨02”是一种创新生物材料,它能够在人体血液浸润环境中实现骨折的快速黏合固定。

来源:邵逸夫医院
在未来,治疗骨折可能不再需要打钢板、拧螺钉,涂上“胶水”就能让断骨再续。是不是想到了武侠小说里的“黑玉断续膏”?曾属于小说中的场景,正在一步步被科学家们实现。
1骨折的复位固定:
患者的噩梦,医生的难题
骨折是一种常见损伤,若不进行及时有效治疗,可能引发严重后果。根据骨折类型、部位、移位程度等的不同,骨折的治疗方案也有所不同。一些不太严重的骨折可进行石膏固定等保守治疗,而有相当一部分的骨折类型需要进行手术治疗[1]。

来源:版权图库
在传统手术疗法中,往往需要将骨块复位后,再使用钢板、螺钉等将其固定,听上去就令人头皮发麻。

打完钢板、螺钉后的骨头
图片来源:图虫创意
而且,有部分骨折并不是打完钢板钢钉就一劳永逸,还需要二次手术取出内固定物,这更是增加了患者的痛苦。如何提供更有效、微创的治疗方案,成为该领域最具挑战性的问题之一。
有人曾提出,发明一种能粘合骨头的胶水,不是就能完美解决这一问题?但是,如何在充满血液的人体内用胶水把骨头粘合起来,一直是科学家们没能突破的技术难点。然而,你一定想不到,这一难点最终的解决方案却来自于自然界中,甚至你的饭碗里非常常见的牡蛎。

“生蚝”通常指牡蛎家族中的成员
2 “骨02”竟来自于牡蛎?
早在北宋时,福建泉州工匠便巧妙运用牡蛎分泌的天然黏合剂加固跨海桥墩,以抵御海水侵蚀。这一古老智慧被叫做“养蛎固基”,被视为最早的生物工程实践之一。

福建泉州的洛阳桥 | 来源:版权图库
浙大邵逸夫医院范顺武教授、林贤丰副主任医师团队受这一现象的启发,认为模仿牡蛎在潮湿海浪中牢固粘附礁石的原理,有机会研发出可在血液环境中使用的骨黏合材料。
在经过50多种配方迭代、数百次测试和大量实验后,他们最终攻克了一系列技术难题。今年9月,一款“骨胶水”重磅亮相。源于我们常用的万能502胶水,它得到了“骨02”这个有趣的名字。
“骨02”是一种能够在血液浸润环境中快速黏合骨折块的生物材料,它在2-3分钟就能完成碎骨固定,操作简便高效,能大幅提升手术效率。更重要的是,它的材料可生物降解,约6个月后就能随骨愈合吸收,避免了二次手术的进行。

“骨02”黏合骨头的过程 | 来源:邵逸夫医院
它有着三重复合结构:
1.快速反应层:像“智能生物胶水”,粉液相遇3秒内变稠,注射时保持液态,遇到血液即刻凝固;
2.力学增强层:纳米级骨矿物质(羟基磷灰石)与天然蛋白多糖网络紧密交织,使材料抗压、抗剪切;
3.生物活性层:负载骨形态发生蛋白,刺激成骨细胞分化,加速骨愈合。
3 “骨胶水”真的黏得牢吗?
那么“骨02”真的黏得牢吗?会不会很快失去黏性?
请放心,“骨02”在研究中表现出高粘附性、高机械强度和成骨活性,以实现即时且可持续的固定。实验数据显示,它的最大黏合拉力可达400多斤,能替代许多金属内固定物。
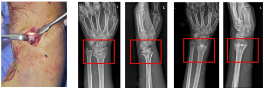
它在多家医院150余例受试病例中展现出了良好的安全性和有效性,各项指标达到预设标准。其中一位年轻工人因外伤致腕部粉碎性骨折,为避免传统的钢板内固定手术方案,医生通过一个2-3厘米的微创切口注入了“骨02”,便黏合了碎骨。术后复查显示,患者骨折愈合良好,手腕功能得以恢复。

来源:见水印
不过,尽管“骨02”在已开展的150余例临床研究中表现出色,但仍需需经过长期、大量的临床验证才能广泛应用。作为一种新型生物材料,我们应全面考虑它可能存在的潜在风险:
1.生物相容性风险:“骨02”或其中的某些成分,可能引发少数个体的过敏或免疫排斥反应,导致严重后果;
2.栓塞风险:部分“骨02”材料在手术中可能进入血管,存在引发血管栓塞的风险;
3.热损伤风险:“骨02”的固化过程如果产生热量,可能会引发黏合处周围重要神经血管的热损伤。
此外,它在不同年龄患者中的表现、对于特殊骨折的固定效果,仍需更多研究数据支持。也许在不久的将来,“骨02”就会成为治疗骨折的一种常见手段。
从“钢板螺钉”到“生物黏合”,骨科治疗正迎来全新模式。除了“骨02”外,还有很多研究团队也在进行探索。华东理工大学研究团队在今年发表的论文中还介绍了一种受海胆启发的均质“硬-软”双相骨粘合剂,其临床前数据也比较优异[2]。

海胆:我也能帮着治疗骨折啦?
来源:版权图库
这些新材料的涌现,标志着骨折治疗从机械固定迈向仿生修复的重要一步。或许在未来某天,骨折真的只需要“打一针”就能治愈了!
参考文献
[1]Sala-Pujals A, Portes Chiva A, Chillon Soria J, Valverde Vilamala D, Dominguez Font E, Pardo Pol A. Immobilization Time for Conservative Treatment of Distal Radial Fractures in Elderly Patients: A Randomized Controlled Trial. J Bone Joint Surg Am. 2025 Jun 5;107(14):1628-1635. doi: 10.2106/JBJS.24.01480. PMID: 40472139.
[2]Zhou C, Liu C, Sha D, Sun L, Liu C, Yuan Y. Homogeneous "Hard-Soft" Biphasic Bone Adhesives Promote Comminuted Fracture Healing through Interfacial Adaptation and Mechanical Property Maintenance. Adv Mater. 2025 Aug;37(34):e2502598. doi: 10.1002/adma.202502598. Epub 2025 Jun 13. PMID: 40511692.
作者:葛硕 上海中医药大学附属普陀医院骨科住院医师
编辑:一星期
来源: 上海科技馆
科普中国公众号
科普中国微博

帮助
上海科技馆