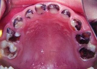
1、轻度蛀牙
对于儿童早期蛀牙,这时候治疗效果最好,而且患牙也不会有疼痛感,所以可以采用适当的材料,来填充已形成的龋洞。首选需要把龋洞周围坏死,阻止去除,再加入适当材料,这样可以保持牙齿的完整性,避免龋洞越来越大。

2、中度蛀牙
蛀牙发展到中期的时候,可能在进食时,会出现疼痛感,特别是牙齿会对过于酸甜的食物,更加敏感,这时候就需要进行根管治疗。主要是通过根管,清除龋洞中坏死物质,消毒后填充根管,再封闭龋洞,就能很好的治疗发展到中期的蛀牙。

3、重度蛀牙
严重的重度蛀牙,会发现很明显的龋洞,而且疼痛感剧烈,使患儿无法忍受,这是因为牙髓受到严重感染后坏死,同时扩展到周边牙周组织,引发脓肿。所以这个时候,最好采取蛀牙拔除的方式来进行治疗。

来源: 银川艾齿口腔元
科普中国公众号
科普中国微博

帮助
银川互动口腔健康科普馆