主诉:咳嗽,咳痰3天
症状:患者三天前受凉后出现咳嗽,咳痰症状,痰为白色粘痰,不易咳出,量较少,无发热,无呼吸困难症状。
查体:生命体征平稳,口唇红润,咽部无充血及化脓,双肺🫁呼吸音粗,右肺中叶及下野呼吸音减弱,可闻及湿性啰音,
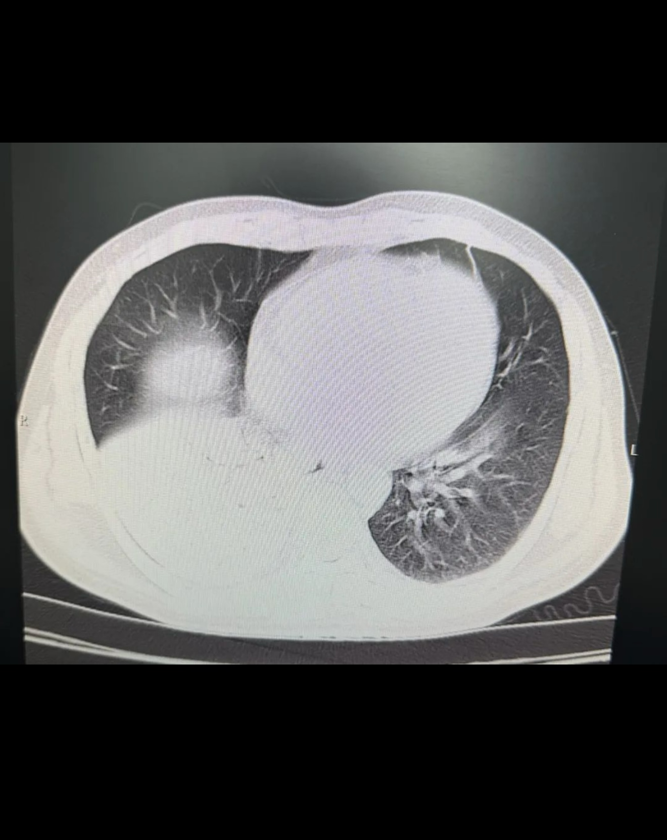
于07-06 胸部CT检查:右肺下叶实变伴不张,左肺下叶少许炎症。

化验结果:血常规:WBC:21.68*109/L,N:96.6%,C-反应蛋白:420,支原体抗体测定:阴性,PCT:26.34,痰一般细菌培养:阴性,治疗上给予抗感染(莫西沙星氯化钠注射液 0.4 g静滴 一天一次,止咳化痰对症处理;
于7-8日做支气管镜常规检查:支气管粘膜急性炎症样改变,右肺上段支气管憩室。

经过患者相关检查治疗上双联抗感染治疗后患者症状逐渐好转。
于7-12日复查感染指标和胸部ct 检查:
WBC:13.08*109/L,N:82.4%,
PCT:0.447,c-反应蛋白:49.9,肺泡灌洗液涂片:阴性,结核分枝杆菌基因及利福平耐药检测:阴性,肺泡灌洗液一般细菌培养:阴性,
胸部ct :右肺下叶炎性改变,与7.6日对比病变已吸收;

经过治疗后患者咳嗽咳痰症状明显好转,于7-15日出院;
肺实变伴肺不张患者做支气管镜目的:
1. 明确病因:通过直视下观察气道内情况(如肿瘤、异物、痰栓、炎症等),并获取标本(刷检、灌洗液等),判断肺实变和不张的原因(如感染、肿瘤、结核、异物阻塞等)。
2. 治疗干预:对气道内的阻塞物(如痰液、血块、异物)进行清除,改善气道狭窄,缓解肺不张。
支气管镜检查并镜下治疗意义:
支气管镜既能直观观察气道病变,又能通过介入操作(如吸痰、活检、灌洗)明确诊断并同步治疗,尤其对肺实变伴不张的患者,可快速改善通气、明确病因,为后续治疗提供关键依据。
来源: 公众号