近日,澧县中医医院泌尿外科医护团队凭借精湛医术、紧密协作与坚定信念,成功救治一名术后并发多重危重症的患者。

此次救治的圆满成功,不仅彰显了科室在泌尿系统高危重症救治领域的过硬实力,更凸显了该院多学科协作(MDT)的强大优势,为同类复杂病例的诊疗积累了宝贵经验。

病例详情

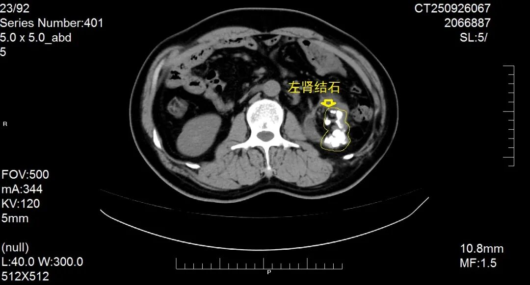
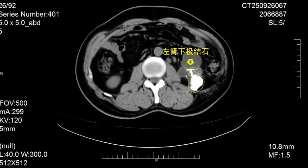
患者因“反复肉眼血尿1月,再发加重1周”入院,经系统检查确诊为复杂性肾结石

该患者结石体积大、负荷高,且合并肾内结构变异,常规微创治疗难度极高。科室团队经全面评估后,决定另辟蹊径,摒弃微创手术需反复多次取石的不足,采用传统的开放肾盂肾实质切开取石术。

➤ 术前


➤ 术中

9月29日,手术顺利实施,期间虽出现术中渗血较多的突发情况,但医疗团队沉着应对,通过精准操作与及时输血保障了手术安全完成。


➤ 术后康复

然而,患者的康复之路布满荆棘。10月2日,患者突发胸痛、血氧饱和度急剧下降,病情瞬间危重!经紧急多学科会诊,确诊为术后凶险并发症——肺栓塞,生命危在旦夕。

泌尿外科团队立即启动应急预案,迅速协同重症监护室(ICU)将患者转入抢救,在ICU同仁的全力救治下,患者病情于10月5日趋于稳定,顺利转回泌尿外科继续治疗。

正当医护团队稍感宽慰时,新的危机再度袭来。10月12日,患者左侧腰部手术切口出现活动性出血,失血量较大,呈现严重贫血貌,加之术后消耗大、营养摄入不足,身体极度虚弱。

面对这一严峻局面,泌尿外科团队日夜坚守,密切监测病情变化,在抗凝与止血的矛盾中精准把控治疗平衡,通过加强引流、精准输血、抗感染及营养支持等一系列针对性措施,逐步稳住患者病情。

考验并未止步。10月17日,医护人员发现患者左肾区敷料渗液,高度怀疑“左肾伤口漏尿”。团队再次迎难而上,通过精心换药、保持引流管通畅等精细化护理,有效控制了这一并发症,为患者康复扫清了最后障碍。期间,护理团队同步给予患者全方位生活照护与心理疏导,帮助其重拾战胜疾病的信心。

历经数周的生死竞速与不懈坚守,在泌尿外科全体医护人员的精心救治下,患者一次次闯过“鬼门关”,病情稳步好转,生命体征日趋平稳,最终顺利康复出院。

此次复杂危重患者的成功救治,是对泌尿外科综合诊疗能力的全面检验。从术中突发情况的沉着应对,到肺栓塞的及时识别与跨学科转诊,再到术后出血、漏尿等并发症的精准处置,每一个环节都彰显了团队高度的责任心、精湛的医疗技术与卓越的协作精神。科室全体医护人员以实际行动践行“生命至上”的医者初心,用专业与坚守为患者筑起了一道坚实的生命防线。

来源:澧县中医医院 外三科

关注@湖南医聊,获取更多健康科普资讯!

(编辑YT)

来源: 澧县中医医院 外三科