肺癌是世界第一大癌,肺癌的发病率及死亡率均高居世界第一。随着医疗技术的飞速发展,肺癌的治疗手段也越来越丰富。就连人们一直谈“核”色变的放射性的碘125粒子也可用于癌症的治疗了。

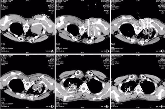
71岁的王大爷是退伍军人,因为咳嗽伴咳血在医院检查出右肺癌,住院后王大爷以最快的速度完善了术前相关检查,进行了右肺癌根治术,手术恢复得很顺利。不幸的是3年后肿瘤再次复发,与3年前相比王大爷的身体已经大不如前,加之做过一次手术胸膜腔黏连严重,如果再次手术难度太大。王大爷的家人也走访了全国最好的医院最后决定进行全身化疗加局部放疗的治疗方案。

然而化疗的副作用让本就身体状况不是很理想的王大爷更加雪上加霜,手术做不了化疗又不能耐受,这可愁坏了王大爷一家人。正在家人一筹莫展的时候,医生跟家属介绍了一种新型的治疗方法——放射性粒子植入。

王大爷的家人听到将具有放射性的物质放入人体内后极力反对,甚至对医生产生了极大的不信任。在我们一次又一次的解释下,加之他们自己搜索了相关文献,最终决定试一试。不试不知道,一试吓一跳。每次复查王大爷的肿瘤都在缩小,终于在粒子植入6月后,肿瘤奇迹般地消失了。

放射性粒子到底是什么东西?

其实,自从1898年居里夫妇发现放射性核素镭以后,便开始了放射性物质治疗肿瘤的历史。王大爷用到的是放射性粒子是碘125粒子,医生将微型放射源碘125粒子植入肿瘤内或受肿瘤侵犯组织中, 通过碘125源持续发出低能量γ射线,杀死肿瘤细胞或抑制。

放射性粒子安全吗?对人体有害吗

人们所承受辐射剂量相关的国际标准单位是西弗(sv),它量化了人体所受的辐射量,数字越大,人体所受辐射剂量越大

一个正常人每天看1个小时电视,一年时间受到的辐射伤害大概是10微西弗。而正常人人均年受辐射为2000微西弗。

放射性粒子所发出的辐射如下图所示:

从上图中可以看出,距离放射源越远,受到的辐射越小。即使与放射性粒子在2米的距离被辐射一年,累积的辐射量也仅仅1100微西弗,这仅仅是正常人人均年受辐射的一半!所以总体来说,现在放射性碘125粒子还是很安全的。

碘125粒子植入治疗适应哪些癌症?

125I放射性粒子植入在恶性肿瘤治疗领域获得快速发展, 被广泛应用于脑膜瘤及脑转移瘤,鼻咽、口腔癌,颈部转移癌,肺癌(原发或转移),淋巴瘤、乳腺癌,食管癌,纵隔恶性肿瘤;肝癌,胆管癌,胰腺癌,晚期胃肠癌,恶性肿瘤局部骨转移等各种复发转移恶性肿瘤的治疗中。

如何将碘125粒子植入肿瘤中?

在CT引导下,采用经皮穿刺方式将放射性粒子植入肿瘤内(用一根穿刺针将粒子植入肿瘤内),或手术将碘125粒子植入肿瘤内或可能受肿瘤侵犯的组织内,也可以植入到肿瘤转移的淋巴结内。其中最常用的还是经皮肺穿刺技术,损伤小痛苦小,是目前最主要的方法。

 碘125放射性粒子治疗的适应症?

1.未经治疗的原发癌如前列腺癌、晚期喉癌

2.肿瘤难以完全切除者,如中、晚期胰腺癌

3.复发或转移性癌,病灶较孤立者(如上文提到的王大爷)

4.外放疗后由于剂量或组织耐受等原因造成的癌残留灶

总结:碘125粒子植入是恶性肿瘤综合治疗的一种有效技术,属于近距离内放射治疗的一种。放射性粒子的放射性极小,对人体无明显伤害。对于不能耐受手术或者晚期局限性转移病灶可行放射性粒子植入治疗。

关注Lion医生,了解更多健康知识


来源: 科普中国